Добавить в корзинуПозвонить
Найти в Дзене

Боль в локтевом суставе. Септический артрит.

Продолжаем разбирать причины боли в локтевом суставе, ранее говорили про:
- Эпикондилит
- Остеоартрит (остеоартроз).
- Ревматоидный артрит.
- Серонегативные спондилоартропатии. - Подагру.
Септический (инфекционный) артрит - острое инфекционное заболевание сустава, возникающее в результате попадания в него патогенных микроорганизмов - через кровь (наиболее часто), лимфу или напрямую через раневую поверхность. Без своевременного лечения приводит к быстрому разрушение сустава и потери его функции.
Причиной в большинстве случаев является золотистый стафилококк (40-80%), в сустав он чаще попадает через кровь (70%).
Другими возможными возбудителями могут быть стрептококки, бруцеллы, грибки, а также микобактерия туберкулеза.
Источник 1. Источник 2. С микобактерией туберкулеза есть особенности, внелегочный туберкулез встречается редко, изолированный внелегочный туберкулез с поражением одного сустава еще реже, поэтому настороженность низкая, но на задворках сознания все равно должна прису

Продолжаем разбирать причины боли в локтевом суставе, ранее говорили про:
- Эпикондилит
- Остеоартрит (остеоартроз).
- Ревматоидный артрит.
- Серонегативные спондилоартропатии.

- Подагру.

Септический артрит локтевого сустава и его УЗИ картина.
Септический артрит локтевого сустава и его УЗИ картина.


Септический (инфекционный) артрит - острое инфекционное заболевание сустава, возникающее в результате попадания в него патогенных микроорганизмов - через кровь (наиболее часто), лимфу или напрямую через раневую поверхность. Без своевременного лечения приводит к быстрому разрушение сустава и потери его функции.

Причиной в большинстве случаев является золотистый стафилококк (40-80%), в сустав он чаще попадает через кровь (70%).
Другими возможными возбудителями могут быть
стрептококки, бруцеллы, грибки, а также микобактерия туберкулеза.

Источник 1. Источник 2.

С микобактерией туберкулеза есть особенности, внелегочный туберкулез встречается редко, изолированный внелегочный туберкулез с поражением одного сустава еще реже, поэтому настороженность низкая, но на задворках сознания все равно должна присутствовать. Протекает атипично с хронической болью, когда не складывается впечатление об остром процессе; без эффекта от стандартной антибактериальной терапии. К моменту постановки диагноза уже может быть разрушение сустава.
Лечение заключается в подборе противотуберкулезных препаратов, как правило, на длительный срок.

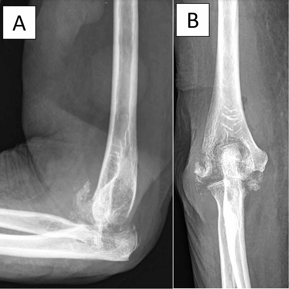
Клинический случай туберкулезного поражения сустава, который продолжался на протяжении 5 месяцев и привел к деструкции сустава.

Разрушение кости при туберкулезном артрите.
Разрушение кости при туберкулезном артрите.

Проявляется: острая боль (в 81,7% случаев), покраснение, припухлость, ограничение движений в суставе, лихорадка (3,7% случаев).

очень похоже на микрокристаллические артриты

Акцентируем внимание на участки локальной травматизации в проекции локтя.

Диагностика: в каждом случае подозрительном на септический артрит необходимо делать пункцию сустава с исследованием полученной жидкости - бактериальный посев с определением возбудителя и чувствительности к антибиотикам, исключения кристаллов мочевой кислоты, определения клеточного состава.

При подозрении на внелегочный туберкулез - окрашивание на микобактерии туберкулеза, ПЦР и культуральное исследование на туберкулез.

Лабораторная диагностика - лейкоцитоз с нейтрофильным сдвигом (у 48%), повышение маркеров воспаления СОЭ, СРБ.
С-реактивный белок имеет большее прогностическое значение, быстрее повышается при бактериальной инфекции (встречается у 95% пациентов с септическим артритом).

может сбить с толку при наличии у пациента хронического аутовоспалительного заболевания или приема кортикостероидов.

Повышение прокальцитонина - более точный показатель бактериальной инфекции.

Инструментальная диагностика.

- Рентгенография - в основном для исключение перелома (если была травма), определения стадии деструкции сустава.

- УЗИ - видно наличие и количество жидкости в суставе, характер жидкости (однородная/неоднородная), целостность окружающих структур, усиление кровотока.
По УЗИ можно
заподозрить септический артрит, но похожая картина встречается и других воспалительных заболеваниях.
УЗИ также необходима для точного удаления жидкости.

- МРТ - более точный метод диагностики, позволяет оценить состояние мягких тканей и костной ткани, увидеть отек кости, заподозрить остеомиелит.

Инфекционный артрит с остеомиелитом
Инфекционный артрит с остеомиелитом


Лечение - антибиотики широкого спектра действия, после определения возбудителя - коррекция исходя из выявленного патогена.

Кто в зоне риска?
- пожилые люди с ослабленным иммунитетом;
- лица, с протезированным суставом;
- пациенты с ревматологическим заболеванием на фоне
- иммуносупрессивной (гормональной) терапии;
- пациенты с сахарным диабетом:
- пациенты на гемодиализе.
- лица замеченные в употреблении внутривенных наркотических средств в сомнительных эпидемиологических условиях.

------------------------------

Еще интересные и важные материалы, которые помогают разобраться в причинах боли в суставах:

- Неочевидные симптомы ревматологических заболеваний.

-Киста Бейкера.

-Системная красная волчанка. Начало. Проявления. Диагностика. Принципы лечения.

-Всё про коллаген: https://dzen.ru/a/ZdH1jsyOchuSgXzk

-Косметология при системных ревматологических заболеваниях. Взгляд ревматолога и дерматолога.

- Питание для ревматологических пациентов.

- Боль в плече: Строение. Гнойное поражение плеча. Артроз (остеоартрит) плечевого сустава. Адгезивный капсулит (“замороженное” плечо). “Плече-лопаточный периартрит”.

- Ревматоидный артрит. Принципы лечения.

- Анкилозирующий спондилит (Болезнь Бехтерева). Лечение. Ответы на вопросы.

- Остеоартрит (остеоартроз). ПричиныПроявления. Лечение.

- Хондропротеторы. Гиалуроновая кислота. PRP

- Боль стопе: https://dzen.ru/a/Y9ej8Cr3eBPK6wIN

- Боль в колене: строение сустава,  инфекционный артрит, травмыостеоартрит,  подагра, серонегативные артропатии, системные заболеваниятендинопатии.

- Ошибки, которые могут ухудшить состояние сустава.

- Остеопороз. Часть 1.  Часть 2 . Часть 3.  Часть 4. Лечение

- Псориатическая болезнь.Часть 2Псориатический артрит/спондилит.

- Анкилозирующий спондилит: Обнаружение. Место преступленияБоль в спинеДиагностика. Ликвидация. (рекомендую читать с первой темы для правильного понимания).

- Подагра. НачалоКак подтвердить. Лечение, диета.

- Ревматоидный артрит. Причина и следствиеОбнаружить и отличитьШторм антител. Победа над собой.

- Кто такой врач-ревматолог?

А также интересный телеграм-канал: https://t.me/rheumatodoc

И чат в MAX: https://max.ru/join/FITGEHUIWAVtDLEGCXKMaRrOVqxabx-N3ieA7ygCERc