Добавить в корзинуПозвонить
Найти в Дзене

БОЛЬ В ЛОКТЕВОМ СУСТАВЕ. Остеоартрит (остеоартроз).

Продолжаем разбираться в причинах боли в локтевом суставе. Начали про эпикондилит. Сегодня поговорим про другую причину боли в локтевом суставе: Остеоартрит (остеоартроз) - группа заболеваний, при которых поражаются все компоненты сустава (хрящ, субхондральная кость, синовиальная оболочка, связки, капсула, околосуставные мышцы) с медленным локальным воспалительным процессом. Воспаление прогрессирует годами, в финальных стадиях приводя к функциональным нарушениям из-за формирования грубых остеофитов (костных разрастаний) и контрактуры капсулы. Изолированно локтевой сустав поражается нечасто (2-3% населения), как правило, к этому располагают тяжелые физические перегрузки, травмы и/или длительное использование смартфона весом более 150 грамм (среди работников, подвергающихся воздействию вибрации встречаемость 31%, с ручным трудом 20%, офисные сотрудники - 88% /последняя фраза - шутка/). Источник: https://pubmed.ncbi.nlm.nih.gov/40730356/
Болеют чаще мужчины, доминирующая рука подвержен

Продолжаем разбираться в причинах боли в локтевом суставе.

Начали про эпикондилит.

Сегодня поговорим про другую причину боли в локтевом суставе:

Остеоартрит (остеоартроз) - группа заболеваний, при которых поражаются все компоненты сустава (хрящ, субхондральная кость, синовиальная оболочка, связки, капсула, околосуставные мышцы) с медленным локальным воспалительным процессом.

Воспаление прогрессирует годами, в финальных стадиях приводя к функциональным нарушениям из-за формирования грубых остеофитов (костных разрастаний) и контрактуры капсулы.

Изолированно локтевой сустав поражается нечасто (2-3% населения), как правило, к этому располагают тяжелые физические перегрузки, травмы и/или длительное использование смартфона весом более 150 грамм (среди работников, подвергающихся воздействию вибрации встречаемость 31%, с ручным трудом 20%, офисные сотрудники - 88% /последняя фраза - шутка/).

Источник: https://pubmed.ncbi.nlm.nih.gov/40730356/

Болеют чаще мужчины, доминирующая рука подвержена изменениям сильнее, начинается процесс с луче-локтевого сустава.

Источник: https://pmc.ncbi.nlm.nih.gov/articles/PMC8165431/

Проявляется: боль локализуется в самом локтевом суставе, могут быть ограничение движений, болит при конечном сгибании и разгибании.

Диагностика:

📌 лабораторные показатели не должны быть изменены.

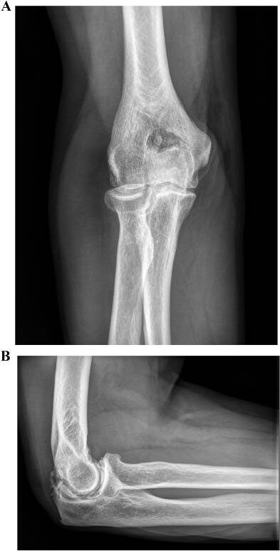
📌 рентгенография локтевого сустава - "золотой стандарт" диагностики остеоартрита;

Остеоартрит локтевого сустава
Остеоартрит локтевого сустава

📌 КТ (компьютерная томография) - в сложных случаях;

-2

📌 УЗИ - для оценки наличия воспаления в суставе, состояния связочного аппарата, можно даже оценить целостность нервов в проекции локтевого сустава;

Инородное тело в проекции локтевой сумки, собсвенный снимок.
Инородное тело в проекции локтевой сумки, собсвенный снимок.

📌 МРТ - для оценки состояния хряща, отека костного мозга, в случаях когда УЗИ не дало полной картины.

Пример МРТ локтевого сустава
Пример МРТ локтевого сустава

📌 ЭНМГ - для оценки функционального состояния нервов, если есть клинические признаки в виде жжения, “стреляющий" болей, онемения, слабости.

Пример как кому-то делают ЭНМГ
Пример как кому-то делают ЭНМГ

Лечение: ЛФК, НПВП, иногда инъекционная терапия.

При неуспехе консервативного лечения и поздних стадиях: хирургическое вмешательство - удаление свободных тел / переломов остеофитов, краевых остеофитов; в редких случаях требуется протезирование сустава.

Протезированный локтевой сустав.
Протезированный локтевой сустав.

------------

Еще интересные и важные материалы, которые помогают разобраться в причинах боли в суставах:

- Неочевидные симптомы ревматологических заболеваний.

-Киста Бейкера.

-Системная красная волчанка. Начало. Проявления. Диагностика. Принципы лечения.

-Всё про коллаген: https://dzen.ru/a/ZdH1jsyOchuSgXzk

-Косметология при системных ревматологических заболеваниях. Взгляд ревматолога и дерматолога.

- Питание для ревматологических пациентов.

- Боль в плече: Строение. Гнойное поражение плеча. Артроз (остеоартрит) плечевого сустава. Адгезивный капсулит (“замороженное” плечо). “Плече-лопаточный периартрит”.

- Ревматоидный артрит. Принципы лечения.

- Анкилозирующий спондилит (Болезнь Бехтерева). Лечение. Ответы на вопросы.

- Остеоартрит (остеоартроз). ПричиныПроявления. Лечение.

- Хондропротеторы. Гиалуроновая кислота. PRP

- Боль стопе: https://dzen.ru/a/Y9ej8Cr3eBPK6wIN

- Боль в колене: строение сустава,  инфекционный артрит, травмыостеоартрит,  подагра, серонегативные артропатии, системные заболеваниятендинопатии.

- Ошибки, которые могут ухудшить состояние сустава.

- Остеопороз. Часть 1.  Часть 2 . Часть 3.  Часть 4. Лечение

- Псориатическая болезнь.Часть 2Псориатический артрит/спондилит.

- Анкилозирующий спондилит: Обнаружение. Место преступленияБоль в спинеДиагностика. Ликвидация. (рекомендую читать с первой темы для правильного понимания).

- Подагра. НачалоКак подтвердить. Лечение, диета.

- Ревматоидный артрит. Причина и следствиеОбнаружить и отличитьШторм антител. Победа над собой.

- Кто такой врач-ревматолог?

А также интересный телеграм-канал: https://t.me/rheumatodoc

И чат в MAX: https://max.ru/join/FITGEHUIWAVtDLEGCXKMaRrOVqxabx-N3ieA7ygCERc