Добавить в корзинуПозвонить
Найти в Дзене

Остеоартрит (остеоартроз). Как не пропустить.

Характерные для остеоартита проявления: 🟡 боль механического характера, усиливается по ходу увеличения нагрузки, склонна к прогрессированию; 🟡 стартовая боль, возникает в начале движения; 🟡 скованность в суставах по утрам до 30 минут; 🟡 хруст в суставах; 🟡 ограничение движений в суставах; 🟡 деформация суставов. Отличительных лабораторных признаков нет. Инструментальные исследования: 🟢 Рентгенография - самый простой и достоверный метод обнаружения сужения суставной щели и костных выростов (остеофитов). 🟢 УЗИ - позволяет оценить изменения в мягких тканях, наличие избыточной воспалительной жидкости, состояние связочного аппарата. 🟢 КТ/МРТ - применяется в сложных и неоднозначных случаях. Что не характерно для остеоартрита и требует исключить другие заболевания? ⭕️ повышение температуры тела; ⭕️ высокие показатели воспалительного ответа (СОЭ, СРБ); ⭕️ острая боль в суставе с выраженной припухлость и покраснением; ⭕️ утренняя скованность более 1 часа; ⭕️ припухлость всех сустав

Характерные для остеоартита проявления:

🟡 боль механического характера, усиливается по ходу увеличения нагрузки, склонна к прогрессированию;

🟡 стартовая боль, возникает в начале движения;

🟡 скованность в суставах по утрам до 30 минут;

🟡 хруст в суставах;

🟡 ограничение движений в суставах;

🟡 деформация суставов.

Отличительных лабораторных признаков нет.

Инструментальные исследования:

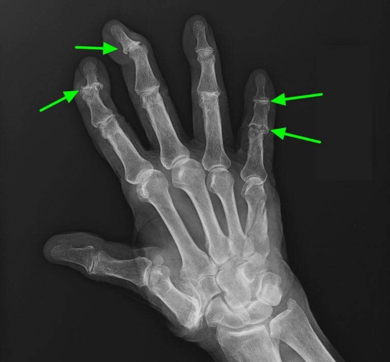
🟢 Рентгенография - самый простой и достоверный метод обнаружения сужения суставной щели и костных выростов (остеофитов).

-2
-3

🟢 УЗИ - позволяет оценить изменения в мягких тканях, наличие избыточной воспалительной жидкости, состояние связочного аппарата.

-4

🟢 КТ/МРТ - применяется в сложных и неоднозначных случаях.

-5

Что не характерно для остеоартрита и требует исключить другие заболевания?

⭕️ повышение температуры тела;

⭕️ высокие показатели воспалительного ответа (СОЭ, СРБ);

⭕️ острая боль в суставе с выраженной припухлость и покраснением;

⭕️ утренняя скованность более 1 часа;

⭕️ припухлость всех суставов;

⭕️ высыпания на коже в области суставов или по всему телу;

⭕️немотивированная потеря веса.

—————-

В следующем материале разберём принципы лечения.

—————-

Интересные и важные материалы, которые вы могли обойти стороной:

Боль стопе

Боль в колене: строение сустава,  инфекционный артриттравмыостеоартрит,  подагра,серонегативные артропатиисистемные заболеваниятендинопатии.

Ошибки, которые могут ухудшить состояние сустава.

Остеопороз. Часть 1.  Часть 2 . Часть 3.  Часть 4. Лечение

Кто такой этот ваш ревматолог такой?

И еще много других увлекательных материалов