Найти в Дзене
rheumatodoc

УЗИ локтевого сустава. Что можно увидеть? Клинический случай.

На УЗ-исследование суставов обращается молодая пациентка с жалобой на боль в локтевом суставе. Рутинный опрос не выявил интересных историй для канала - ни сражений на мечах, ни падений с парашютом, даже соревнований по армрестлингу, ничего.
"Это, наверняка, эпикондилит, он чаще всего встречается", - думаю я. Состояние, которое просто установить, тяжело вылечить и невозможно забыть.
Но осмотр по всей УЗ-методике не выявил суставной патологии - выпота нет, утолщения оболочек нет, сухожилия нормальной структуры.
"УЗ-картина без структурных изменений" - можно было бы написать, но нет, не сходится. Начинаем расширять полномочия, включая ревматолога, спрашиваем дотошнее, ищем прицельнее.
И вот, спустя час и два ведра геля - она, тоненькая полоска в проекции локтевой сумки. "Да, точно, было падение на стекло, но потом вытащили осколки" - вспомнила пациентка.
Но один остался.
- Нужно убирать?
«А, давайте», - мог бы сказать я, но полномочия все-таки не такие широкие.
P.S. Это пост-пре

На УЗ-исследование суставов обращается молодая пациентка с жалобой на боль в локтевом суставе. Рутинный опрос не выявил интересных историй для канала - ни сражений на мечах, ни падений с парашютом, даже соревнований по армрестлингу, ничего.

"Это, наверняка, эпикондилит, он чаще всего встречается", - думаю я. Состояние, которое просто установить, тяжело вылечить и невозможно забыть.
Но осмотр по всей УЗ-методике не выявил суставной патологии - выпота нет, утолщения оболочек нет, сухожилия нормальной структуры.

"УЗ-картина без структурных изменений" - можно было бы написать, но нет, не сходится. Начинаем расширять полномочия, включая ревматолога, спрашиваем дотошнее, ищем прицельнее.
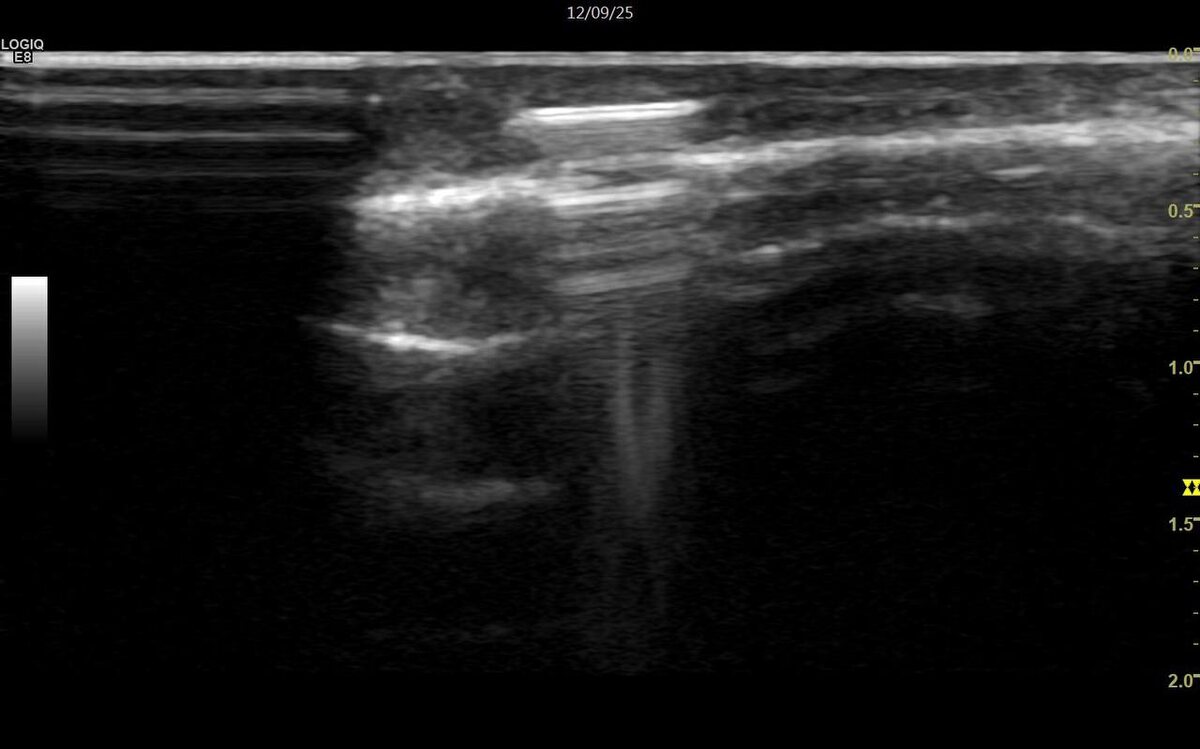
И вот, спустя час и два ведра геля - она, тоненькая полоска в проекции локтевой сумки.

Вот так может выглядеть стекло при УЗ-иссулодании.
Вот так может выглядеть стекло при УЗ-иссулодании.

"Да, точно, было падение на стекло, но потом вытащили осколки" - вспомнила пациентка.

Но один остался.

- Нужно убирать?

«
А, давайте», - мог бы сказать я, но полномочия все-таки не такие широкие.

P.S. Это пост-прелюдия к материалу про боль в локтевом суставе, который уже давно настаивается, переписывается и дополняется, но в ближайшее время все-таки должен выйти.

-----

Еще интересные и важные материалы, которые помогают разобраться в причинах боли в суставах:

- Неочевидные симптомы ревматологических заболеваний.

-Киста Бейкера.

-Системная красная волчанка. Начало. Проявления. Диагностика. Принципы лечения.

-Всё про коллаген: https://dzen.ru/a/ZdH1jsyOchuSgXzk

-Косметология при системных ревматологических заболеваниях. Взгляд ревматолога и дерматолога.

- Питание для ревматологических пациентов.

- Боль в плече: Строение. Гнойное поражение плеча. Артроз (остеоартрит) плечевого сустава. Адгезивный капсулит (“замороженное” плечо). “Плече-лопаточный периартрит”.

- Ревматоидный артрит. Принципы лечения.

- Анкилозирующий спондилит (Болезнь Бехтерева). Лечение. Ответы на вопросы.

- Остеоартрит (остеоартроз). ПричиныПроявления. Лечение.

- Хондропротеторы. Гиалуроновая кислота. PRP

- Боль стопе: https://dzen.ru/a/Y9ej8Cr3eBPK6wIN

- Боль в колене: строение сустава,  инфекционный артрит, травмыостеоартрит,  подагра, серонегативные артропатии, системные заболеваниятендинопатии.

- Ошибки, которые могут ухудшить состояние сустава.

- Остеопороз. Часть 1.  Часть 2 . Часть 3.  Часть 4. Лечение

- Псориатическая болезнь.Часть 2Псориатический артрит/спондилит.

- Анкилозирующий спондилит: Обнаружение. Место преступленияБоль в спинеДиагностика. Ликвидация. (рекомендую читать с первой темы для правильного понимания).

- Подагра. НачалоКак подтвердить. Лечение, диета.

- Ревматоидный артрит. Причина и следствиеОбнаружить и отличитьШторм антител. Победа над собой.

- Кто такой врач-ревматолог?

А также интересный телеграм-канал: https://t.me/rheumatodoc