Найти в Дзене

Лечение начато, а киста растет. Почему так происходит?

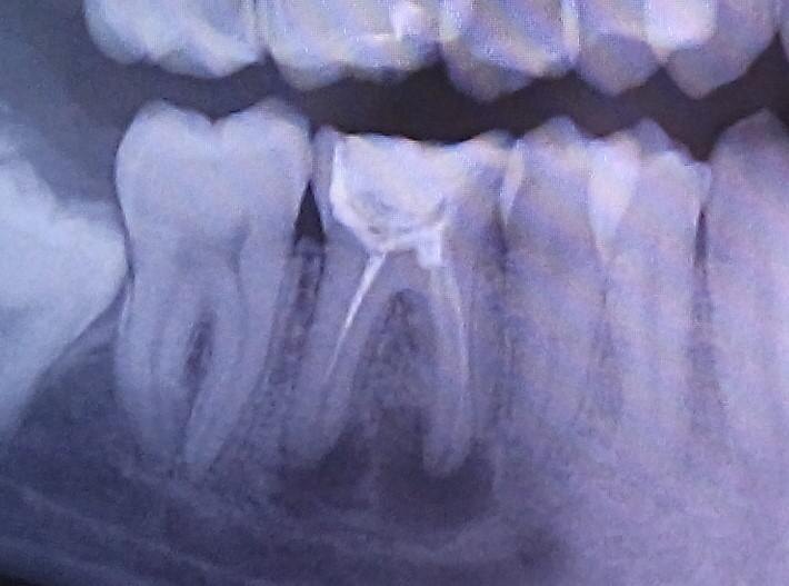
Киста зуба — это не просто полость у корня, а очаг хронического воспаления, который может долго оставаться бессимптомным, но при этом разрушать кость и ткани вокруг зуба. На ранней стадии, когда стенки образования еще размыты, лечение особенно эффективно. В этот период организм лучше отвечает на терапию, выше шанс полного восстановления тканей, и меньше риск осложнений. Но почему на снимке через неделю после начала лечения киста больше, чем в период обследования? Рост кисты после начала лечения не всегда указывает на неудачу терапии, а может быть естественным этапом в развитии воспалительно-регенеративного процесса. ❎Посттравматическая динамика. При травме зуба, после которой произошел некроз пульпы и возникла киста, организм может продолжать формировать грануляционную или эпителиальную оболочку — это следствие ответа организма на воспалительный процесс. ❎Временное усиление воспаления после санации. Начальная фаза лечения — это не только удаление инфекции, но и активация регенерации. В
Оглавление

Киста зуба — это не просто полость у корня, а очаг хронического воспаления, который может долго оставаться бессимптомным, но при этом разрушать кость и ткани вокруг зуба. На ранней стадии, когда стенки образования еще размыты, лечение особенно эффективно. В этот период организм лучше отвечает на терапию, выше шанс полного восстановления тканей, и меньше риск осложнений. Но почему на снимке через неделю после начала лечения киста больше, чем в период обследования? Рост кисты после начала лечения не всегда указывает на неудачу терапии, а может быть естественным этапом в развитии воспалительно-регенеративного процесса.

Почему киста не уменьшается

Посттравматическая динамика. При травме зуба, после которой произошел некроз пульпы и возникла киста, организм может продолжать формировать грануляционную или эпителиальную оболочку — это следствие ответа организма на воспалительный процесс.

Временное усиление воспаления после санации. Начальная фаза лечения — это не только удаление инфекции, но и активация регенерации. В этой фазе киста может немного увеличиться за счет инфильтрации, отека, пролиферации клеток.

Реактивная регенерация. У некоторых пациентов наблюдается бурная регенерация, когда ткани временно усиливают образование защитной капсулы (будущей кисты). Это может выглядеть как рост кисты, но затем стабилизируется и уходит при правильной динамике.

Этап естественного созревания кисты. Если киста была вначале очень молодой, на что указывают размытые стенки на снимке, то по мере формирования она приобретает четкие контуры и может визуально увеличиваться. Это не означает ухудшения, а наоборот, может быть переходом из активной стадии в стабильную, инкапсулированную форму, с последующим самоугасанием или рассасыванием.

Киста корней зуба
Киста корней зуба

Может подождать завершения роста?

Идея подождать, пока киста полностью сформируется, может показаться разумной, но на деле — это рискованная стратегия.

⚠️Активная фаза разрушения уже идет. Пока киста растет и формирует капсулу, она разрушает костную ткань вокруг корня. Чем дольше ждать, тем сложнее восстановление и выше риск потери зуба.

⚠️Нет гарантии, что киста остановится в росте. Некоторые кисты продолжают расти годами, а некоторые вдруг воспаляются, переходят в острую форму с отеком, болью и даже абсцессом.

⚠️Терапия на ранней стадии — более щадящая. Пока киста не инкапсулирована, ткани лучше реагируют на медикаментозное лечение, и иногда удается избежать хирургии. Чем дольше ждем — тем выше шанс, что потребуется операция.

⚠️Инкапсуляция — не всегда благо. Когда оболочка сформировалась, она может препятствовать рассасыванию и восстановлению. Плотная капсула превращает кисту в изолированную структуру, с которой бороться сложнее.

⚠️Риски для соседних зубов. Увеличиваясь, киста может деструктивно воздействовать на соседние корни — и тогда уже идет речь не об одном зубе, а о целом участке челюсти.

Киста зубов нижней челюсти без лечения
Киста зубов нижней челюсти без лечения

А если не лечить вообще?

Без лечения киста будет медленно, но уверенно увеличиваться, разрушая кость вокруг корня. Внешне — все может быть спокойно, но процесс идет. Со временем кость становится настолько тонкой, что появляется риск патологического перелома челюсти.

Гной может прорываться в мягкие ткани лица и шеи, приводя к флегмоне — разлитому гнойному воспалению💥 Флегмону лечат исключительно в стационаре: основное лечение — это экстренное хирургическое вскрытие и дренирование гнойника, чтобы предотвратить распространение инфекции.

Без лечения флегмона может вызвать медиастинит — одно из самых грозных осложнений, особенно если гнойный процесс распространился с нижнечелюстной области вглубь шеи — в средостение, где расположены сердце, крупные сосуды, трахея, пищевод. Инфекция стремительно распространяется по рыхлой клетчатке, вызывая тяжелое воспаление. Состояние сопровождается резким ухудшением самочувствия, высокой температурой, затрудненным дыханием, болями за грудиной, нарушением глотания. Без немедленного хирургического вмешательства и интенсивной терапии медиастинит может привести к смертельному исходу в течение нескольких часов или суток‼️

🏥 Центр семейной стоматологии

Задать вопрос ✍️ WhatsApp

Позвонить 📞 +7 (495) 104-53-16

Мы рядом 🏥 Москва, ул. Барышиха, 12к1

Официальный сайт: https://css-mitino.ru/

📚 Читайте также

История пациента: расширение челюсти аппаратом Марко Росса девочке 8 лет
Центр семейной стоматологии в Митино28 марта 2025
История пациента: воспаление пульпы под коронками из металлокерамики
Центр семейной стоматологии в Митино7 февраля 2025
История пациента: съемная пластина не помогла, расширяем челюсть аппаратом Марко Росса и выравниваем зубы частичной брекет-системой ребенку
Центр семейной стоматологии в Митино3 января 2025
История пациента: возвращаем зуб на место девочке 8-ми лет
Центр семейной стоматологии в Митино29 ноября 2024
История пациента: как выровнять зубы брекетами в 50 лет
Центр семейной стоматологии в Митино15 ноября 2024
История пациента: восстановление всех зубов при стоматофобии
Центр семейной стоматологии в Митино8 ноября 2024
История пациента: тотальное протезирование All-on-6 женщине в 42 года
Центр семейной стоматологии в Митино6 декабря 2024