Добавить в корзинуПозвонить
Найти в Дзене

История пациента: изменили прикус и выровняли зубы девушке в 23 года

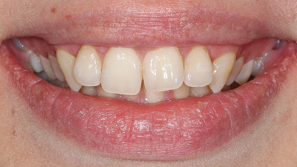
Алене 23 года, она обратилась в клинику для решения проблемы с эстетикой. Из-за скученности верхних и нижних передних зубов улыбка выглядела суженной, девушка стеснялась и испытывала постоянный дискомфорт. Для Алены целью обращения в клинику было только выравнивание передних зубов. На первой консультации помимо скученности передних зубов ортодонт увидела еще несколько проблем: ❌Лингвальный наклон боковых зубов, они вообще не видны в улыбке. ❌Сужение верхней челюсти. ❌Обратное перекрытие зуба 1.7, он полностью перекрывал нижнюю челюсть и блокировал ее движение. ❌Дистальный прикус — зубы нижней челюсти практически полностью перекрыты верхними. ❌Сужение боковых зубов нижней челюсти относительно передних зубов — адаптация организма к неправильному прикусу. На первом приеме: ✅Сделали КТ. ✅Провели профессиональную гигиену полости рта. ✅Сделали слепки для заказа брекет-системы. Алена хотела получить свою идеальную улыбку как можно скорее, но на начальном этапе спешить не стоит. Через 2 недели
Оглавление

Алене 23 года, она обратилась в клинику для решения проблемы с эстетикой. Из-за скученности верхних и нижних передних зубов улыбка выглядела суженной, девушка стеснялась и испытывала постоянный дискомфорт.

Жалобы пациентки и что увидел врач

Для Алены целью обращения в клинику было только выравнивание передних зубов. На первой консультации помимо скученности передних зубов ортодонт увидела еще несколько проблем:

❌Лингвальный наклон боковых зубов, они вообще не видны в улыбке.

❌Сужение верхней челюсти.

❌Обратное перекрытие зуба 1.7, он полностью перекрывал нижнюю челюсть и блокировал ее движение.

❌Дистальный прикус — зубы нижней челюсти практически полностью перекрыты верхними.

❌Сужение боковых зубов нижней челюсти относительно передних зубов — адаптация организма к неправильному прикусу.

Подготовка к лечению

На первом приеме:

✅Сделали КТ.

✅Провели профессиональную гигиену полости рта.

✅Сделали слепки для заказа брекет-системы.

Первый этап лечения — нивелирование зубных рядов и выравнивание зуба 1.7

Алена хотела получить свою идеальную улыбку как можно скорее, но на начальном этапе спешить не стоит. Через 2 недели после снятия слепков зафиксировали саморегулирующую брекет-систему на зубах верхней челюсти, а также установили разобщающие накладки.

Разобщающие накладки в ортодонтии — это специальные элементы, которые временно устанавливаются на зубы для увеличения межокклюзионного расстояния. Накладки изготавливаются из композитного материала или силикона и фиксируются на моляры или премоляры. Синий цвет выбран не случайно, так его проще удалить после завершения лечения, не повредив эмаль.

На втором приеме зафиксировали брекеты и на нижней челюсти.

Сразу после фиксации брекет-системы на нижней челюсти
Сразу после фиксации брекет-системы на нижней челюсти

В случае Алены накладки ускорили процесс коррекции прикуса и защитили нижние брекеты. Из-за глубокого перекрытия зубы верхней челюсти могли сбивать брекеты на нижних зубах во время приема пищи.❌ Благодаря высоким накладкам этот риск был исключен.

Разобщающие накладки установили на зубах 1.5 и 2.5. Такое расположение создает пустоту между верхней и нижней челюстью в области седьмых и шестых зубов. Это создало оптимальные условия для быстрого перемещения зуба 1.7 в правильное положение.

Для более быстрого перемещения зуба 1.7 дополнительно зафиксировали лингвальные брекеты на зубах 1.6 и 1.7.

Дополнительные лингвальные брекеты на зубах 1.6. и 1.7
Дополнительные лингвальные брекеты на зубах 1.6. и 1.7

Второй этап лечения — выравнивание боковых зубов нижней челюсти

Зубы верхней челюсти заняли анатомически правильное положение, но на нижней челюсти все еще сохраняется «волна».

Зубы Алены после завершения первого этапа лечения
Зубы Алены после завершения первого этапа лечения

Пустота между жевательными группами зубов верхней и нижней челюстей провоцирует смещение нижней челюсти назад. В естественном положении зубы не смыкаются и не выполняют свою основную функцию — пережевывание пищи.‼️ Чтобы скомпенсировать это состояние, челюсть смещается назад до тех пор, пока в какой-то точке не произойдет смыкание зубов. Чем больше промежуток между верхними и нижними зубами, тем сильнее «уезжает» челюсть.❌

Наша задача на этом этапе — восстановить смыкание зубов в анатомически правильной области.☝️ Для этого заменили дуги в брекет-системе более жесткими. А разобщающие накладки фиксируем на зубах 1.6 и 2.6.

Чтобы процесс пошел еще быстрее, зафиксировали частичную многопетлевую дугу на зубах нижней челюсти.

Частичная многопетлевая дуга — это ортодонтическая дуга с изгибами в виде петель, которая устанавливается только на часть зубного ряда и применяется для контроля перемещения отдельных зубов или сегментов челюсти. Благодаря петлям дуга создает более мягкое и контролируемое давление, улучшает распределение силы и снижает риск нежелательных побочных эффектов при перемещении зубов.

Выравнивание передних зубов

Ровные передние зубы — это основной запрос Алены к ортодонту и лечению. Но без устранения первостепенной проблемы — дистального прикуса и глубокого перекрытия в области зуба 1.7, работа с передними зубами не принесла бы желаемого результата.

Случай Алены показывает, как важно следовать рекомендациям ортодонта и работать именно с челюстью и боковыми зубами, а не прицельно выравнивать резцы. За 1 год и 8 месяцев лечения зуб 1.7 занял правильное положение, было устранено глубокое перекрытие нижней челюсти, сформирован правильный прикус в области передних и боковых зубов.💪

Самое интересное, что за это время передние зубы, которые так беспокоили Алену, также заняли свое анатомически правильное положение. Мы минимально воздействовали на них и больше времени уделяли боковым группам. Резцы выровнялись благодаря тому, что мы создали для этого оптимальные условия.

Зубы Алены после снятия брекет-системы
Зубы Алены после снятия брекет-системы

Фиксация результата

Чтобы зафиксировать результат и не дать зубам смещаться в прежнее положение, фиксируем зубы верхней и нижней челюсти проволочными ретейнерами.

Проволочный ретейнер — это несъемная ортодонтическая конструкция в виде тонкой металлической дуги, которая фиксируется на внутренней поверхности передних зубов с помощью композитного материала. Он применяется после снятия брекетов для удержания зубов в правильном положении и предотвращения их смещения. Проволочные ретейнеры могут устанавливаться как на верхнюю, так и на нижнюю челюсть и обеспечивают постоянную стабилизацию зубного ряда, не мешая прикусу и не влияя на эстетику улыбки.

Общепринятая минимальная длительность ношения проволочных ретейнеров — срок лечения, умноженный на 2. Лечение Алены на брекетах продолжалось 1 год и 8 месяцев, значит ретейнеры фиксируем минимум на 3,5 года. В течение всего этого времени пациентка будет приходить на периодические осмотры к ортодонту. А если ретейнер отклеится или повредится, запишется внепланово для коррекции.

Также изготовили Алене прозрачные каппы. Они помогают зафиксировать положение не только резцов, но и всего зубного ряда. Надевать каппы необходимо только на ночь. Срок поддерживающего лечения на каппах — 12 месяцев.☝️

Лечение Алены было длительным и довольно сложным. Полноценная брекет-система, многопетлевые дуги, разобщающие накладки — все это доставляет массу неудобств. На начальном этапе зубы могут болеть, дуги давить на десны, а накладки не позволяют нормально пережевывать пищу, разговаривать и даже просто закрывать рот. Но, когда лечение завершено, брекеты сняты, и молодая девушка видит свою прекрасную улыбку с ровными зубами, становится ясно, что весь этот путь был пройден не зря.

Лечащий врач

Феодориди Юлия Андреевна — врач стоматолог-ортодонт. Выполнила диагностику, определила проблему и провела ортодонтическое лечение Алены на полной брекет-системе.

🏥 Центр семейной стоматологии

Задать вопрос ✍️ WhatsApp

Позвонить 📞 +7 (495) 104-53-16

Мы рядом 🏥 Москва, ул. Барышиха, 12к1

📚 Читайте также

История пациента: воспаление пульпы под коронками из металлокерамики
Центр семейной стоматологии в Митино7 февраля 2025
История пациента: съемная пластина не помогла, расширяем челюсть аппаратом Марко Росса и выравниваем зубы частичной брекет-системой ребенку
Центр семейной стоматологии в Митино3 января 2025
История пациента: возвращаем зуб на место девочке 8-ми лет
Центр семейной стоматологии в Митино29 ноября 2024
История пациента: как выровнять зубы брекетами в 50 лет
Центр семейной стоматологии в Митино15 ноября 2024
История пациента: восстановление всех зубов при стоматофобии
Центр семейной стоматологии в Митино8 ноября 2024
История пациента: тотальное протезирование All-on-6 женщине в 42 года
Центр семейной стоматологии в Митино6 декабря 2024