Найти в Дзене

История пациента: девочка 9 лет, расширим челюсть и выровняем зубки

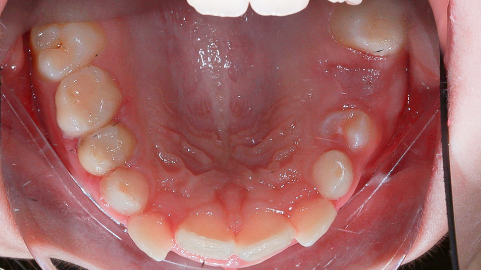
Начинать ортодонтическое лечение детей нужно как можно раньше. Не стоит ждать, пока прорежутся все постоянные зубы. Если скорректировать размер челюсти и наклон зубов в 9 лет, возможно, в 14 брекеты уже не понадобятся Алина попала на прием к ортодонту в 9 лет. Это не было ее первым визитом. Мама приводила девочку на консультацию и раньше, но тогда необходимости в коррекции еще не было. Причины, по которым Алину записали к ортодонту: ❗️узкая нижняя челюсть ❗️криво прорезались верхние «двойки» ❗️«единицы» под наклоном К моменту начала лечения у Алины прорезалось по 6 постоянных зубов на нижней и верхней челюсти. На верхней челюсти это резцы: 1.1, 2.1, 1.2 и 2.2, а также моляры 1.6 и 2.6. Ни нижней челюсти резцы 3.1, 4.1, 3.2 и 4.2, а также моляры 3.6 и 4.6. Даже если «проблему» с зубами видно со стороны, ортодонт начинает лечение с обследования☝️ На первом приеме Алине сделали панорамный снимок, по которому оценили: ✅наличие зачатков всех постоянных зубов ✅размер будущих зубов и хватит
Оглавление

Начинать ортодонтическое лечение детей нужно как можно раньше. Не стоит ждать, пока прорежутся все постоянные зубы. Если скорректировать размер челюсти и наклон зубов в 9 лет, возможно, в 14 брекеты уже не понадобятся

Жалобы пациента

Алина попала на прием к ортодонту в 9 лет. Это не было ее первым визитом. Мама приводила девочку на консультацию и раньше, но тогда необходимости в коррекции еще не было.

Причины, по которым Алину записали к ортодонту:

❗️узкая нижняя челюсть

❗️криво прорезались верхние «двойки»

❗️«единицы» под наклоном

К моменту начала лечения у Алины прорезалось по 6 постоянных зубов на нижней и верхней челюсти. На верхней челюсти это резцы: 1.1, 2.1, 1.2 и 2.2, а также моляры 1.6 и 2.6. Ни нижней челюсти резцы 3.1, 4.1, 3.2 и 4.2, а также моляры 3.6 и 4.6.

Обследование и план лечения

Даже если «проблему» с зубами видно со стороны, ортодонт начинает лечение с обследования☝️ На первом приеме Алине сделали панорамный снимок, по которому оценили:

✅наличие зачатков всех постоянных зубов

✅размер будущих зубов и хватит ли им места при прорезывании

✅как скоро будут меняться молочные зубы, выдержат ли они нагрузку при фиксации на них ортодонтической конструкции

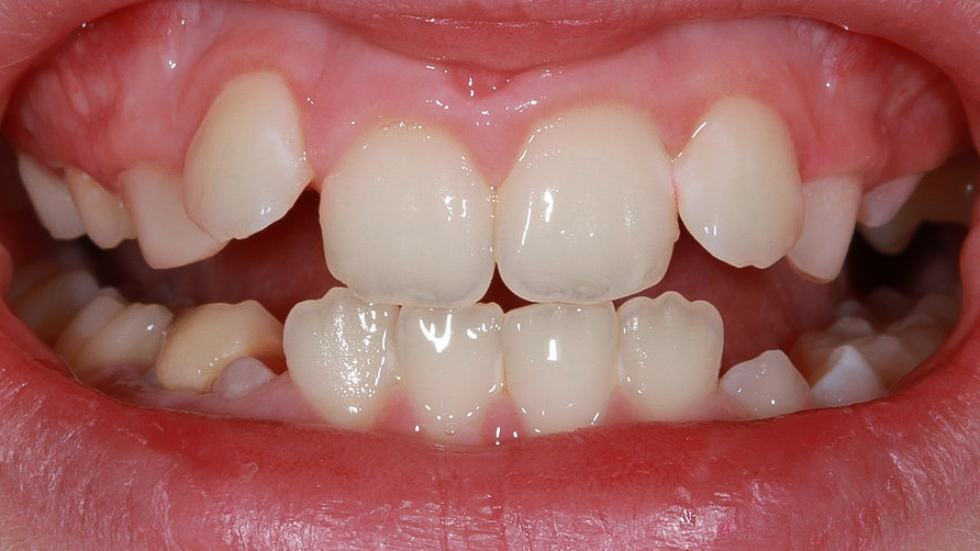
У Алины есть тенденция к глубокому прикусу. Сейчас, пока у девочки еще сменный прикус, можем отслеживать ситуацию и корректировать положение зубов, которые уже прорезались🧐

Рост нижней челюсти ограничен неправильным положением верхних зубов
Рост нижней челюсти ограничен неправильным положением верхних зубов

Основная задача ортодонтического лечения:

✅создать условия, чтобы подросла нижняя челюсть

✅расширить верхний зубной ряд за счет изменения наклона зубов

✅изменить положение передних зубов на верхней челюсти

Для решения этих задач лучше всего подходило лечение на частичной брекет-системе 2х4. В этот же день заказали брекеты и записали Алину на фиксацию системы через неделю.

В случае Алины можно было расширить челюсть аппаратом Марко Росса заранее, но на тот момент семья пациентки жила далеко от клиники и не могла посещать врача для периодической коррекции. Совместно с родителями приняли решение дождаться прорезывания постоянных зубов и решить сразу несколько проблем.

Фиксация брекет-системы

Перед фиксацией брекетов обязательно выполняем профессиональную гигиену полости рта, даже если ребенок хорошо чистит зубы👌 Это правило распространяется и на взрослых пациентов, но в их случае можно пройти процедуру профгигиены заранее, например, за неделю или несколько дней.

Также Алина прошла лечение у терапевта. Брекеты фиксируются минимум на несколько месяцев, поэтому следует заранее пролечить кариес. Маленькая пациентка хорошо ухаживает за зубами, поэтому ей поставили только одну пломбу на молочный зуб👍

Фиксация брекет-системы — это безболезненная процедура, длится не более получаса, и дети выдерживают ее совершенно спокойно. Ребенок удобно располагается в кресле, врач:

✅высушивает и проводит дополнительную обработку зубов

✅фиксирует брекеты на постоянных зубах 1.2-2.2, а также на зубах 1.6 и 2.6 специальным композитом

Не существует единой классической схемы расположения брекетов. Высота положения брекета на зубе, его сдвиг влево-вправо, зависит от того, как зуб стоит сейчас, и как он должен стоять в конце ортодонтического лечения.

В случае с Алиной фиксация выполнена таким образом, чтобы зубы 1.2 и 2.2 изменили наклон на более внутреннее положение, а зубы 1.1 и 2.1 — на более наружное положение. После окончания лечения верхние зубы перестанут замедлять рост нижней челюсти.

Как выбирают брекет-систему?

При лечении детей, особенно до подросткового возраста, ортодонты отдают предпочтение частичным металлическим брекет-системам с цветными лигатурами. Такой аппарат полностью решает ортодонтическую проблему, нравится детям внешне и относится к категории бюджетных систем.

Частичная брекет-система 2х4
Частичная брекет-система 2х4
Лигатуры — это специальные элементы, используемые для крепления ортодонтической дуги к брекетам. Они помогают зафиксировать дугу таким образом, чтобы она оказывала нужное давление на зубы, способствуя их выравниванию. Эластические лигатуры изготавливаются из резины и имеют форму маленьких колец. Они надеваются на каждый брекет, удерживая дугу на месте.
Дуги, брекеты и лигатуры
Дуги, брекеты и лигатуры

Коррекция брекетов через полтора месяца

Взрослые и дети, которые проходят лечение на брекетах, посещают ортодонта каждые 1,5 месяца☝️ На периодических визитах:

✅оцениваем, как продвигается лечение

✅меняем лигатуры, дуги, пружины, если это необходимо

Те или иные процедуры проводятся по заранее составленному плану лечения. На приеме врач оценивает, как изменилось положение зубов и размер челюсти с момента фиксации или после предыдущей коррекции.

На втором приеме Алине заменили дугу на более жесткую, поменяли пружины и эластические лигатуры. Эти процедуры проводили на каждом плановом приеме в течение всего периода лечения.

На нижней челюсти у Алины был запас для того, чтобы она могла расти и изменить свое положение, формируя тем самым правильный постоянный прикус. Заменой элементов брекет-системы на более жесткие или другого сечения меняем положение зубов и освобождаем необходимое место👌

Результат лечения

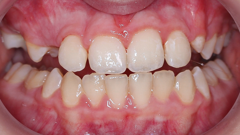
Алина носила брекеты 10 месяцев. После снятия системы зубы на месте, прикус скорректирован, а нижняя челюсть заметно подросла. При этом ортодонтические аппараты на нижней челюсти не фиксировались, для ее роста просто появилось достаточно места👍

В случае Алины не понадобилась фиксация зубов проволочным ретейнером и ночные ретенционные каппы. Челюсть девочки находится в стадии активного роста, происходит движение корней клыков, прорезывание других постоянных зубов. Фиксация каппами и ретейнером может нарушить этот процесс.

Правильное положение передних зубов
Правильное положение передних зубов

На данном этапе у Алины сохраняется асимметрия десневого края, но эту проблему необходимо корректировать позже. По мере роста челюсти и прорезывания зубов она может скорректироваться даже без лечения.

После снятия брекет-системы Алина посещает ортодонта раз в полгода. На приемах следим за правильным прорезыванием постоянных зубов, контролируем рост нижней челюсти.

Лечащие врачи

Феодориди Юлия Андреевна — врач стоматолог-ортодонт. Определила проблему с прикусом и ростом постоянных зубов Алины, выполнила фиксацию брекет-системы, контролировала все этапы лечения.

Кочерженко Светлана Николаевна — детский врач стоматолог. Выполнила санацию полости рта пациентки до начала ортодонтического лечения.

🏥 Центр семейной стоматологии

Задать вопрос ✍️ WhatsApp

Позвонить 📞 +7 (495) 104-53-16

Мы рядом 🏥 Москва, ул. Барышиха, 12к1