Найти в Дзене

История пациента: кариес разрушил кость — удаление зубов и пластика

В 33 года Артем лишился практически половины зубов. Из-за страха перед стоматологами или нежелания лечиться, Артем не обращался за помощью. Кариес постепенно трансформировался в пульпит, а после этого в периодонтит, и начал разрушать кость. Теперь, перед протезированием, восстановлением эстетики и жевательной функции мужчине предстоит пройти восстановление длинным путем. Пациент обратился в клинику с запросом на восстановление эстетики и жевательной функции. Несколько зубов на нижней челюсти и зуб мудрости 2.8 были удалены ранее. Большинство жевательных зубов на верхней челюсти были поражены кариесом и болели. Что видим на осмотре: ❎Кисты в области обеих групп жевательных зубов верхней челюсти ❎Сильно выраженный воспалительный процесс ❎Трещины корней зубов ❎Недостаточность костной ткани У пациента была первичная генетическая проблема — адентия зуба 2.2. Зачаток не сформировался и зуб не прорезался. Остальные проблемы вызваны недостаточным качеством ухода за полостью рта и несвоевременн
Оглавление

В 33 года Артем лишился практически половины зубов. Из-за страха перед стоматологами или нежелания лечиться, Артем не обращался за помощью. Кариес постепенно трансформировался в пульпит, а после этого в периодонтит, и начал разрушать кость. Теперь, перед протезированием, восстановлением эстетики и жевательной функции мужчине предстоит пройти восстановление длинным путем.

Жалобы

Пациент обратился в клинику с запросом на восстановление эстетики и жевательной функции. Несколько зубов на нижней челюсти и зуб мудрости 2.8 были удалены ранее. Большинство жевательных зубов на верхней челюсти были поражены кариесом и болели.

Что видим на осмотре:

❎Кисты в области обеих групп жевательных зубов верхней челюсти

❎Сильно выраженный воспалительный процесс

❎Трещины корней зубов

❎Недостаточность костной ткани

У пациента была первичная генетическая проблема — адентия зуба 2.2. Зачаток не сформировался и зуб не прорезался. Остальные проблемы вызваны недостаточным качеством ухода за полостью рта и несвоевременным лечением. Из-за отсутствия терапевтического лечения кариес перешел в пульпит, после чего развилось воспаление костной ткани в результате периодонтита.

Первичная адентия — зуб 2.2 отсутствует, на его место передвинулся клык 2.3
Первичная адентия — зуб 2.2 отсутствует, на его место передвинулся клык 2.3

Подготовка к протезированию

К сожалению, одномоментная имплантация сразу после удаления зубов в случае Артема невозможна. Из-за несостоятельности костной ткани необходимо поднять дно гайморовой пазухи методом синус-лифтинг, а чтобы сформировать место для имплантатов — провести ортодонтическое лечение.

На первом визите в клинику провели диагностику и определили план по восстановлению эстетики и жевательной функции:

✅Удаление зубов, которые уже невозможно спасти терапевтически

Ортодонтическое лечение на брекетах

✅Операция по восстановлению объема кости

✅Имплантация в области отсутствующих зубов

✅Фиксация коронок на имплантаты

Удаление зубов

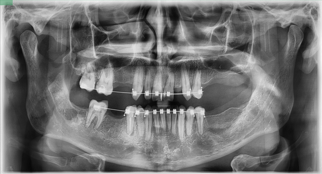
Лечение Артема начали с удаления поврежденных зубных единиц. За один визит под общим наркозом удалили зубы 1.4, 1.5, 1.8, 2.5, 2.6, 2.7, 3.8, 4.8. После заживления зафиксировали брекет-систему на верхнюю и нижнюю челюсти. Задача ортодонтического лечения в данном случае — сформировать место для установки имплантатов для восстановления отсутствующих зубов и восстановить правильное положение резцов.

Место для зуба 2.2 сформировано, резцы верхней и нижней челюсти занимают правильное положение
Место для зуба 2.2 сформировано, резцы верхней и нижней челюсти занимают правильное положение

Выполнить одномоментное наращивание костной ткани было невозможно. У пациента было активное воспаление, на заживление лунок после удаления зубов и полное восстановление потребовалось 4 месяца.

Наращивание костной ткани

Через 4 месяца Артем записался в клинику для следующей операции — подсадки кости методом открытого синус-лифтинга. Через срез лоскута на линии десен обнажили костную ткань и сформировали отверстие для проникновения в полость гайморовой пазухи. Пространство на дне пазухи заполнили костным трансплантатом, разрез закрыли мембраной, лоскут десны уложили на место и наложили швы на мягкие ткани. Операция длилась 1 час и проводилась под общим наркозом.

Для замещения костной ткани использовали швейцарский ксеногенный материал Bio Oss. Он используется в клинике уже более десяти лет, дает прогнозируемый результат и высокий процент успешного исхода операции.👍

Через 14 дней сняли швы и оценили результат на КТ.

Альтернативного лечения, позволяющего восстановить жевательную функцию и эстетику без объемного хирургического вмешательства не существует. При отказе от имплантации оставался единственный вариант — съемный протез. Решение для молодого 33-летнего человека крайне спорное.

Ортодонтия и имплантация

Регенерация костной ткани еще продолжается. Через 6 месяцев Артему сделаем повторные снимки и проведем имплантацию. За один визит установим 9 имплантатов. Размер имплантатов будет выбран в зависимости от состояния кости на момент контрольного снимка.

Брекеты не помешают имплантации. Во время операции и в течение всего периода приживления имплантатов Артем будет продолжать ортодонтическое лечение.

У Артема не было пародонтита, рецессии десны и других проблем, которые могут вызвать адентию. Если бы молодой мужчина обратился к стоматологу на более раннем этапе, когда пульпит еще не спровоцировал воспаление тканей периодонта и образование кист, большинство удаленных зубов можно было бы спасти. Пациенту потребовалось бы эндодонтическое лечение, но он избежал бы удаления, наращивания костной ткани и последующей имплантации.

Лечащие врачи

Долинер Михаил Эллевич — главный врач, врач стоматолог-хирург-имплантолог. Выполнил удаление зубов и открытый синус-лифтинг.

Гагкаева Зарина Алановна — заместитель главного врача, врач стоматолог-ортодонт. Проводит ортодонтическое лечение на брекетах перед протезированием.

🏥 Центр семейной стоматологии

Задать вопрос ✍️ WhatsApp

Позвонить 📞 +7 (495) 104-53-16

Мы рядом 🏥 Москва, ул. Барышиха, 12к1

📚 Читайте также

История пациента: воспаление пульпы под коронками из металлокерамики
Центр семейной стоматологии в Митино7 февраля 2025
История пациента: съемная пластина не помогла, расширяем челюсть аппаратом Марко Росса и выравниваем зубы частичной брекет-системой ребенку
Центр семейной стоматологии в Митино3 января 2025
История пациента: возвращаем зуб на место девочке 8-ми лет
Центр семейной стоматологии в Митино29 ноября 2024
История пациента: как выровнять зубы брекетами в 50 лет
Центр семейной стоматологии в Митино15 ноября 2024
История пациента: восстановление всех зубов при стоматофобии
Центр семейной стоматологии в Митино8 ноября 2024
История пациента: тотальное протезирование All-on-6 женщине в 42 года
Центр семейной стоматологии в Митино6 декабря 2024