Найти в Дзене

История пациента: девушка пришла отбелить зубы, а после бросила курить

Даже если человек хорошо следит за зубами и чистит их дважды в день, вредные привычки оставляют свой след. Так случилось у Анастасии. Девушка курит, из-за этого передние зубы приобрели желтоватый оттенок. Анастасия обратилась в клинику, чтобы пройти процедуру отбеливания зубов и вернуть себе белоснежную улыбку. Единственная жалоба Анастасии — желтоватый оттенок передних зубов. Исходный оттенок зубов пациентки — С2-С3. Он хорошо поддается химическому отбеливанию, восстановить эстетику можно без виниров или других более сложных процедур. Изменение цвета зубов Анастасии — это налет курильщика и результат употребления до 4 чашек кофе в день. Перед началом лечения провели клинический осмотр. У Анастасии здоровые зубы, нет ни одного кариеса, и санация полости рта ей не требовалась. Если у пациента есть кариес, особенно в зоне отбеливания — на зубах 1.5-2.5 и 3.5-4.5, рекомендуется сначала пройти терапевтическое лечение. Наличие ранее выполненных композитных реставраций в этой области — спорн
Оглавление

Даже если человек хорошо следит за зубами и чистит их дважды в день, вредные привычки оставляют свой след. Так случилось у Анастасии. Девушка курит, из-за этого передние зубы приобрели желтоватый оттенок. Анастасия обратилась в клинику, чтобы пройти процедуру отбеливания зубов и вернуть себе белоснежную улыбку.

Жалобы пациента

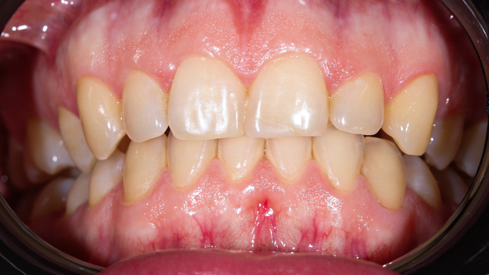
Единственная жалоба Анастасии — желтоватый оттенок передних зубов. Исходный оттенок зубов пациентки — С2-С3. Он хорошо поддается химическому отбеливанию, восстановить эстетику можно без виниров или других более сложных процедур.

Исходный цвет зубов Анастасии
Исходный цвет зубов Анастасии

Обследование

Изменение цвета зубов Анастасии — это налет курильщика и результат употребления до 4 чашек кофе в день. Перед началом лечения провели клинический осмотр. У Анастасии здоровые зубы, нет ни одного кариеса, и санация полости рта ей не требовалась.

Если у пациента есть кариес, особенно в зоне отбеливания — на зубах 1.5-2.5 и 3.5-4.5, рекомендуется сначала пройти терапевтическое лечение. Наличие ранее выполненных композитных реставраций в этой области — спорный вопрос. Если пломба небольшая, с нормальным краевым прилеганием, ее можно оставить. Большие реставрации с нарушенным прилеганием заменяют временными на период отбеливания, а после его завершения пломбируют композитными материалами с подбором нового оттенка.

Отбеливание зубов не прекращается, как только пациент встал из стоматологического кресла. Препарат работает в дентине зуба до 10 дней, процедура отбеливания продолжается. Атомарный кислород, который освободился в процессе аппаратного воздействия, продолжает расщеплять пигмент в дентине. Полностью оценить изменение цвета можно через 2 недели.

Противопоказания к отбеливанию

К сожалению, сделать отбеливание можно не всем пациентам. В первую очередь необходимо пройти обследование и оценить состояние зубов. По шкале Vita врач определяет исходный цвет эмали и объясняет пациенту, какой оттенок получится после прохождения полного курса процедур.

При отбеливании Zoom всегда стремимся к оттенку A1-B1. Но фактически в процессе отбеливания цвет может остановиться и не дойти до планируемого результата. Всегда объясняем это пациентам до начала процедуры.

Строгие противопоказания к отбеливанию:

❌Наличие кариозных полостей в зоне отбеливания

❌Оголенные шейки зубов

Первый этап — профессиональная гигиена

Проводить процедуру отбеливания необходимо на чистые зубы. Профессиональная гигиена полости рта — обязательный этап, даже если с после предыдущей чистки прошла всего неделя. За это время на поверхности зубов успевает образоваться биопленка, которая препятствует проникновению отбеливающего препарата к дентинному слою. Получить желаемый цвет при обработке зубов с налетом не получится.

Анастасия ранее никогда не делала профессиональную чистку зубов. Несмотря на это, у нее практически не было зубного камня, присутствовал только налет от сигарет и кофе. Провели профессиональную гигиену полости рта в три этапа:

✅Сняли ультразвуком налет и незначительное количество твердых отложений в пришеечной области

✅Провели обработку Air Flow с бикарбонатом соды

✅Почистили зубы щеткой с пастой, которая содержит частички циркона. Она полирует поверхность зуба и снимает отек с десны

Отбеливание назначаем через 3-6 дней после профессиональной гигиены. За это время десна полностью восстанавливается, десны и зубы готовы к дальнейшей работе.

Второй этап — отбеливание Zoom 3

На процедуру отбеливания Анастасия пришла через 3 дня. За 20 минут до начала пациентка приняла обезболивающее — нестероидный противовоспалительный препарат. Местную анестезию сделать нельзя, при отбеливании необходим контроль болевых ощущений пациента. Если очень больно, процедуру можно прервать и перенести.

Отбеливание Zoom 3
Отбеливание Zoom 3

В среднем отбеливание длится 2 часа. В течение всего этого времени пациент неподвижно сидит в кресле с раскрытым ртом.

Процедура отбеливания:

✅Нанесли изолирующий препарат на поверхность десны жидким коффердамом

✅Вскрыли индивидуальный пакет для офисного отбеливания зубов с перекисью водорода 25%

✅Установили чип в лампу

✅Нанесли отбеливающий гель на вестибулярную поверхность зубов в зоне улыбки

✅Включили лампу на 15 минут

В течение всего цикла пациент должен сидеть неподвижно. Чтобы сообщить о своих болевых ощущениях или внезапно возникшей проблеме, заранее выдали Анастасии блокнот и ручку. Говорить нельзя, но можно написать. Врач сидит рядом и контролирует состояние пациента.

После завершения цикла:

✅Отодвигаем лампу

✅Собираем остатки геля слюноотсосом

✅Подсушиваем зубы воздухом

✅Наносим гель

✅Включаем лампу повторно

Одна процедура отбеливания состоит из 4 циклов нанесения геля и обработки лампой. После завершения четвертого цикла убираем остатки геля, подсушиваем зубы и наносим специальный препарат. Его цель:

✅Уменьшить болевые ощущения пациента

✅Укрепить эмаль, заполняя ее межпризменные пространства

Препарат смываем через 10-15 минут.

Уход за зубами после отбеливания

Оценить начальный результат можно сразу после завершения процедуры, но процесс отбеливания еще продолжается. Итоговый результат будет виден через 10-14 дней. На это время есть ограничения в питании. Например, нельзя пить кофе и красное вино, курить, употреблять в пищу яркие продукты: свеклу или ягоды. Также необходимо заменить зубную щетку. Чтобы пациент ничего не забыл и не пропустил, выдали памятку с подробными рекомендациями.

В течение 1-2 суток зубы могут болеть. Облегчить состояние можно любым нестероидным противовоспалительным препаратом. Повторный визит в клинику назначен через 2 недели. Фиксируем результат.

К сожалению, если пациент выдержит 14 дней, а потом вновь будет курить и пить кофе в больших количествах, исходный цвет зубов может вернуться в течение нескольких месяцев. Анастасия настолько сильно хотела видеть в зеркале белоснежную улыбку, что отказалась от курения еще до отбеливания, а кофе начала пить с молоком. При таком изменении привычек, зубы сохраняются белыми до 5 лет.

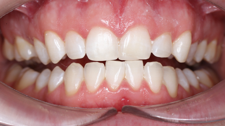
Зубы Анастасии через год после отбеливания
Зубы Анастасии через год после отбеливания

Опасно ли отбеливание

Есть мнение, что отбеливание вредит зубам, после процедуры они становятся более хрупкими. Это не так. Кислород не взаимодействует с тканями зуба. Он вступает в реакцию только с пигментом, который находится в дентине. Во время воздействия разрушаются только цепочки пигмента, который проникает в эмаль и сквозь нее. Процедура полностью безопасна. Единственный неприятный момент — это болевые ощущения во время процедуры и риск усугубления состояния, если отбеливание проведено на зубах с кариесом.

Лечащий врач

Биндюкова Ирина Олеговна — врач стоматолог-терапевт. Провела клинический осмотр, выполнила профессиональную гигиену полости рта и отбеливание Zoom 3.

🏥 Центр семейной стоматологии

Задать вопрос ✍️ WhatsApp

Позвонить 📞 +7 (495) 104-53-16

Мы рядом 🏥 Москва, ул. Барышиха, 12к1

📚 Читайте также

История пациента: воспаление пульпы под коронками из металлокерамики
Центр семейной стоматологии в Митино7 февраля 2025
История пациента: съемная пластина не помогла, расширяем челюсть аппаратом Марко Росса и выравниваем зубы частичной брекет-системой ребенку
Центр семейной стоматологии в Митино3 января 2025
История пациента: возвращаем зуб на место девочке 8-ми лет
Центр семейной стоматологии в Митино29 ноября 2024
История пациента: как выровнять зубы брекетами в 50 лет
Центр семейной стоматологии в Митино15 ноября 2024
История пациента: восстановление всех зубов при стоматофобии
Центр семейной стоматологии в Митино8 ноября 2024
История пациента: тотальное протезирование All-on-6 женщине в 42 года
Центр семейной стоматологии в Митино6 декабря 2024