Найти в Дзене

История пациента: как Алина изменила свою улыбку за 18 месяцев

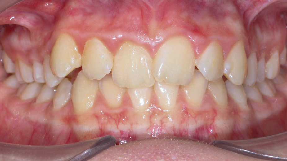
Алине 16 лет, вместе с мамой девушка обратилась в клинику за красивой улыбкой. В течение полутора лет девушка носила брекеты на нижней и верхней челюсти. Тревоги Алины были направлены на неудовлетворительную эстетику улыбки. Девушка мечтала улыбаться и не стесняться при этом своих зубов. Больше всего пациентку беспокоили: ⚠️Неровные зубы на верхней челюсти, в особенности положение клыка на верхней челюсти справа (зуб 1.3) ⚠️Скученность передних зубов снизу и сверху После осмотра становится очевидно то, что ортодонтические проблемы чуть глубже: ❎Жевательные зубы на верхней челюсти слишком углублены. Это происходит из-за того, что зубы мудрости (восьмерки) с обеих сторон давят на весь зубной ряд. Именно они смещают зубы жевательной группы внутрь и приводят к скученности передних зубов. ❎Для зубов нижней челюсти места достаточно, но они вынуждены подстраиваться под верхние антагонисты. Чтобы обеспечить достаточное для пережевывания пищи смыкание, нижняя челюсть также сместилась назад и су
Оглавление

Алине 16 лет, вместе с мамой девушка обратилась в клинику за красивой улыбкой. В течение полутора лет девушка носила брекеты на нижней и верхней челюсти.

Жалобы

Тревоги Алины были направлены на неудовлетворительную эстетику улыбки. Девушка мечтала улыбаться и не стесняться при этом своих зубов. Больше всего пациентку беспокоили:

⚠️Неровные зубы на верхней челюсти, в особенности положение клыка на верхней челюсти справа (зуб 1.3)

⚠️Скученность передних зубов снизу и сверху

После осмотра становится очевидно то, что ортодонтические проблемы чуть глубже:

❎Жевательные зубы на верхней челюсти слишком углублены. Это происходит из-за того, что зубы мудрости (восьмерки) с обеих сторон давят на весь зубной ряд. Именно они смещают зубы жевательной группы внутрь и приводят к скученности передних зубов.

❎Для зубов нижней челюсти места достаточно, но они вынуждены подстраиваться под верхние антагонисты. Чтобы обеспечить достаточное для пережевывания пищи смыкание, нижняя челюсть также сместилась назад и сузилась, а зубы приобрели лингвальный наклон.

Диагностика и план лечения

Для подбора брекет-системы, составления плана лечения и последующего контроля результатов сделали снимки, сняли слепки с верхней и нижней челюсти, выполнили фотопротокол и фиксацию положения нижней челюсти.

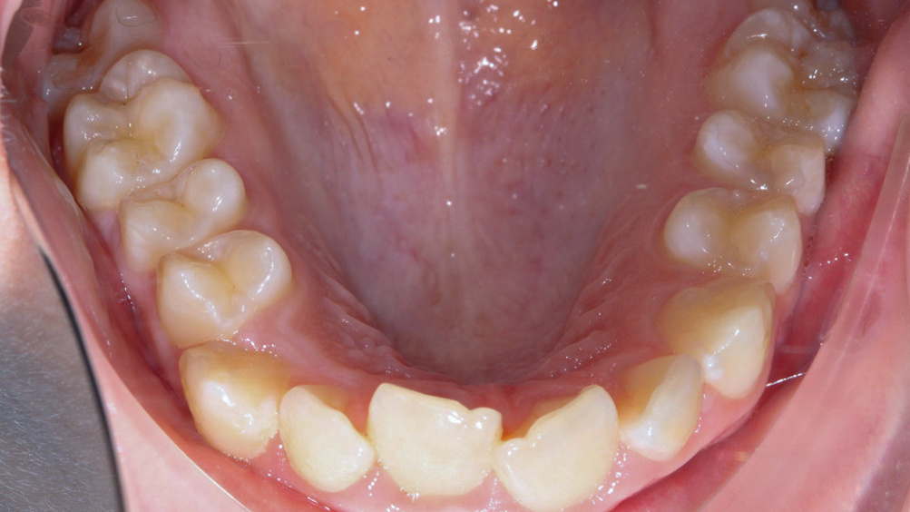
Снимок на начальном этапе лечения
Снимок на начальном этапе лечения

Перед ортодонтическим лечением необходимо выполнить профессиональную гигиену и санацию полости рта. На осмотре стоматолог-терапевт не обнаружила у Алины кариеса и других проблем с зубами, поэтому ограничились только комплексной профгигиеной.👍

Фиксация брекетов

За 2 визита Алине зафиксировали самолигирующие брекет-системы на верхнюю и нижнюю челюсть.

Также в области боковых зубов установили разобщающие накладки. Они увеличивают скорость перемещения зубов, не позволяют верхним зубам цепляться за нижние брекеты. Единичный контакт между зубами с обеих сторон вместо плотного смыкания рядов осложняет пережевывание пищи. Адаптация к накладкам длится несколько дней, обычно до недели.👌

Разобщающие накладки на зубах верхней челюсти
Разобщающие накладки на зубах верхней челюсти

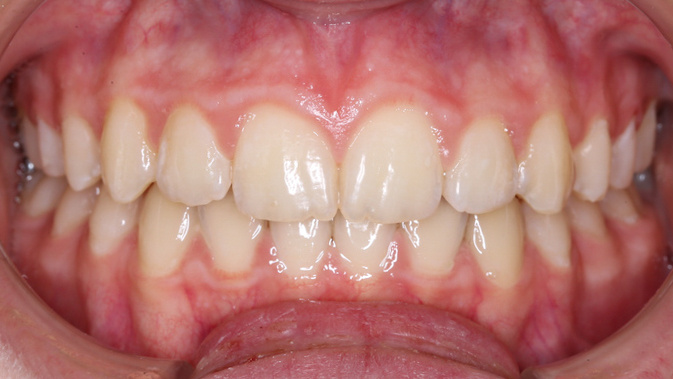
Результат ортодонтического лечения

За полтора года лечения на брекетах добились результатов:

✅Зубы заняли свое правильное положение

✅Исчезла скученность и лингвальный наклон жевательных групп

✅Нижняя челюсть увеличилась в размере, исправился прикус

✅Исчезло провисание верхних жевательных зубов

✅Верхний и нижний зубной ряды смыкаются правильно и в нужных точках

✅Центральная линия передних зубов совпадает

✅Ширина зубных рядов позволяет видеть все зубы, 1.6 и 2.6 больше не «завалены» внутрь, как до начала лечения

Сразу после снятия брекетов снова выполнили профессиональную гигиену полости рта. Из-за этого десна немного отекла и покраснела. Через 2-3 дня без дополнительного лечения слизистая придет в норму.👍

Фиксация результата

Одной из причин искривления зубного ряда стали зубы мудрости 1.8 и 2.8. На одном из этапов ортодонтического лечения их удалили. В противном случае после снятия системы восьмерки спровоцировали бы рецидив. Как только брекеты перестали бы удерживать зубной ряд, боковые зубы снова сместились бы внутрь и стремились бы занять свое исходное положение.

Для закрепления результата установили несъемные ретейнеры на верхней и нижней челюсти. Ретейнеры из крученой проволоки фиксируются на передних зубах от клыка до клыка. Они не позволяют зубам смещаться, расходиться или разворачиваться. По стандартам срок ношения ретейнеров составляет длительность лечения, умноженную на два. В особо сложных случаях и чтобы не рисковать, ретейнеры можно и нужно носить всю жизнь.

В этот же день сняли слепки для ночных ретенционных капп. Надевать их необходимо только на ночь в течение года после завершения ортодонтического лечения. Каппы стабилизируют не только передние, но и боковые отделы зубов. Их носят в течение года.

Также каждые полгода Алина посещает клинику для динамического наблюдения. На плановых приемах ортодонт проверяет фиксацию проволочных ретейнеров, контролирует положение зубов, дает рекомендации по дальнейшему лечению, если это необходимо.

Лечащие врачи

Феодориди Юлия Андреевна — врач стоматолог-ортодонт. Выполнила диагностику, спланировала и провела лечение Алины на брекетах. Выполнила профессиональную гигиену полости рта после снятия брекетов.

Мкртчян Артур Оганнесович — врач стоматолог-хирург-имплантолог, врач стоматолог-ортопед. Удалил зубы мудрости, которые спровоцировали искривление зубного ряда.

🏥 Центр семейной стоматологии

Задать вопрос ✍️ WhatsApp

Позвонить 📞 +7 (495) 104-53-16

Мы рядом 🏥 Москва, ул. Барышиха, 12к1

📚 Читайте также

История пациента: воспаление пульпы под коронками из металлокерамики
Центр семейной стоматологии в Митино7 февраля 2025
История пациента: съемная пластина не помогла, расширяем челюсть аппаратом Марко Росса и выравниваем зубы частичной брекет-системой ребенку
Центр семейной стоматологии в Митино3 января 2025
История пациента: возвращаем зуб на место девочке 8-ми лет
Центр семейной стоматологии в Митино29 ноября 2024
История пациента: как выровнять зубы брекетами в 50 лет
Центр семейной стоматологии в Митино15 ноября 2024
История пациента: восстановление всех зубов при стоматофобии
Центр семейной стоматологии в Митино8 ноября 2024
История пациента: тотальное протезирование All-on-6 женщине в 42 года
Центр семейной стоматологии в Митино6 декабря 2024