Найти в Дзене

История пациента: имплантация и полное протезирование мужчине 64 года

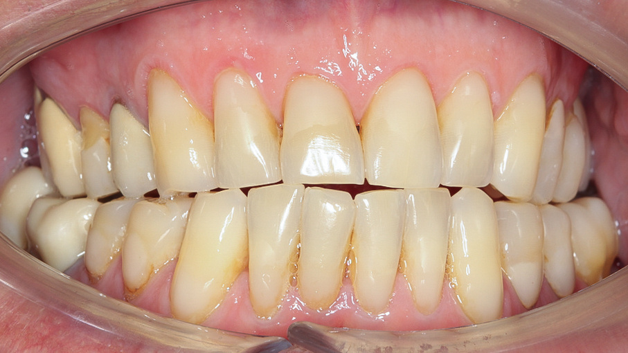
Андрей обратился в клинику с комплексной проблемой. Его беспокоили постоянные боли в жевательной области, отсутствие зубов и нарушение эстетики. В 64 года мужчина смог избавиться от стоматологических проблем и полностью восстановить свои зубы. Андрей записался в клинику по острой боли в зубе 3.6. После осмотра стоматологом-терапевтом оказалось, что зуб сильно разрушен и не подлежит лечению. В этот же день зуб 3.6 удалили. Боль в зубе 3.6 стала отправной точкой лечения Андрея. Мужчина решил больше не терпеть постоянные ограничения из-за проблем с зубами. Через 2 недели после удаления он записался на прием к стоматологу-терапевту для проведения профессиональной гигиены полости рта и к хирургу-ортопеду для обследования и последующего лечения. После осмотра хирургом-ортопедом были выявлены следующие проблемы: ⚠️Рецессия десны в области всех зубов, шейки зубов закрыты пломбами ⚠️В жевательном отделе, в области зубов 2.6 и 2.7 были ранее установлены импланты, которые также необходимо удалить
Оглавление

Андрей обратился в клинику с комплексной проблемой. Его беспокоили постоянные боли в жевательной области, отсутствие зубов и нарушение эстетики. В 64 года мужчина смог избавиться от стоматологических проблем и полностью восстановить свои зубы.

Первый визит в клинику

Андрей записался в клинику по острой боли в зубе 3.6. После осмотра стоматологом-терапевтом оказалось, что зуб сильно разрушен и не подлежит лечению. В этот же день зуб 3.6 удалили.

Общая ситуация с зубами

Боль в зубе 3.6 стала отправной точкой лечения Андрея. Мужчина решил больше не терпеть постоянные ограничения из-за проблем с зубами. Через 2 недели после удаления он записался на прием к стоматологу-терапевту для проведения профессиональной гигиены полости рта и к хирургу-ортопеду для обследования и последующего лечения.

После осмотра хирургом-ортопедом были выявлены следующие проблемы:

⚠️Рецессия десны в области всех зубов, шейки зубов закрыты пломбами

⚠️В жевательном отделе, в области зубов 2.6 и 2.7 были ранее установлены импланты, которые также необходимо удалить

⚠️Зубы 4.6, 4.7, 1.6 сильно воспалены и также подлежат удалению

Зубы пациента до начала лечения
Зубы пациента до начала лечения

Удаление зубов и имплантация

Андрею необходимо удалить большое количество зубных единиц. Начали с удаления имплантов в области зубов 2.6 и 2.7, а также зубов 1.6, 4.6 и 4.7, которые также невозможно было сохранить из-за воспаления.

Для восстановления объема кости перед протезированием выполнили костную пластику в области жевательных зубов верхней челюсти с обеих сторон. Также установили 7 имплантатов в области зубов 4.6, 4.7, 3.6, 1.6, 1.7, 2.6, 2.7.

После установки имплантатов
После установки имплантатов

Временные зубные протезы

Через 3 недели после операции по наращиванию кости и имплантации приступили к протезированию. Передние зубы Андрея были в относительно хорошем состоянии, но из-за сильно оголенных шеек с вестибулярной и лингвальной стороны мужчина постоянно испытывал дискомфорт и болевые ощущения. Зубы были очень чувствительными, реагировали на холодное, горячее, сладкое, кислое и другие раздражители⚡️ Каждый прием пищи сопровождался болью. Если бы не проблема с чувствительностью, восстановить эстетику можно было бы винирами, но в случае Андрея единственный вариант — коронки.

Под коронками в линии улыбки все зубы Андрея остались живыми. Незначительные кариесы нигде не привели к пульпиту, поэтому удаление нервов не потребовалось. Через 3 недели после имплантации:

✅Выполнили сканирование интраоральным сканером

✅Препарировали 20 зубов в линии улыбки под коронки

✅Закрыли зубы временными пластмассовыми коронками

На имплантатах в области жевательных зубов также зафиксировали временные коронки из пластмассы. Процедура заняла почти 6 часов и проводилась под местной анестезией. Высидеть в кресле так долго сложно для любого пациента, врачу в процессе работы также необходим отдых, поэтому сделали несколько перерывов.

Временные коронки на передних зубах и имплантатах
Временные коронки на передних зубах и имплантатах

Во время имплантации или изготовления коронок можно выбрать любой цвет из палитры. Если речь идет о протезировании одного зуба, врач подбирает наиболее подходящий оттенок, чтобы зубная единица не выделялась на фоне остального ряда. Когда же выполняется протезирование сразу всех зубов, выбор за пациентом. Андрей всю жизнь мечтал о белых здоровых зубах, поэтому выбрал оттенок Bleach 1✨

Постоянные коронки

С временными протезами на передних зубах Андрей ходил 2 недели. Пластмассовые зубы являются точной копией будущих постоянных, поэтому за это время пациент оценивает удобство в жевании, разговоре, повседневной жизни. Если зубы где-то давят, натирают, ограничивают функции или выглядят некрасиво, все еще можно исправить.

За 2 недели у Андрея не возникло неприятностей с временными протезами. Мужчине было комфортно во всех повседневных моментах, поэтому он сразу приехал на фиксацию постоянных керамических коронок E-max без необходимости коррекции👍 Длительность этой процедуры не уступает препарированию, фиксация также длилась около 6 часов.

Почему именно керамика?

Лет 10 назад Андрею предложили бы коронки из металлолерамики. Сейчас для восстановления эстетики и продления срока службы зубов актуальны коронки из циркония или керамики. Но почему именно керамика, а не диоксид циркония?

Керамическая коронка является адгезивной, после фиксации она становится одним целым с зубом. Она не сможет отвалиться, выпасть или сместиться, а циркониевые коронки не адгезивные и больше подходят для фиксации на имплантатах. На имплантатах зафиксировали циркониевые коронки с керамическим покрытием.

Имплантация и коронки в линии улыбки — единственный правильный вариант, который поможет сохранить зубы Андрея на десятки лет. Более бюджетный вариант — коронки из металлокерамики, не поможет закрыть оголенные шейки зубов. Металлокерамика не герметична, через некоторое время шейки оголятся вновь, зубы начнут расшатываться и выпадать. Такие же последствия ожидали бы Андрея, если бы он восстановил жевательные зубы, но не лечил передние.

Через полгода после лечения мужчина пришел на контрольный осмотр и профессиональную гигиену полости рта. Андрей воплотил свою мечту в жизнь, у него белоснежные здоровые зубы, нет болей, дискомфорта и он счастлив❤️

Лечащие врачи

Долинер Михаил Эллевич — главный врач, врач стоматолог-хирург-имплантолог. Удалил зубы, которые не подлежали терапевтическому лечению.

Мкртчян Артур Оганнесович — врач стоматолог-хирург-имплантолог, врач стоматолог-ортопед. Выполнил костную пластику, имплантацию жевательных групп зубов, а также протезирование коронками зубов в линии улыбки.

🏥 Центр семейной стоматологии

Задать вопрос ✍️ WhatsApp

Позвонить 📞 +7 (495) 104-53-16

Мы рядом 🏥 Москва, ул. Барышиха, 12к1

Официальный сайт: https://css-mitino.ru/

📚 Читайте также

История пациента: расширение челюсти аппаратом Марко Росса девочке 8 лет
Центр семейной стоматологии в Митино28 марта 2025
История пациента: воспаление пульпы под коронками из металлокерамики
Центр семейной стоматологии в Митино7 февраля 2025
История пациента: съемная пластина не помогла, расширяем челюсть аппаратом Марко Росса и выравниваем зубы частичной брекет-системой ребенку
Центр семейной стоматологии в Митино3 января 2025
История пациента: возвращаем зуб на место девочке 8-ми лет
Центр семейной стоматологии в Митино29 ноября 2024
История пациента: как выровнять зубы брекетами в 50 лет
Центр семейной стоматологии в Митино15 ноября 2024
История пациента: восстановление всех зубов при стоматофобии
Центр семейной стоматологии в Митино8 ноября 2024
История пациента: тотальное протезирование All-on-6 женщине в 42 года
Центр семейной стоматологии в Митино6 декабря 2024