Добавить в корзинуПозвонить
Найти в Дзене

История пациента: лечение кисты, абсцесса и протезирование после металлических пломб

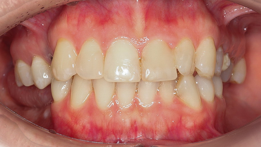
К чему может привести киста зуба, если ее не лечить? Виктория обратилась в клинику, чтобы восстановить эстетику улыбки и жевательную функцию. Но внезапно о себе напомнила киста зуба 2.1, которой более 5 лет❗️ Первичная причина, по которой Виктория обратилась в клинику — восстановление жевательных зубов. Пациентка сразу записалась к ортопеду, проконсультировалась и взяла несколько дней на обдумывание предложенного плана лечения. Буквально через 2 дня у Виктории начали болеть зубы 1.1, 2.1 и 2.2🤕 На приеме не проводились никакие манипуляции в полости рта, поэтому сначала пациентка списала неприятные ощущения на психосоматику. Через пару дней стало очевидно, что боль реальна и необходимо срочное лечение🚑 В день обращения к стоматологу-терапевту у Виктории: ‼️Сильные боли в области передних зубов верхней челюсти ‼️Отек и гиперемия десны области зубов 1.1-2.2 ‼️Выраженный отек верхней губы ‼️Повышенная температура тела ‼️Болезненная перкуссия по передним верхним зубам Ранее у Виктории пер
Оглавление

К чему может привести киста зуба, если ее не лечить? Виктория обратилась в клинику, чтобы восстановить эстетику улыбки и жевательную функцию. Но внезапно о себе напомнила киста зуба 2.1, которой более 5 лет❗️

Жалобы пациента

Первичная причина, по которой Виктория обратилась в клинику — восстановление жевательных зубов. Пациентка сразу записалась к ортопеду, проконсультировалась и взяла несколько дней на обдумывание предложенного плана лечения.

Буквально через 2 дня у Виктории начали болеть зубы 1.1, 2.1 и 2.2🤕 На приеме не проводились никакие манипуляции в полости рта, поэтому сначала пациентка списала неприятные ощущения на психосоматику. Через пару дней стало очевидно, что боль реальна и необходимо срочное лечение🚑

В день обращения к стоматологу-терапевту у Виктории:

‼️Сильные боли в области передних зубов верхней челюсти

‼️Отек и гиперемия десны области зубов 1.1-2.2

‼️Выраженный отек верхней губы

‼️Повышенная температура тела

‼️Болезненная перкуссия по передним верхним зубам

Ранее у Виктории периодически болела десна в этой зоне, но неприятные ощущения были не такими выраженными и проходили самостоятельно за 2-3 дня. Это последствия кисты зуба 2.1, которую пациентке диагностировали 5 лет назад. Виктория начала лечение кисты 2 года назад, но не завершила его❌

Срочный прием по острой боли

Виктория приехала в клинику с острой болью, которая нарастала в течение нескольких дней. Сразу сделали рентген, поставили диагноз — киста корня зуба 2.1 и абсцесс.

Моментально помочь пациентке избавиться от боли могло бы только хирургическое лечение, которое подразумевает удаление зуба 2.1, антисептическую обработку и неплотное ушивание, чтобы не потерять объем мягких тканей.

Но речь идет о переднем зубе в области улыбки, важно не только вылечить его, но и сохранить эстетику💪 Из-за длительного воспалительного процесса в области зуба 2.1 возникло разрежение костной ткани с повреждением кортикальной пластинки. Это значит, что поставить имплантат одномоментно с удалением зуба не получится, слишком большой риск отторжения. При хирургическом лечении в 34 года Виктории придется жить без переднего зуба несколько месяцев.

Даже если молодая женщина решилась бы на отсутствие зуба в течение 4-5 месяцев, имплантация в области зуба 2.1 сопряжена с риском. Экстремальная нехватка костного объема и необходимость трансплантации мягких тканей в этой зоне — достаточно сложная процедура, как для врача, так и для пациента.

Киста, которая вызвала абсцесс
Киста, которая вызвала абсцесс

Обсудив с пациенткой все плюсы и минусы удаления, выбрали терапевтическое лечение☝️ На этом же приеме выполнили вскрытие абсцесса, удалили гнойное содержимое с помощью латексного дренирования, насколько это было возможно без удаления зуба. В течение трех дней Виктория ежедневно посещала врача для промывки дренажной системы и принимала антибиотики.

Часть гноя не вышла наружу с помощью латексного дренирования. Для удаления оставшегося гноя сняли дренаж и вскрыли пульпарную камеру. Наблюдалось обильное гноетечение с примесью крови из каналов. Чтобы полностью удалить гнойный экссудат применили ирригационный протокол из Хлоргексидина 2%. После завершения промывания назначили антибиотик💊

В дальнейшем этот зуб будет восстановлен коронкой, но в течение всего периода лечения кисты у Виктории не будет «пустого места» в линии улыбки. Также консервативный подход исключает тяжелое восстановление после сложного удаления, подсадку костной ткани, ушивание десны и временные ортопедические конструкции.

Почему образовался абсцесс?

Более 5 лет назад Виктории сделали реставрацию зуба 2.1. Пломбу поставили очень близко к пульпе, случайно задев ее. К несчастью для Виктории некроз пульпы прошел самостоятельно и безболезненно. Отмершая пульпа начала разлагаться, этот процесс спровоцировал гнойное воспаление🤯

У гнойного экссудата не было выхода наружу, поэтому он образовал кисту. За 2 года до начала срочного лечения Виктории диагностировали кисту. Пациентка начала лечение, но не завершила его. В канале остался кальций, который нельзя носить внутри зуба более 2 недель. Если не продолжить лечение, кальциевая паста становится местом обитания и размножения бактерий.

В один момент, когда скопившийся на апексе корня зуба гной и кальций соединились, начался абсцесс с излиянием гноя в мягкие ткани и с их расплавлением💥 Без срочного лечения такой абсцесс очень быстро превращается во флегмону.

Флегмона зуба — это острое гнойное воспаление, которое развивается в результате инфицирования мягких тканей вокруг зуба, чаще всего вследствие осложненного кариеса, абсцесса или травмы зуба. Это воспаление может распространяться на близлежащие ткани, включая десны, кости и подкожные ткани.

Повторные промывания и временное пломбирование каналов

К моменту второго посещения для продолжения лечения Виктория чувствовала себя гораздо лучше. Прием прошел по плану:

✅Ирригация каналов Хлоргексидином 2% — 10 шприцев

✅Расширение каналов 3006, чтобы обработать ответвления каналов и полностью удалить бактерии

✅Временное пломбирование кальцийсодержащими средствами

Чтобы убедиться, что в полости кисты не осталось гноя, промывание и последующую обработку каналов проводили под микроскопом🔬

Лечение было длительным, чтобы полностью избавиться от гноя и воспаления Виктория проходила процедуру промывания каналов зуба Хлоргексидином 2% и пломбирование кальцийсодержащими материалами 5 раз с перерывами между посещениями по 2 недели.

Почему выбрали Хлоргексидин, а не Гипохлоран

Стандартный протокол консервативного лечения гнойной кисты подразумевает промывание каналов зуба Гипохлораном. Но, если бы на каждом из 5 визитов Виктории промывали каналы зуба 10-ю шприцами Гипохлорана, зуб изменил бы цвет от темно-серого до почти черного. В этом случае о сохранении эстетики не было бы и речи❌ С медицинской точки зрения Хлоргексидин лучше работает на острых воспалительных процессах. Он подавляет анаэробную флору, активный в отношении грамположительных и грамотрицательных бактерий и сохраняет активность в присутствии крови и гноя.

Постоянное пломбирование каналов зуба 2.1

На шестом посещении наконец-то увидели начало процесса заживления:

✅Начался процесс кортикализации костной ткани

✅Киста значительно уменьшилась в размерах, ее контур размылся

Промежуточный этап лечения
Промежуточный этап лечения

Почистили зуб 2.1 от мягкого и твердого налета, запломбировали каналы и коронковую часть зуба, «отпустили» Викторию на 6 месяцев. За это время киста должна полностью регрессировать. Можно будет продолжать восстановление этого и остальных зубов.

Рентген ДО и ПОСЛЕ терапевтического лечения
Рентген ДО и ПОСЛЕ терапевтического лечения

Восстановление белоснежной улыбки

Изначально Виктория обратилась к ортопеду, потому что мечтала о восстановлении жевательных зубов и белоснежной улыбке. После лечения кисты и восстановления зуба 2.1 пациентка стала на шаг ближе к цели.

Через 6 месяцев, когда мягкая и костная ткань в области зуба 2.1 восстановились, Виктория вновь пришла в клинику для протезирования.

Первичный запрос, с которым пациентка обратилась в клинику — проблема с жевательными зубами. На нижней челюсти у Виктории удалось сохранить только 9 зубов — 3.4-4.4. На верхней челюсти в нормальном состоянии сохранились жевательные зубы 1.6 и 2.6, а зубы 1.5 и 1.7 необходимо было удалить.

Почему испортились зубы?

В 34 года у женщины испорчены зубы и их пришлось удалить. К такой ситуации привело неправильное предыдущее лечение❌ В городе, где Виктория жила ранее, ей выполнили реставрацию зубов пломбами из амальгамы. Этот метод уже много лет не применяется в России, технология очень вредна для врача и не решает вопрос эстетики и полноценного восстановления жевательной функции для пациента. Сами пломбы очень прочные, под ними не образуется кариес, но зубы вокруг будут постепенно разрушаться. Так случилось и у Виктории.

Плоские пломбы из амальгамы
Плоские пломбы из амальгамы

Кроме использования устаревшего материала, зубы пациентки сделали плоскими, не восстановили анатомические бугры. Жевать такими зубами очень неудобно, они не смыкаются с верхней челюстью, не держат высоту.

Протезирование и фиксация виниров

Процесс восстановления зубных рядов начали с профессиональной гигиены полости рта. Если пациенту требуется удаление зубных единиц, имплантация или даже просто лечение кариеса, делать это нужно только на чистые зубы. Это предотвратит инфицирование ран и появление вторичного кариеса, риск которого повышается, если на пломбируемом зубе присутствует налет.

После профгигиены:

✅Пролечили зубы, которые можно было восстановить пломбами

✅Под общим наркозом Севоран в течение 3 часов удалили разрушенные зубы с пломбами из амальгамы, а также зубные единицы, которые не подлежали реставрации

Нижняя челюсть после удаления зубов и восстановления
Нижняя челюсть после удаления зубов и восстановления

После полного заживления Виктории установили имплантаты на верхней и нижней челюсти. Общий срок приживления имплантатов: 3 месяца на нижней челюсти и 6 месяцев на верхней челюсти👌

Помимо терапевтических проблем, у Виктории была скученность передних нижних зубов, но лечиться на брекетах перед протезированием пациентка не хотела. Женщина очень устала после длительного лечения кисты и мечтала как можно скорее закончить протезирование. А ортодонтические конструкции продлили бы лечение минимум на 6-9 месяцев.

Чтобы установить коронки в правильном положении, обточили, депульпировали и пролечили эндодонтически зуб 3.3.

Зуб, который обточили и депульпировали
Зуб, который обточили и депульпировали

После этого зафиксировали постоянные коронки на имплантатах, а передние зубы, покрыли винирами E-max 360.

Наконец-то Виктория может с радостью смотреть в зеркало, улыбаться и пережевывать твердую пищу. Теперь у нее белоснежные и, самое главное, здоровые зубы❤️

Лечащие врачи

Гутман Мария Андреевна — врач стоматолог-терапевт. Выполнила многоэтапное лечение абсцесса и кисты зуба 2.1, а также профессиональную гигиену полости рта.

Долинер Михаил Эллевич — главный врач, врач стоматолог-хирург-имплантолог. Удалил зубы, которые невозможно было восстановить.

Мкртчян Артур Оганнесович — врач стоматолог-хирург-имплантолог, врач стоматолог-ортопед. Провел имплантацию и протезирование жевательных зубов, а также фиксацию виниров 360.

🏥 Центр семейной стоматологии

Задать вопрос ✍️ WhatsApp

Позвонить 📞 +7 (495) 104-53-16

Мы рядом 🏥 Москва, ул. Барышиха, 12к1

📚 Читайте также

История пациента: тотальное протезирование All-on-6 женщине в 42 года
Центр семейной стоматологии в Митино6 декабря 2024
История пациента: возвращаем зуб на место девочке 8-ми лет
Центр семейной стоматологии в Митино29 ноября 2024
История пациента: Как выровнять зубы брекетами в 50 лет
Центр семейной стоматологии в Митино15 ноября 2024
История пациента: восстановление всех зубов при стоматофобии
Центр семейной стоматологии в Митино8 ноября 2024