Добавить в корзинуПозвонить
Найти в Дзене

История пациента: лечим жевательный зуб по острой боли и восстанавливаем эстетику передних зубов композитами

Оксана уже проходила реставрацию композитами в другой клинике, но пломбы испортились и понадобилось повторное лечение😒 Восстановление эстетики передних зубов лучше выполнять винирами, но пациентка не была готова к такому объемному лечению. Восстанавливаем эстетику композитами. Оксана обратилась в клинику с острой болью в зубе 4.7. Для восстановления зубной единицы провели эндодонтическое лечение в несколько этапов. На одном из визитов Оксана сказала, что ее уже длительное время раздражает небольшой дефект на двух центральных зубах🧐 Терапевтической проблемы в этом дефекте нет. Зубы пациентки не болят, жевательная функция не нарушена, но страдает эстетика. На передних зубах Оксаны композитные реставрации (пломбы). Композитные реставрации — это метод восстановления зубов с использованием композитных материалов, которые представляют собой современные полимерные смеси, имитирующие структуру и цвет натуральных зубов. Они используются для лечения кариеса, восстановления сломанных или повреж
Оглавление

Оксана уже проходила реставрацию композитами в другой клинике, но пломбы испортились и понадобилось повторное лечение😒 Восстановление эстетики передних зубов лучше выполнять винирами, но пациентка не была готова к такому объемному лечению. Восстанавливаем эстетику композитами.

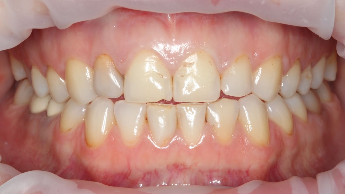
Зубы Оксаны до лечения
Зубы Оксаны до лечения

Оксана обратилась в клинику с острой болью в зубе 4.7. Для восстановления зубной единицы провели эндодонтическое лечение в несколько этапов. На одном из визитов Оксана сказала, что ее уже длительное время раздражает небольшой дефект на двух центральных зубах🧐

Дефект на зубах 1.1 и 2.1
Дефект на зубах 1.1 и 2.1

Терапевтической проблемы в этом дефекте нет. Зубы пациентки не болят, жевательная функция не нарушена, но страдает эстетика.

Что случилось с зубами?

На передних зубах Оксаны композитные реставрации (пломбы).

Композитные реставрации — это метод восстановления зубов с использованием композитных материалов, которые представляют собой современные полимерные смеси, имитирующие структуру и цвет натуральных зубов. Они используются для лечения кариеса, восстановления сломанных или поврежденных зубов, исправления формы и устранения эстетических дефектов.

Композит — это лучший материал для восстановления зубов на данный момент. Проблема в том, что для передних зубов его лучше не использовать☝️ Чтобы восстанавливать композитами резцы, необходимо очень хорошо знать анатомию зубов, правильно подобрать тонал, учесть индивидуальный прикус и форму зубных единиц пациента. В данном случае многие факторы были не учтены, и Оксана получила:

❌Окрашивание пломб

❌Сколы на краях зубных единиц и в зоне прилегания пломб к естественным тканям

❌Отсутствие блеска на поверхности зубов

Почему выполнялась реставрация передних зубов композитами?

Все дело в гигиене. В случае Оксаны она была чрезмерной💪 Девушка следит за красотой и здоровьем полости рта, чтобы зубы были белыми и сияли, она слишком тщательно их чистила. Дополнительные факторы: жесткая щетина, неправильное направление движений сыграли свою роль. Эмаль на передних зубах стерлась, оголился дентин😳

При оголении дентин постепенно меняет свой цвет. Сначала он слегка желтоватый, затем темнеет до оранжевого, коричневого и даже черного. Со стороны это выглядит как постепенно увеличивающиеся в размерах и темнеющие пятна на зубах, счистить которые невозможно.

Именно с такой проблемой Оксана и обратилась в стоматологическую клинику, где ей выполнили композитные реставрации. На передних зубах пациентки не было кариозного поражения, только механическое повреждение эмали, поэтому ей поставили небольшие пломбы и выполнили полировку зубов.

Налет в зоне прилегания пломбы
Налет в зоне прилегания пломбы

Со временем края пломбы начали крошиться, в зазоре скопился налет, образовался желтоватый контур, сами пломбы окрасились от яркой еды и напитков. При регулярном проведении профессиональной гигиены каждые 6 месяцев, врач дополнительно полирует поверхность пломб и область их прилегания к эмали. Но Оксана не была на профгигиене более двух лет, в ее случае исправить цвет и внешний вид реставраций полировкой уже невозможно.

Почему виниры лучше?

Самый простой и быстрый способ восстановления эстетики зубов Оксаны — замена композитных пломб новыми. Этот метод быстрый, но не эффективный в долгосрочной перспективе. Через 3-5 лет у пациентки начнутся те же самые проблемы с внешним видом зубов, только в большем объеме. Чтобы выполнить реставрацию композитными материалами, необходимо спилить пломбу и эмаль в прилегающей зоне до дентина, и только после этого пломбировать вновь.

Долговечный вариант восстановления эстетики передних зубов — замена их коронками💪 Но зубы Оксаны здоровы, проводить депульпацию и обширную обточку из-за незначительного внешнего дефекта — не лучшее решение. Оптимальный вариант — восстановление эстетики винирами.

Виниры — это тонкие накладки, которые крепятся на переднюю поверхность зубов для улучшения их внешнего вида. Они используются для коррекции цвета, формы, размера или положения зубов, создавая красивую и естественную улыбку.

Керамические виниры — наименее травматичный способ восстановления эстетики зубов, при котором достаточно спилить 0,5 микрон эмали под микроскопом. В отличие от реставрации композитами, не доходим до дентина, зуб под покрытием остается полностью здоровым. Срок службы такой реставрации — 20-25 лет.

Восстановление зубов композитами

Описали Оксане возможные варианты лечения, но она настаивала на восстановлении двух передних зубов композитами. Это не лучший, но допустимый вариант. Учитывая желание пациентки, приступаем к работе:

✅Делаем анестезию

✅Смазываем губы вазелином и надеваем оптрагейт

✅Снимаем композит, препарируем зуб

✅Полируем поверхность для максимального прилегания композита

✅Делаем фальц

✅Обрабатываем зуб двухпроцентным раствором Хлоргексидина

✅Протравливаем ортофосфорными кислотами

✅Обрабатываем десенситайзером

✅Наносим бонд, полимеризируем УФ-ламой

✅Выстаиваем анатомию зуба, полимеризируем каждый слой

✅Полируем несколькими дисками разной зернистости для продления срока службы пломбы

В работе использовали:

❇️Дентин: Estelite Asteria A1B, A2B пакуемый

❇️Эмали: Estelite Asteria NE пакуемый, Estelite Universal Flow A1,CE, Estelite Bulk Fill flow A2

Материалы, которые использовали в работе
Материалы, которые использовали в работе

Учитывая прикус Оксаны, стираемость верхних и нижних зубов, восстанавливаем анатомическую форму и «усиливаем» пришеечную часть зубов. Этим снижаем риск появления сколов и стирания пломб.

Оксана еще не завершила лечение зуба 4.7 и посещает клинику каждые 2 недели. После небольшого перерыва пациентка планирует восстановить зуб 1.2 коронкой, заняться здоровьем десен и эстетикой остальных зубных единиц.

Лечащий врач

Гутман Мария Андреевна — врач стоматолог-терапевт. Выполнила восстановление передних зубов композитами. Проводит многоэтапное лечение зуба 4.7.

🏥 Центр семейной стоматологии

Задать вопрос ✍️ WhatsApp

Позвонить 📞 +7 (495) 104-53-16

Мы рядом 🏥 Москва, ул. Барышиха, 12к1

📚 Читайте также

История пациента: съемная пластина не помогла, расширяем челюсть аппаратом Марко Росса и выравниваем зубы частичной брекет-системой ребенку
Центр семейной стоматологии в Митино3 января 2025
История пациента: возвращаем зуб на место девочке 8-ми лет
Центр семейной стоматологии в Митино29 ноября 2024
История пациента: как выровнять зубы брекетами в 50 лет
Центр семейной стоматологии в Митино15 ноября 2024
История пациента: восстановление всех зубов при стоматофобии
Центр семейной стоматологии в Митино8 ноября 2024
История пациента: тотальное протезирование All-on-6 женщине в 42 года
Центр семейной стоматологии в Митино6 декабря 2024