Добавить в корзинуПозвонить
Найти в Дзене

История пациента: лечение зубов на элайнерах в 13 этапов

Семейное лечение — частые истории в стоматологии! Елена пришла в клинику вместе с подругой по рекомендации их общего знакомого. А потом на ортодонтическое лечение решился и муж подруги Елены Елена пришла с заранее определенной целью — лечение на элайнерах. У пациентки достаточно ровные, зубы, но было несколько проблем: ❌Скученность зубов в переднем отделе ❌Наклон жевательных зубов внутрь ❌Стираемость режущего края передних зубов Также у Елены присутствует рецессия десны в области зуба 1.3, но она не беспокоила пациентку. Рецессия десны — это постепенное смещение уровня десны вниз по поверхности зуба, что приводит к оголению его корня. Этот процесс может затрагивать один зуб или несколько. Перед созданием идеальной улыбки и правильного прикуса Елене необходимо было удалить «восьмерки» и выполнить профессиональную гигиену полости рта. В течение месяца Елена прошла лечение у хирурга. Ей удалили зубы 1.8, 4.8, 3.8. После чего в кабинете терапевта выполнили профгигену. Один из плюсов соврем
Оглавление

Семейное лечение — частые истории в стоматологии! Елена пришла в клинику вместе с подругой по рекомендации их общего знакомого. А потом на ортодонтическое лечение решился и муж подруги Елены

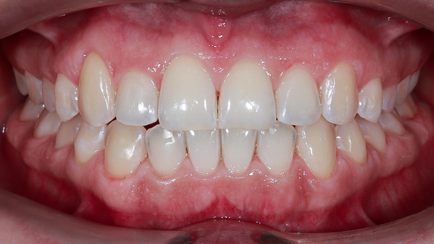
Жалобы пациента

Елена пришла с заранее определенной целью — лечение на элайнерах. У пациентки достаточно ровные, зубы, но было несколько проблем:

❌Скученность зубов в переднем отделе

❌Наклон жевательных зубов внутрь

❌Стираемость режущего края передних зубов

Также у Елены присутствует рецессия десны в области зуба 1.3, но она не беспокоила пациентку.

Рецессия десны — это постепенное смещение уровня десны вниз по поверхности зуба, что приводит к оголению его корня. Этот процесс может затрагивать один зуб или несколько.
Рецессия десны в области зуба 1.3
Рецессия десны в области зуба 1.3

Подготовка к ортодонтическому лечению

Перед созданием идеальной улыбки и правильного прикуса Елене необходимо было удалить «восьмерки» и выполнить профессиональную гигиену полости рта.

В течение месяца Елена прошла лечение у хирурга. Ей удалили зубы 1.8, 4.8, 3.8. После чего в кабинете терапевта выполнили профгигену.

План лечения и слепки

Один из плюсов современной ортодонтии — будущий результат видит не только врач, но и пациент👍 Планируя длительное и дорогостоящее лечение, человек идет к четкой цели. Благодаря 3D-моделированию он видит не предполагаемую картинку, а как будут перемещаться именно его зубы.

3D-моделирование в ортодонтии — это использование компьютерных технологий для создания трехмерных цифровых моделей зубочелюстной системы пациента. Это позволяет ортодонтам более точно планировать лечение, визуализировать результаты, а также разработать персонализированные решения для коррекции прикуса и выравнивания зубов.
3D-модель зубов Елены ДО лечения
3D-модель зубов Елены ДО лечения

Изготовлением элайнеров занимается компания 3D Smile. Сотрудничество с лабораторией состоит из нескольких шагов:

❇️Делаем фото и снимки зубов пациента

❇️Изготавливаем слепки и прикусной шаблон, отправляем в лабораторию

❇️Загружаем точный план лечения, указываем, какие зубы и куда будут передвигаться, какой лечить, а какой удалить

❇️Прописываем результат, который планируем получить, например, насколько расширить челюсть, изменить соотношение зубов, выровнять ряд

После обсуждения с техником получаем 3D-план передвижения зубов. Через 2 недели показали Елене, как будут выглядеть ее зубы после завершения лечения💪

Елена увидела все передвижения зубных единиц, изменение прикуса, расширение челюсти. Пациентка согласилась с предложенным планом, ей понравился результат, который получится в конце лечения. Заказали печать элайнеров в компании 3D Smile.

13 капп на верхнюю и нижнюю челюсть

Лечение состояло из 13 этапов на верхнюю и нижнюю челюсть. Это совпадение, в большинстве случаев количество капп на верхнюю и нижнюю челюсть разное👌

Каждый этап, или ношение каждой каппы длится 2 недели. В случае с Еленой все лечение заняло 26 недель. Это достаточно короткий срок для ортодонтического лечения, но у пациентки был практически правильный прикус и незначительная скученность зубов, от которой она хотела избавиться.

Фиксация элайнеров

Готовые элайнеры доставили в клинику, и мы пригласили Елену на фиксацию. Перед фиксацией элайнеров, как и перед другим длительным лечением, например, имплантацией или фиксацией брекетов, обязательно выполняем профессиональную гигиену полости рта.

Фиксируем аттачменты и элайнеры первого этапа.

Аттачменты — это небольшие выступы или «замочки», которые приклеиваются к зубам для усиления контроля над движением зубов при использовании элайнеров.

Аттачменты выполняются из пломбировочного материала и незаметны на зубах пациента👍

Каждый комплект капп рассчитан на 2 недели, но это не означает, что пациент должен так часто посещать клинику. Проходить лечение на элайнерах могут люди, которые проживают в другом городе и даже стране, или просто не могут так часто приезжать на прием по другим причинам🚘

Лучше, если ортодонт проводит осмотр и оценивает результат каждые 1-1,5 месяца. Но, если это неудобно или возможности частого посещения нет, отказываться от лечения не придется.

Если на следующем этапе не запланирована смена положения аттачментов, сепарация, установка тяг или винтов, выдаем пациенту несколько комплектов элайнеров на дом. Каждый из них индивидуально упакован и подписан. Достаточно распечатать пакет и сменить каппу в указанный срок👌

Поэтапное лечение

Сразу после фиксации выдали Елене каппы на 2 и 3 этапы лечения. Обучили снятию и фиксации элайнеров в полости рта. Дали рекомендации по чистке, средствам гигиены, приемам пищи и обращению с элайнерами.

Элайнеры носят 18-20 часов, снимают только на время еды, иначе эффекта не будет. Хранить элайнеры нужно в специальном контейнере. Не стоит заворачивать каппы в салфетки или просто оставлять на столе.

В следующий раз Елена пришла в клинику через полтора месяца. На приеме убедились, что перемещение зубов проходит точно по плану, зафиксировали 4 этап, а 5 и 6 этапы выдали на руки для самостоятельной фиксации дома👍 Следующий прием также прошел в режиме осмотра и выдачи 8 этапа лечения на дом. Спустя полгода после начала лечения, перед 9 этапом, провели профессиональную гигиену и сепарацию между зубами 3.1 и 4.1, выдали элайнеры на 10 и 11 этапы.

Сепарация между зубами 3.1 и 4.1
Сепарация между зубами 3.1 и 4.1
Сепарация между зубами — это процесс создания небольшого пространства между зубами для облегчения проведения ортодонтического лечения.

У Елены был еще один плановый прием, на котором зафиксировали элайнеры 12 этапа и выдали 13 этап на дом. Ортодонтическое лечение Елены завершилось, спустя 6,5 месяцев после фиксации первой группы капп.

На приеме:

✅Сняли аттачменты

✅Провели полировку зубов

✅Зафиксировали два проволочных ретейнера на верхней и нижней челюсти

✅Сняли оттиски для изготовления ночных ретенционных капп

✅Провели профессиональную гигиену и отбеливание зубов аппаратом Zoom от цвета A1 до BL3

Проволочные ретейнеры используются в ортодонтии после завершения лечения на брекетах или элайнерах для удержания зубов в новом положении. Они помогают предотвратить их смещение и сохраняют результаты лечения.

Коррекция режущего края

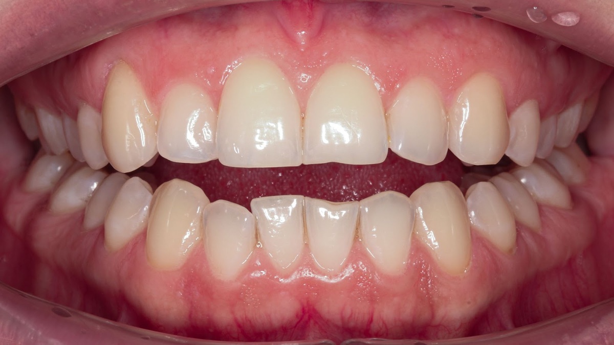
Помимо нарушения эстетики, неправильное смыкание и скученность зубов спровоцировали терапевтическую проблему — стираемость режущего края резцов 3.1 и 2.1. Чтобы улыбка Елены выглядела идеальной во всех отношениях, выполнили коррекцию режущего края зубов. На этом же приеме пролечили кариес зуба 3.7.

Зубы Елены после завершения лечения
Зубы Елены после завершения лечения

В дальнейшем Елена планирует посетить пародонтолога для лечения рецессии десны в области зуба 1.3. В течение 3-х лет пациентка будет носить ночную ретенционную каппу по индивидуальному графику, а также посещать стоматолога-терапевта каждые полгода для выполнения профессиональной гигиены полости рта и осмотра зубов на наличие кариеса👍

Лечащие врачи

Гагкаева Зарина Алановна — заместитель главного врача, врач стоматолог-ортодонт. Провела все этапы ортодонтического лечения на элайнерах.

Долинер Михаил Эллевич — главный врач, врач стоматолог-хирург-имплантолог. Удалил Елене 3 зуба мудрости.

Воробьева Эллона Александровна — врач стоматолог-терапевт. Вылечила кариес зуба 3.7 и выполнила коррекцию режущего края зубов 3.1 и 2.1.

🏥 Центр семейной стоматологии

Задать вопрос ✍️ WhatsApp

Позвонить 📞 +7 (495) 104-53-16

Мы рядом 🏥 Москва, ул. Барышиха, 12к1