Найти в Дзене
Дзен стоматолога

Видео "Кола растворяет зубы" — это миф

В интернете уже много лет ходит видео о том, как полежавший в растворе колы зуб растворяется и чернеет. Вывод видео — кола вредна настолько, что употребление ее натурально разъест вашу эмаль, растворив все минеральные компоненты. На самом деле стоит внимательнее оценить видео. Всё немного не так. Во-первых, на видео зуб держат в банке с колой неделю (и до полугода), чтобы он потемнел. В реальности это значит, что вам придется пить напиток круглосуточно на протяжении недели и более, полоскать им ротовую полость и вообще не сплевывать его. Даже самые ярые любители Колы не держат ее во рту постоянно. Во-вторых, если положить что угодно в жидкую среду с высокой кислотностью, вы получите тот же эффект. Возьмите любой газированный напиток, обычный яблочный, апельсиновый сок, даже положите зуб на дольку лимона — получите похожий результат. Потемнения не будет, но размягчение и разрушение тканей вы получите. Так действует любая кислота. В-третьих, кола — это еще цветочки. Положите зуб в апел

В интернете уже много лет ходит видео о том, как полежавший в растворе колы зуб растворяется и чернеет. Вывод видео — кола вредна настолько, что употребление ее натурально разъест вашу эмаль, растворив все минеральные компоненты.

На самом деле стоит внимательнее оценить видео. Всё немного не так.

Во-первых, на видео зуб держат в банке с колой неделю (и до полугода), чтобы он потемнел. В реальности это значит, что вам придется пить напиток круглосуточно на протяжении недели и более, полоскать им ротовую полость и вообще не сплевывать его. Даже самые ярые любители Колы не держат ее во рту постоянно.

Во-вторых, если положить что угодно в жидкую среду с высокой кислотностью, вы получите тот же эффект. Возьмите любой газированный напиток, обычный яблочный, апельсиновый сок, даже положите зуб на дольку лимона — получите похожий результат. Потемнения не будет, но размягчение и разрушение тканей вы получите. Так действует любая кислота.

В-третьих, кола — это еще цветочки. Положите зуб в апельсиновый сок, и получите тот же результат еще быстрее. По исследованиям, в натуральном апельсиновом соке сахара содержится больше, чем в кока-коле (12г сахара против 10г), а прилипаемость его к тканям зуба выше. То есть пейте здоровые фреши хоть каждый день, и кариес вам все равно гарантирован.

Что нужно знать, чтобы так не испортить зубы?

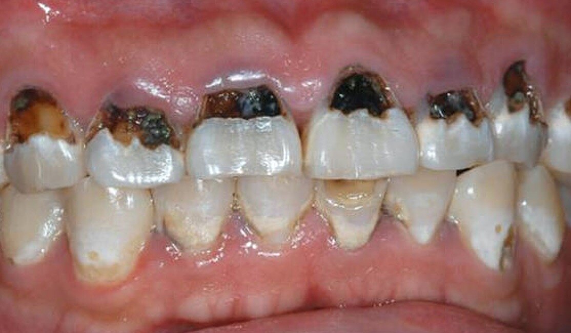
Наглядный пример, что может быть, если пить Колу вместо воды на протяжении нескольких лет
Наглядный пример, что может быть, если пить Колу вместо воды на протяжении нескольких лет

1. Пейте по одной банке в день, не больше. Доказано, что 330 мл Колы в день — максимальное количество, которое не вредно для взрослого человека.

2. Запивайте напиток водой. Она утоляет жажду лучше Колы и снижает воздействие кислот.

3. Полоскайте полость рта после Колы. То, сколько сладкий напиток будет воздействовать на зубы, зависит от прилипаемости его и времени нахождения на поверхности эмали. Тщательно сполосните рот водой, и вы минимизируете вредное воздействие.

-2