Добавить в корзинуПозвонить
Найти в Дзене

Резорбция корня — как зуб может раствориться?

Иногда зуб начинает разрушаться не снаружи, а изнутри. Без боли, кариеса и видимых причин. Это — резорбция корня. И она может остаться незамеченной надолго. Можно ли сохранить зуб, если корень буквально начинает исчезать? Да — но только если успеть вовремя. Резорбция корня — это процесс разрушения или «рассасывания» твердых тканей зуба, особенно цемента и дентина, чаще всего происходящий в результате воспалительных процессов. Из-за плохо пролеченного зуба, это может быть вторичная (воспалительная) резорбция, вызванная хронической инфекцией в корневом канале, которая активирует клетки-резорбенты. Причины резорбции: ⚠️Остаточное воспаление после некачественного эндодонтического лечения ⚠️Перфорации корня ⚠️Травма зуба или чрезмерная нагрузка ⚠️Перелечивание с чрезмерным расширением канала Резорбция может долго не давать о себе знать. У пациента нет боли, отека или дискомфорта, особенно если процесс идет медленно и ограничен небольшой зоной. Это делает регулярные рентгенологические обсле
Оглавление

Иногда зуб начинает разрушаться не снаружи, а изнутри. Без боли, кариеса и видимых причин. Это — резорбция корня. И она может остаться незамеченной надолго. Можно ли сохранить зуб, если корень буквально начинает исчезать? Да — но только если успеть вовремя.

Что такое резорбция и почему она происходит

Резорбция корня — это процесс разрушения или «рассасывания» твердых тканей зуба, особенно цемента и дентина, чаще всего происходящий в результате воспалительных процессов. Из-за плохо пролеченного зуба, это может быть вторичная (воспалительная) резорбция, вызванная хронической инфекцией в корневом канале, которая активирует клетки-резорбенты.

Причины резорбции:

⚠️Остаточное воспаление после некачественного эндодонтического лечения

⚠️Перфорации корня

⚠️Травма зуба или чрезмерная нагрузка

⚠️Перелечивание с чрезмерным расширением канала

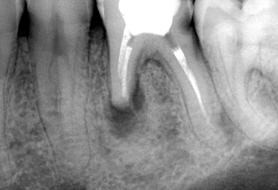
Резорбция корня
Резорбция корня

Как проявляется осложнение

Резорбция может долго не давать о себе знать. У пациента нет боли, отека или дискомфорта, особенно если процесс идет медленно и ограничен небольшой зоной. Это делает регулярные рентгенологические обследования крайне важными — без них патологию можно не заметить до поздней стадии💥

На снимке можно обнаружить:

⚡️Округлые или неровные зоны потери ткани в корне

⚡️Размытые контуры корня

⚡️Изменение длины или толщины корня

⚡️В случае внутренней резорбции — увеличение полости канала

Когда резорбция достигает значительных масштабов, появляются следующие признаки:

☝️Повышенная подвижность зуба из-за ослабления связочного аппарата

☝️Боль при накусывании или в состоянии покоя

☝️Отек десны, формирование свища

☝️Нагноение — возможно образование абсцесса

☝️Изменение цвета зуба, особенно при внутренней резорбции (розоватый оттенок коронки)

Лечение

Если резорбция вызвана хроническим воспалением после неудачного эндодонтического лечения, базовый и наиболее щадящий метод — это перелечивание корневых каналов. В ходе лечения врач:

✅Удаляет имеющийся пломбировочный материал

✅Выполняет механическую и медикаментозную обработку каналов

✅Выполняет плотное трехмерное пломбирование каналов

Если невозможно качественно пройти и пломбировать канал на всем протяжении, очаг резорбции расположен в области верхушки корня или уже имеется гранулема или киста, может быть проведена апикальная хирургия (резекция верхушки корня).

Процедура включает:

✅Доступ к корню через десну

✅Удаление воспаленной ткани и пораженной части корня

✅Ретроградное пломбирование (чаще всего МТА или биокерамикой)

✅Ушивание и наблюдение за заживлением

Удаление зуба — это крайняя мера, применяемая при:

❗️Массивной наружной резорбции

❗️Вертикальных трещинах корня

❗️Сильной подвижности зуба

❗️Невозможности сохранить функцию и эстетику

Когда резорбция — это нормально?

Резорбция корня зуба может быть физиологическим процессом только у детей при смене молочных зубов. Когда начинается прорезывание постоянного зуба, он оказывает давление на молочный — и запускается физиологическая резорбция его корней. В итоге молочный зуб расшатывается и выпадает. Это абсолютно нормальный и заложенный природой процесс.

Резорбция корня молочного зуба
Резорбция корня молочного зуба

🏥 Центр семейной стоматологии

Задать вопрос ✍️ WhatsApp

Позвонить 📞 +7 (495) 104-53-16

Мы рядом 🏥 Москва, ул. Барышиха, 12к1

Официальный сайт: https://css-mitino.ru/

📚 Читайте также

История пациента: расширение челюсти аппаратом Марко Росса девочке 8 лет
Центр семейной стоматологии в Митино28 марта 2025
История пациента: воспаление пульпы под коронками из металлокерамики
Центр семейной стоматологии в Митино7 февраля 2025
История пациента: съемная пластина не помогла, расширяем челюсть аппаратом Марко Росса и выравниваем зубы частичной брекет-системой ребенку
Центр семейной стоматологии в Митино3 января 2025
История пациента: возвращаем зуб на место девочке 8-ми лет
Центр семейной стоматологии в Митино29 ноября 2024
История пациента: как выровнять зубы брекетами в 50 лет
Центр семейной стоматологии в Митино15 ноября 2024
История пациента: восстановление всех зубов при стоматофобии
Центр семейной стоматологии в Митино8 ноября 2024
История пациента: тотальное протезирование All-on-6 женщине в 42 года
Центр семейной стоматологии в Митино6 декабря 2024