Добавить в корзинуПозвонить
Найти в Дзене

Как может маскироваться опухоль. Случай из практики.

К сожалению, не всегда бывает так, что пациент сразу попадает к онкологу. Порой, до этого момента он проходит еще через несколько специалистов, потому что диагноз "опухоль" однозначно поставить не получается. Так было и с данным пациентом. Мужчина 65 лет осенью 2024 года почувствовал себя плохо, стала подниматься температура до 38С, появился кашель с мокротой, иногда даже были прожилки крови. Обратился по месту жительства, был обследован терапевтом. По результатам анализов крови - воспаление, на КТ органов грудной клетки - следующая картина. Из описания КТ ОГК: Определяется наличие инфильтрата в S9 левого лёгкого, неправильной формы, размером до 53х47мм., с наличием периферической лучистости и тяжей к костальной и междолевой плевре. Можно было бы сразу заподозрить опухолевый процесс, но врачей смутил следующий факт. Если пролистать снимки КТ чуть дальше, становится видна зона распада в данном инфильтрате, то есть признаки нагноения. На КТ это выглядело следующим образом. Под цифрой 1 м

К сожалению, не всегда бывает так, что пациент сразу попадает к онкологу. Порой, до этого момента он проходит еще через несколько специалистов, потому что диагноз "опухоль" однозначно поставить не получается. Так было и с данным пациентом.

Мужчина 65 лет осенью 2024 года почувствовал себя плохо, стала подниматься температура до 38С, появился кашель с мокротой, иногда даже были прожилки крови. Обратился по месту жительства, был обследован терапевтом. По результатам анализов крови - воспаление, на КТ органов грудной клетки - следующая картина.

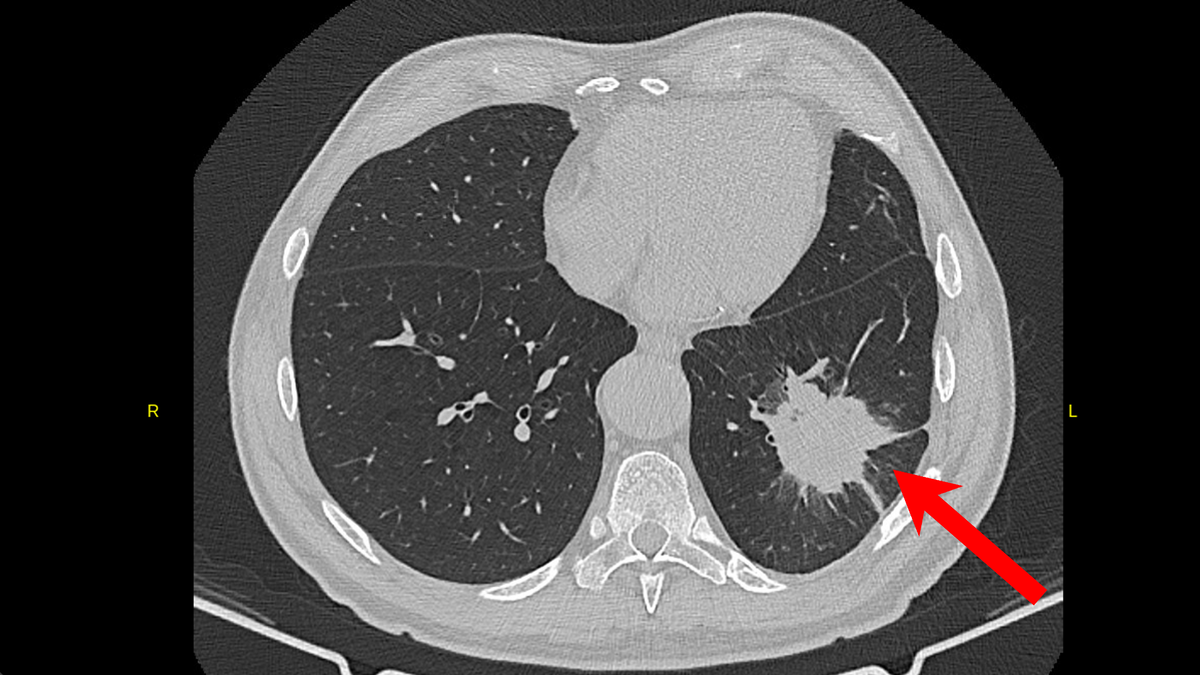
КТ органов грудной клетки при первичной диагностике
КТ органов грудной клетки при первичной диагностике

Из описания КТ ОГК:

Определяется наличие инфильтрата в S9 левого лёгкого, неправильной формы, размером до 53х47мм., с наличием периферической лучистости и тяжей к костальной и междолевой плевре.

Можно было бы сразу заподозрить опухолевый процесс, но врачей смутил следующий факт. Если пролистать снимки КТ чуть дальше, становится видна зона распада в данном инфильтрате, то есть признаки нагноения. На КТ это выглядело следующим образом.

КТ органов грудной клетки пациента
КТ органов грудной клетки пациента

Под цифрой 1 мы видим участок черного цвета - это воздух, под цифрой 2 видим горизонтальный уровень жидкости - гнойное содержимое.

Пациенту был поставлен диагноз: левосторонняя нижнедолевая пневмония с формированием абсцесса. Назначена антибиотикотерапия с некоторым улучшением в виде снижения температуры, но в целом жалобы сохранялись.

Затем пациент был направлен к фтизиатру по месту жительства, после недолгого обследования диагноз туберкулез легких с распадом был исключен. Только после этого пациент попал на прием в онкологический центр.

Пациенту было проведено комплексное обследование, которое обязательно включает в таких случаях КТ грудной клетки, брюшной полости и органов малого таза, МРТ головного мозг. По результатам контрольного КТ улучшения не было выявлено, поэтому было принято решение о биопсии.

КТ органов грудной клетки в динамике ( после антибактериальной терапи).
КТ органов грудной клетки в динамике ( после антибактериальной терапи).

Пациенту была выполнена бронхоскопия с биопсией образования нижней доли левого легкого. Через несколько дней из лаборатории пришел результат гистологического заключения:

Морфологическая картина и иммунофенотип аденокарциномы легкого.

Также во время осмотра было заподозрено небольшое увеличение лимфатического узла над ключицей слева, была также выполнена пункция. К сожалению результат также подтвердился:

на фоне элементов лимфатического узла обнаружены единичные элементы аденокарциномы.

Таким образом пациенту был установлен диагноз: Аденокарцинома нижней доли левого легкого III стадии. В настоящий момент пациент успешно начал лечение, первым этапом было назначено проведение химио-иммунотерапии. Пациент уже чувствует себя лучше. Ну а динамику будем оценивать после проведения нескольких курсов лечения.

Заключение ( мораль)

Рак легкого - это одна из самых частых злокачественных опухолей на сегодняшний момент. Именно поэтому так важен постоянный скрининг. В данном случае хватает самой обычной флюорографии, которую необходимо проходить один раз в год. Это простое мероприятие в 90% случаев поможет избежать запущенной стадии заболевания. В особой группе риска находятся люди со стажем курения более 30 лет, в таких случаях рекомендуется делать КТ органов грудной клетки 1 раз в год.

Здоровья Вам и вашим близким!

Друзья, подписывайтесь на канал, здесь будет много интересной и полезной информации!

_________________________________

Возможно Вам будет интересно: