Найти в Дзене

Рецессия десны — медленный, но уверенный путь к потере зубов

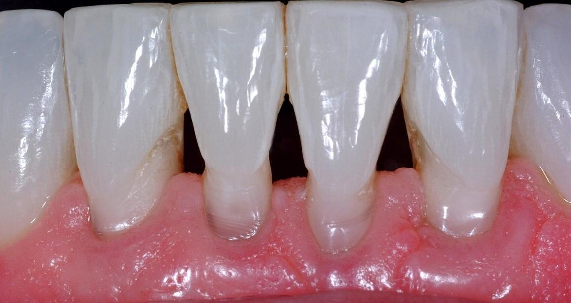
Оголение шеек зубов — не просто косметический дефект. Оно может привести к разрушению эмали, появлению клиновидных дефектов, расшатыванию зубов и, в конечном итоге, их потере. Особенно если причиной рецессии стало неправильное распределение жевательной нагрузки из-за отсутствия зубов, перегрузки передних зубов или некорректной установки имплантов. Рецессия десны — это процесс постепенного опускания десневой ткани, в результате которого оголяются корни зубов. Причин оголения шеек зубов может быть множество, но чаще всего это состояние вызывает: ⚠️Неправильная гигиена полости рта — чрезмерно агрессивная чистка зубов жесткой щеткой, использование абразивных зубных паст или неправильная техника чистки ⚠️Заболевания десен: гингивит и пародонтит ⚠️Неправильный прикус и перегрузка зубов ⚠️Тонкая десна от природы ⚠️Курение — никотин ухудшает кровоснабжение десен С заболеваниями полости рта, тонкой десной, курением или чрезмерной гигиеной все понятно. Механическое воздействие опускает десну, а
Оглавление

Оголение шеек зубов — не просто косметический дефект. Оно может привести к разрушению эмали, появлению клиновидных дефектов, расшатыванию зубов и, в конечном итоге, их потере. Особенно если причиной рецессии стало неправильное распределение жевательной нагрузки из-за отсутствия зубов, перегрузки передних зубов или некорректной установки имплантов.

Почему оголяются шейки зубов

Рецессия десны — это процесс постепенного опускания десневой ткани, в результате которого оголяются корни зубов.

Причин оголения шеек зубов может быть множество, но чаще всего это состояние вызывает:

⚠️Неправильная гигиена полости рта — чрезмерно агрессивная чистка зубов жесткой щеткой, использование абразивных зубных паст или неправильная техника чистки

⚠️Заболевания десен: гингивит и пародонтит

⚠️Неправильный прикус и перегрузка зубов

⚠️Тонкая десна от природы

⚠️Курение — никотин ухудшает кровоснабжение десен

Рецессия десны 4 класса (по классификации Миллера)
Рецессия десны 4 класса (по классификации Миллера)

Как прикус влияет на десну

С заболеваниями полости рта, тонкой десной, курением или чрезмерной гигиеной все понятно. Механическое воздействие опускает десну, а бактерии или никотин разрушают ее ткани, но как неправильный прикус влияет на рецессию?

Неправильное смыкание зубов вызывает избыточное давление на определенные зоны десны, что со временем может привести к ее отступлению.

❎Если зубы смыкаются неравномерно, некоторые из них испытывают избыточную нагрузку. Кость вокруг этих зубов постепенно разрушается, а десна отступает.

❎Чрезмерное давление на отдельные зубы может вызвать микропереломы и стираемость эмали в пришеечной области, что способствует оголению корней.

❎При выраженной скученности зубов десна испытывает постоянное механическое раздражение.

❎Отсутствие одного или нескольких зубов изменяет распределение нагрузки, провоцируя перегрузку оставшихся зубов, что ускоряет процесс рецессии.

Как лечить

Если рецессия вызвана неправильным прикусом и брекеты уже не помогут, установка керамических коронок на передние зубы поможет сохранить их.

Полное протезирование: керамические коронки на передние зубы и коронки на имплантатах для жевательной группы
Полное протезирование: керамические коронки на передние зубы и коронки на имплантатах для жевательной группы

Чем помогут коронки?

✅Коронки позволят сбалансировать окклюзию, перераспределив жевательную нагрузку с передних зубов на имплантаты в боковых отделах. Это снизит давление на ослабленные зубы с оголенными шейками.

✅Из-за оголенных шеек зубы подвержены истиранию, клиновидным дефектам и повышенной чувствительности. Коронки полностью покрывают зубы, защищая их от внешних воздействий.

✅Оголенные зубы могут смещаться из-за нехватки боковой поддержки. Коронки создадут жесткий каркас, который предотвратит дальнейшее изменение их положения.

Зубы с оголенными шейками выглядят удлиненными, коронки помогут восстановить гармоничные пропорции и вернут эстетику зоне улыбки.

А если не ставить коронки?

Если коронки не устанавливать, а оставить зубы с оголенными шейками без защиты и без перераспределения нагрузки, ситуация со временем будет ухудшаться. В зоне шеек начнут формироваться клиновидные дефекты. Это постепенно ослаблит структуру зубов, сделает их более хрупкими. Если жевательная нагрузка по-прежнему будет распределяться неправильно, зубы начнут расшатываться.

Клиновидный дефект — это некариозное поражение зуба в области шейки, проявляющееся в виде характерного углубления V-образной формы.
Путь от рецессии десны до клиновидного дефекта
Путь от рецессии десны до клиновидного дефекта

Без установки коронок и лечения десны зубы с оголенными шейками со временем разрушатся. Процесс может занять несколько лет, но в конечном итоге это приведет к их потере и необходимости более сложного протезирования или имплантации.

🏥 Центр семейной стоматологии

Задать вопрос ✍️ WhatsApp

Позвонить 📞 +7 (495) 104-53-16

Мы рядом 🏥 Москва, ул. Барышиха, 12к1

Официальный сайт: https://css-mitino.ru/

📚 Читайте также

История пациента: расширение челюсти аппаратом Марко Росса девочке 8 лет
Центр семейной стоматологии в Митино28 марта 2025
История пациента: воспаление пульпы под коронками из металлокерамики
Центр семейной стоматологии в Митино7 февраля 2025
История пациента: съемная пластина не помогла, расширяем челюсть аппаратом Марко Росса и выравниваем зубы частичной брекет-системой ребенку
Центр семейной стоматологии в Митино3 января 2025
История пациента: возвращаем зуб на место девочке 8-ми лет
Центр семейной стоматологии в Митино29 ноября 2024
История пациента: как выровнять зубы брекетами в 50 лет
Центр семейной стоматологии в Митино15 ноября 2024
История пациента: восстановление всех зубов при стоматофобии
Центр семейной стоматологии в Митино8 ноября 2024
История пациента: тотальное протезирование All-on-6 женщине в 42 года
Центр семейной стоматологии в Митино6 декабря 2024