Добавить в корзинуПозвонить
Найти в Дзене
Центр подологии №1 PodoFocus

Пяточная шпора

Пяточной шпорой обычно называют плантарный (подошвенный) фасциит (ПФ). Это довольно распространенное заболевание, которое развивается достаточно медленно, но в последствии может приводить к воспалению и острой боли в пятке.
Плантарная фасция – элемент структуры стопы из соединительной ткани, который с одной стороны крепится к пяточной кости, а с другой – к фалангам пальцев.
В нормальном состоянии эта фасция всегда эластична, она растягивается и сокращается при ходьбе.
Однако, под воздействием внутренних или внешних факторов, плантарная фасция в области зон максимального натяжения получает микроразрывы и воспаляется. Чаще это выявляется в области крепления к пятке.
Какое-то время фасция может восстанавливаться самостоятельно, но с возрастом или при высоких нагрузках эта способность утрачивается и происходит кальцификация травмированной ткани.
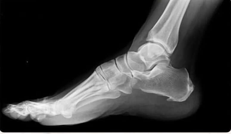
Продольные краевые микро надрывы заполняются плотными элементами, поэтому на рентгене в боковой проекции мы наблюдаем некий вырост из пяточ

Пяточной шпорой обычно называют плантарный (подошвенный) фасциит (ПФ). Это довольно распространенное заболевание, которое развивается достаточно медленно, но в последствии может приводить к воспалению и острой боли в пятке.

Плантарная фасция – элемент структуры стопы из соединительной ткани, который с одной стороны крепится к пяточной кости, а с другой – к фалангам пальцев.


В нормальном состоянии эта фасция всегда эластична, она растягивается и сокращается при ходьбе.


Однако, под воздействием внутренних или внешних факторов, плантарная фасция в области зон максимального натяжения получает микроразрывы и воспаляется. Чаще это выявляется в области крепления к пятке.


Какое-то время фасция может восстанавливаться самостоятельно, но с возрастом или при высоких нагрузках эта способность утрачивается и происходит кальцификация травмированной ткани.

Продольные краевые микро надрывы заполняются плотными элементами, поэтому на рентгене в боковой проекции мы наблюдаем некий вырост из пяточной кости, визуально напоминающий шпору на ноге петуха.

Причины образования внешние и внутренние:
- ношение обуви на высоком каблуке или на плоской/жёсткой подошве;
- патологии костно-мышечного аппарата;
- избыточная масса тела;
- спорт высоких достижений;
- генетические заболевания (напр., множественная экзостозная хондродисплазия);
- ревматические болезни;
- заболевания нервной системы, приводящие к парезу и другие.

-2


Диагностируют ПФ исходя из жалоб клиента (симптом первого шага), пальпации подошвы, УЗИ или рентгенографии стопы в боковой проекции.

Современные методы лечения ПФ: медикаментозное устранение воспаления, экстракорпоральная ударно-волновая терапия (ЭУВТ), ЛФК для стоп и голени, методы МФР, ортопедические стельки, специальные носки, которые приподнимают пальцы и кинейзиотейпирование.

А в качестве профилактики, особенно если вы в группе риска, рекомендуем носить индивидуально изготовленные ортопедические стельки и, по возможности, избегать сильных и продолжительных нагрузок на стопы.

Берегите себя!