Найти в Дзене
Parodoctor

Эрозия эмали - что делает с зубами кислота

Оглавление

Всё ещё сосёте лимоны (оказывается, есть такая вредная привычка) и чистите зубы сразу после? А, может, страдаете от токсикоза, работаете на аккумуляторном заводе или, чего недоброго, столкнулись с алкоголизмом?

Тогда имеется вероятность, что эрозия зубов не заставит себя ждать и приётся смириться с болью.

Эрозия зубов относится к некариозным поражением и характеризуется потерей твёрдых тканей зуба от воздействия кислот, НЕ СВЯЗАННЫХ с бактериями.

То есть, проблема не произойдет, если вы не чистите зубы. Это - другое. Да и одна из особенностей эрозий связана с тем, что на зубах нет никаких зубных отложений (спасибо кислоте), зато есть пигментация в неспецифических для нормы местах (на режущих краях зубов, например).

Откуда берется эрозия зубов - причины

Если на эмаль будет постоянно и длительно действовать что-то очень кислое, pH должен быть ниже уровня 5.5, то взаимодействие даже с щетинками зубной щётки для зуба будет весьма травматичным событием.

Поражение может быть как внешним, связанным с приемом пищи, работой в сложных условиях, приёмом препаратов, так и внутренними, связанными с постоянной рвотой, например. Остановимся подробнее на причинах.

Внешние причины эрозий зубов

  • Кислая пища и напитки (особенно, с газом) - яблоки, лимоны, киви, спрайт, вино (я тоже за сухое, pH 3-4 - не держите его во рту) и т.д.
Длительное употребление кислых газированных напитков в элайнерах
Длительное употребление кислых газированных напитков в элайнерах
  • Работа в специфических условиях - вспомним рабочих аккумуляторных заводов.
  • Медикаменты - рассасывание пилюль с витамином С (сама грешу, есть у меня желейки такие, довольно приятные), НПВП (нестероидные противовоспалительные препараты), препараты железа некоторые.

Внутренние причины эрозий зубов

Связанные с кислым содержимым желудка, попадающим в ротовую полость, причины - наиболее тяжелые и трудно контролируемые.

  • Булимии, анорексия.
  • Гастроэзофагеальная рефлюксная болезнь.
  • Наркомания, алкоголизм.
  • Грыжа пищевода.
  • Токсикоз при беременности с рвотой.
  • Лечение цитостатиками.
  • Любое состояние, при котором рвота приобретает характор постоянного спутника.

Механическое воздействие как усугубляющий эрозии фактор

Вообще, в норме, кислота нейтрализуется слюной и проблем не возникает у человека. Однако, если кислоты много, она концентрированная и воздействует на зубы долго (как кисляк газированный и элайнеры) - слюна не успевает справиться с проблемой. Тогда вот такая размягченная эмаль очень даже эффективно удаляется зубной щёткой или при профессиональной гигиене полости рта.

Важно - не чистить зубы сразу после приёма кислотных продуктов! Прополоскать рот водой или воспользоваться пенкой очищающей, а только через 30 минут можно приступать к чистке супер-мягкой щёткой с большим количеством щетинок (от 10-12000).
Эрозии - элайнеры + кислота
Эрозии - элайнеры + кислота

А если слюны мало? Такое бывает при некторых болезнях (синдром Шегрена, СД, химио и лучевая терапия) и т.д. Тоже ничего хорошего, нет защитных свойств слюны, есть проблемы - те же эрозии вероятны.

Локализация и тяжесть эрозий

Если повезло вовремя заметить и остановить патологические процессы - то дальше эмали процесс не пойдет. Если не повезло - то и до дентина легко можно докувыркаться.

Если что - это больно. Очень. Не успевают компенсаторные механизмы угнаться за скоростью распространения повреждающих агентов.

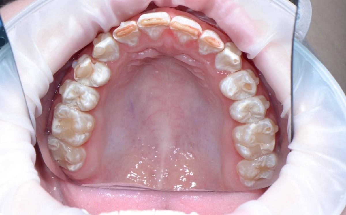
Эрозии на нёбной поверхности зубов верхней челюсти, на жевательной поверхности - можно предположить, что причина в хронической рвоте или в забросе кислого содержимого желудка в полость рта.

Небные и окклюзионные поверхности - эрозии. Признак внутренних причин появления эрозий
Небные и окклюзионные поверхности - эрозии. Признак внутренних причин появления эрозий

Эрозии на вестибулярной поверхности - вредные привычки сосать что-то кислое.

Эрозии на всех поверхностях - питиё и поедание кислоты в неконтролируемых дозах + неправильное поведение после.

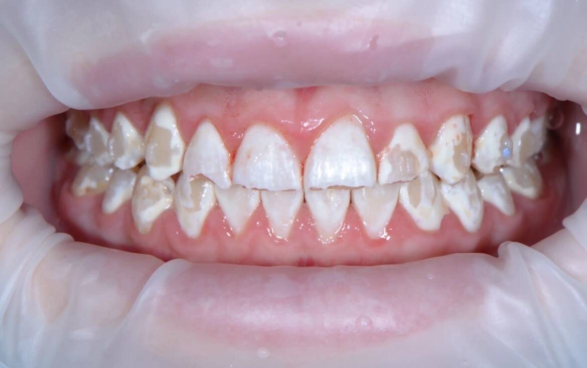
Эрозии на фронтальной поверхности зубов
Эрозии на фронтальной поверхности зубов

Так же хочу напомнить про типичный налет, характерный для кислотного воздействия на зубы - коричневатый такой, даже не налёт, а пигмент. Располагается на жевательной поверхности, в фиссурах. Там, где в норме мы его не видим почти никогда.

Типичный для эрозий налёт
Типичный для эрозий налёт

Камней - нет.

Так же часто эрозии идут рука об руку со стиранием (истиранием) эмали, что плохо влияет на высоту прикуса и, соответственно, на суставы (ВНЧС).

Лечение эрозий зубов

Важнее всего, в этом деле, постараться устранить повреждающий фактор. Потому что без этого, сами понимаете, процессы будут прогрессировать.

Если поражение в зоне эмали и не перешло на дентин, можно стабилизировать состоянин за счет реминерализации, выполнять курсами, можно и дома (лучше изготовить специальные капы, так удобнее и КПД выше, меньше расход средств реминерализирующих).

Щётка - ТОЛЬКО МЯГКАЯ (супермягкая) с большим количеством щетинок, никаких абразивных паст. Зубы чистим НЕ РАНЕЕ, чем через 30 минут после употребления кислых продуктов.

Если же дефекты визуально обозначены, если присоединился кариес (очень часто подобное случается) - лечим зубы, делаем реставрации. Пожалуй, если совсем не удается справиться с повреждаюим фактором, то рекомендация будет "надеть" на зубы коронки. Вот только очень критично качество прилегания коронки - не должно быть никаких нависающих краёв. Для живых зубов я бы рассматривала материал E-max.

E-max, качественное прилегание без нависающих краёв, стык в стык
E-max, качественное прилегание без нависающих краёв, стык в стык

О других некариознах поражениях можно (будет) прочитать в подборке (я её только начала, добавила системную гипоплазию и эрозии):

Некариозные поражения зубов | Parodoctor | Дзен

На вопросы отвечаю в тг канале (там, кажется мне, интересно и имеется свой чат для пациентов и подписчиков):

Parodoctor

С уважением, Лежачёва Наталия Александровна, хирург-пародонтолог и главный врач стоматологии Parodent, СПб