Добавить в корзинуПозвонить
Найти в Дзене

Тяжёлая пневмония у молодого пациента. Случай из практики

Иногда рентгеновский снимок может рассказать больше, чем сам пациент. В институте на кафедре рентгенологии, наш преподаватель старался обучить нас не только распознавать изменения на снимке, но и предположить, что представляет собой пациент, у которого обнаружены такие изменения. Например, продемонстрировав нам снимок, на котором был запечатлён патологический перелом плеча, он обращал внимание на разреженность костной ткани, что бывает, например, после удаления паращитовидных желёз, ответственных за обмен кальция. Круглые дефекты костей черепа, как будто сделанные инструментом, типичны для миеломной болезни. Ну, а тяжёлую пневмонию часто можно увидеть у пациентов со сниженным иммунитетом, например, у хронических алкоголиков. На прошлом дежурстве в нашу клинику поступил 30-летний пациент. Причиной самостоятельного обращения в приёмное отделение было повышение температуры тела и нехватка воздуха, беспокоящая уже около недели. Пациент долго терпел, но, когда понял, что уже не может спать

Иногда рентгеновский снимок может рассказать больше, чем сам пациент.

В институте на кафедре рентгенологии, наш преподаватель старался обучить нас не только распознавать изменения на снимке, но и предположить, что представляет собой пациент, у которого обнаружены такие изменения. Например, продемонстрировав нам снимок, на котором был запечатлён патологический перелом плеча, он обращал внимание на разреженность костной ткани, что бывает, например, после удаления паращитовидных желёз, ответственных за обмен кальция. Круглые дефекты костей черепа, как будто сделанные инструментом, типичны для миеломной болезни. Ну, а тяжёлую пневмонию часто можно увидеть у пациентов со сниженным иммунитетом, например, у хронических алкоголиков.

На прошлом дежурстве в нашу клинику поступил 30-летний пациент. Причиной самостоятельного обращения в приёмное отделение было повышение температуры тела и нехватка воздуха, беспокоящая уже около недели. Пациент долго терпел, но, когда понял, что уже не может спать из-за нарастающей одышки, он понял, что без больницы не обойтись.

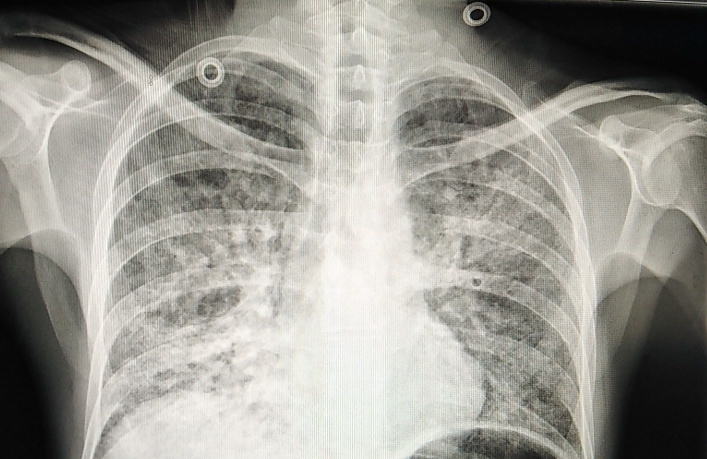
Двусторонняя полисегментарная пневмония. У людей в расцвете сил она встречается нечасто.
Двусторонняя полисегментарная пневмония. У людей в расцвете сил она встречается нечасто.

После выполнения рентгеновского снимка дежурный терапевт приёмного отделения пришёл ко мне, чтобы обсудить тактику. При таком тяжёлом поражении обоих лёгких сомнений нет – пациент заслуживает самого внимательного отношения, и лечить его надо в условиях реанимации. Откуда такие тяжёлые изменения у молодого пациента?

Что показал осмотр?

Пациент явно неблагополучный. Резко истощён, кожные покровы бледные. Рассуждает несколько по-детски: «А мне не сделают больно? Боялся ехать в больницу – думал, пройдёт само».

Несмотря на молодой возраст, он нигде не работает, живёт на даче у друзей. Странная ситуация. Но при более подробном разговоре выяснилось, что всё закономерно: пациент нехотя признался, что злоупотребляет «солями».

Теперь всё ясно: употребление запрещённых веществ, хроническое недоедание, которое привело к алиментарной дистрофии, на этом фоне и возникла тяжёлая пневмония.

Пневмонию вылечим. Уже в первые сутки у пациента наблюдалась явная положительная динамика. А вот что делать с зависимостью – это вопрос.

Подписывайтесь на меня в Телеграм, там я иногда публикую материалы, которых нет в Дзене.t.me/kardiologKrulev

Ещё заметки с дежурства:

Статья не является руководством к действию. Требуется консультация специалиста.