Найти в Дзене
Ридус

Исследование: рак легких все чаще диагностируется у никогда не куривших людей

В мире становится все больше некурящих людей с раком легких. Виной тому загрязнение воздуха, считают эксперты Всемирной организации здравоохранения. По данным Международного агентства по изучению рака (IARC), это заболевание стало пятой по значимости причиной смертности от рака у тех, кто никогда не курил сигареты или табак.

"По мере снижения распространенности курения, как это наблюдается в Великобритании и США, доля случаев рака легких, диагностируемых среди тех, кто никогда не курил, имеет тенденцию к увеличению", - сказал в интервью The Guardian ведущий автор исследования и глава отдела онкологического надзора МАИР доктор Фредди Брей.

В целом рак легких остается основной причиной заболеваемости раком и смертности от него во всем мире. В 2022 году он был диагностирован примерно у 2,5 миллионов человек.

Однако за последние десятилетия структура заболеваемости по подтипам резко изменилась. По данным МАИР, из четырех основных подтипов рака легких вперед вырвалась аденокарцинома (также есть плоскоклеточная карцинома, мелкоклеточная карцинома и крупноклеточная карцинома).

Агентство отмечает, что рак легких у некурящих встречается почти исключительно в виде аденокарциномы. Согласно исследованию МАИР, опубликованному в журнале The Lancet Respiratory Medicine, в 2022 году на ее долю пришлось до 70% случаев этого заболевания среди таких пациентов.

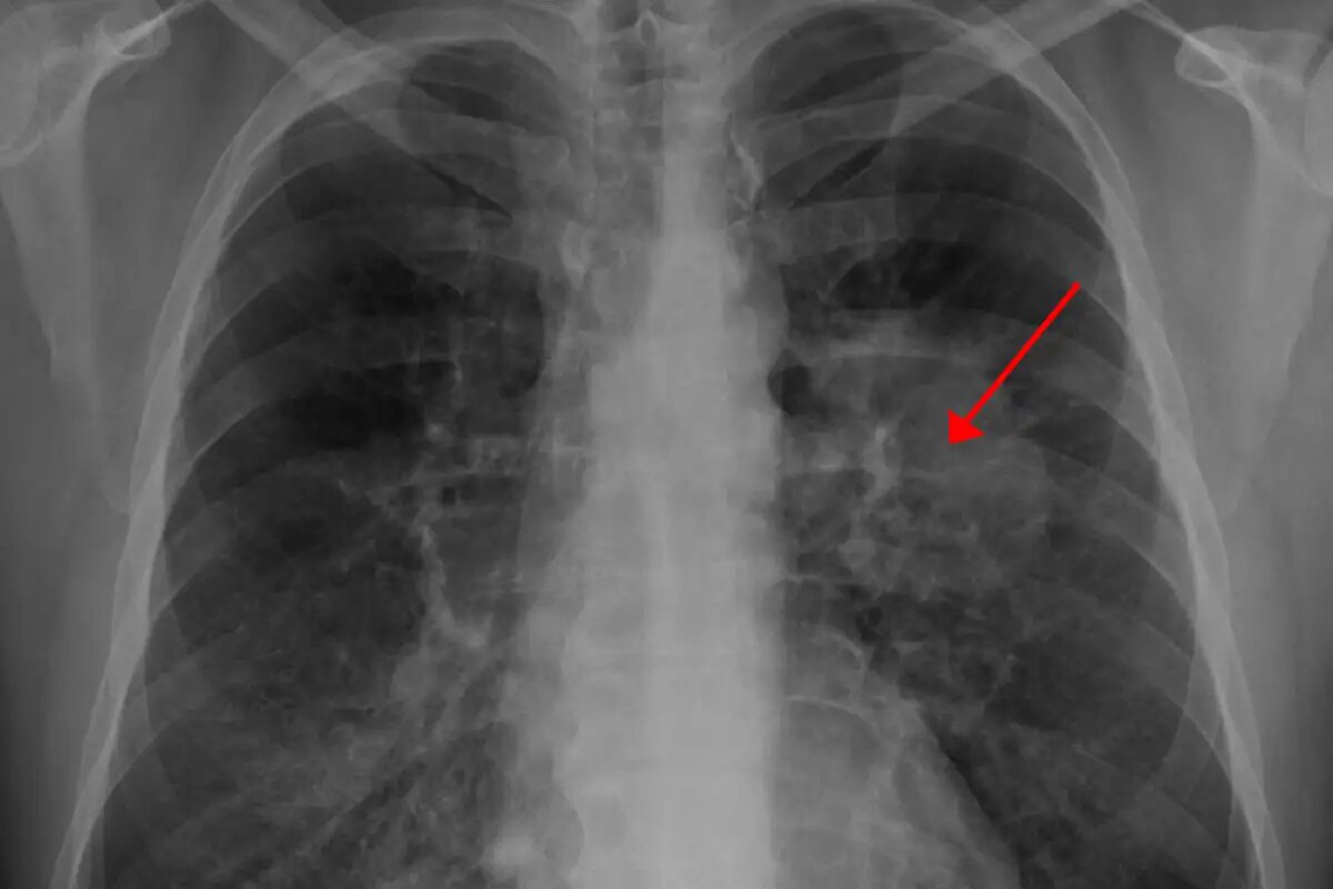
   Рентгенограмма грудной клетки, демонстрирующая опухоль в лёгких. © ru.wikipedia.org
Рентгенограмма грудной клетки, демонстрирующая опухоль в лёгких. © ru.wikipedia.org

В целом на долю аденокарциномы в 2022 году приходилось 45,6% случаев рака легких в мире среди мужчин и 59,7% случаев рака легких среди женщин. В 2020 году соответствующие показатели составляли 39,0% и 57,1%. При этом около 200 тысяч случаев аденокарциномы были связаны с воздействием загрязнения воздуха.

Исследование показало, что наибольшее количество случаев аденокарциномы, связанных с загрязнением воздуха, было обнаружено в Восточной Азии, особенно в Китае.

В то время как показатели заболеваемости раком легких среди мужчин в целом снизились в большинстве стран за последние 40 лет, показатели среди женщин, как правило, продолжают расти. Современные тенденции свидетельствуют о том, что, хотя на долю мужчин по-прежнему приходится большинство случаев рака легких (около 1,6 миллиона в 2022 году), разрыв между показателями заболеваемости раком легких у мужчин и женщин сокращается, и в 2022 году рак легких был диагностирован примерно у 900 тысяч женщин.

В 2023 году в Великобритании число женщин, у которых диагностирован рак легких, впервые превысило число мужчин, что побудило женщин проявлять такую же бдительность в отношении этого заболевания, как и в отношении рака молочной железы.