Найти в Дзене
SmartLearn

Красивый случай грибовидного микоза🍄

🤚 Грибовидный микоз - одна из наиболее частых разновидностей Т-клеточной лимфомы кожи (ТКЛК). В целом, он относительно не агрессивен и на ранних стадия средняя выживаемость пациентов составляет ~12 лет. 👴👵 Возникает заболевание в основном у людей 55-60 летнего возраста и у мужчин в 2 раза чаще, чем у женщин. Это редкое заболевание, в патогенезе которого есть много белых пятен. Например, могут ли воспалительные дерматозы, такие как парапсориаз или атопический дерматит, переходить в ТКЛК или все-таки это несвязанные друг с другом заболевания. Также есть данные, что некоторые лекарственные препараты, микроорганизмы (золотистый стафилококк, вирус Эпштейна-Барр или цитомегаловирус), а также иммуносупрессия могут стать причиной развития ТКЛК.

-2

🔬 Морфологически грибовидный микоз характеризуется:

1️⃣ Наличием лимфоидных клеток, располагающихся цепочкой в базальном ряду эпидермиса (3 и более)

2️⃣ Повышенным количеством интраэпидермальных лимфоцитов при отсутствии спонгиоза = диспропорциональный эпидермотропизм

3️⃣ Наличием интраэпидермальных лимфоцитов, окруженных светлым перинуклеарным ободком

4️⃣ Внутриэпидермальным скоплением лимфоцитов – микроабсцессы Потрие

5️⃣ Размер эпидермальных лимфоцитов больше, чем дермальных

6️⃣ Фиброзом и/или отеком сосочковой части дермы.

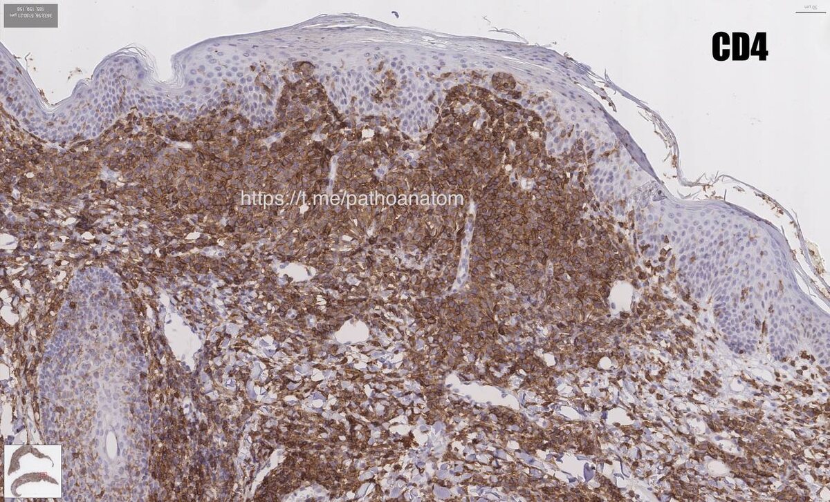
💉 Иммуногистохимические критерии:

1️⃣ Клетки инфильтрата состоят из T-хелперов – зрелых клеток памяти, которые имеют иммунофенотип: CD2+ CD3+ CD4+ CD5+ CD7+ CD8- CD45RO+

2️⃣ Диссоциация иммунофенотипа интраэпидермального и дермального лимфоидногокомпонента (со слабой экспрессией и утратой экспрессии части антигенов таких как: CD2, CD3, CD4, CD5, CD7 особенно характерно для поздних стадий)

3️⃣ Увеличение соотношения CD4/CD8 (более чем 8/1) - хорошо видно на фото 🔝

4️⃣ Потеря экспрессии лимфоцитами маркера CD7 более чем на 10%

-3

🩸 На ранних стадиях грибовидный микоз чаще всего лечат местными глюкокортикостероидами, а также ультрафиолетовым облучением или фотохимиотерапией. И только на поздних стадиях при распространении процесса, вовлечении лимфоузлов и других органов может быть использована лучевая или химиотерапия.

📂 Для большего погружения в тему оставляю ссылку на клинические рекомендации.

---------------------------------------------

Смотрите бесплатные марафоны по базовым медицинским предметам по ссылке.