Найти в Дзене
Войти
Международная Школа Цитологии и Медицинская Школа Инноваций
50 подписчиков
Подписаться
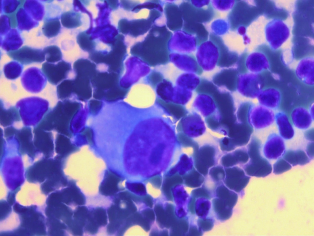
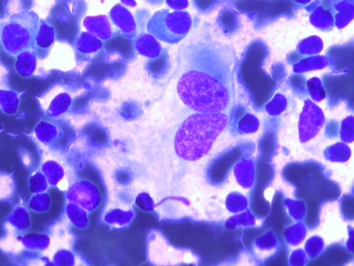
Метастаз меланомы в аксиллярный лимфоузел
23 мая
23 мая
~1 мин
Метастаз меланомы в аксиллярный лимфоузел.
Материал ТАБ. Объектив 100x.
#меланома #метастаз
Взгляните на эти темы
Медицина
Первая медицинская помощь
Найти тему
Домашняя аптечка
Гиппократ
Антибиотики
Противовирусные препараты
Здоровый сон
Болезни сердца и сосудов (Кардиология)
Профилактика заболеваний
Здоровье и медицина
Сон и сновидения
Народная медицина
Наталья Зубарева
Диабет
Гормональные препараты
Борьба с курением
Болезни зубов и десен
Инсульт
Противоаллергические препараты
Здоровье печени
Здоровье и медицина
3,97 млн интересуются
Следить за темой