Добавить в корзинуПозвонить
Найти в Дзене
Azamatus

Хемодектома

Хемодектома (каротидная хемодектома) - доброкачественная опухоль, развивающаяся в каротидном гломусе (тельце/синусе), однако в 5-30 % возможна её злокачественная трансформация (метастазирует в шейные лимфатические узлы и во внутренние органы - лёгкие, позвоночник и др.). Чаще хемодектомы встречаются в возрасте 40-50 лет, вне зависимости от половой принадлежности. Известны семейные (у членов одной семьи) и наследственные случаи. Чаще односторонняя и одиночная, но бывает и двусторонняя и множественная (при наследственной форме). Достоверная причина возникновения болезни не установлена. Факторы риска: хроническая гипоксия (кислородная/дыхательная недостаточность, нарушение иннервации сонных артерий), генетические нарушения. Опухоль обычно локализуется в области сонного треугольника шеи, опухоль растёт вокруг наружной или внутренней сонной артерии, стенозируя их (сужая их просвет). Пациенты могут предъявлять жалобы на наличие пальпируемой пульсирующей безболезненной опухоли в области
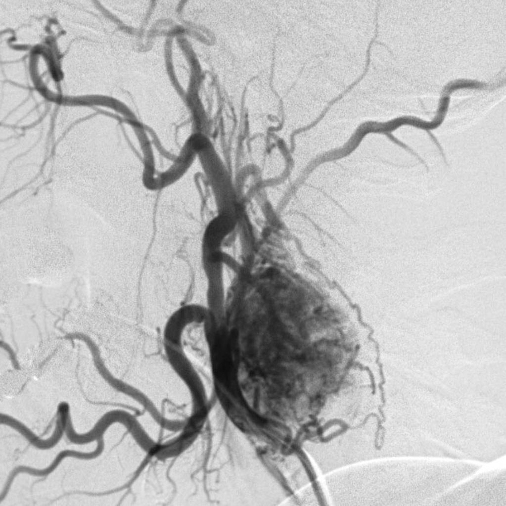
Ангиографическая картина хемодектомы каротидного синуса. Изображение из открытых источников.
Ангиографическая картина хемодектомы каротидного синуса. Изображение из открытых источников.

Хемодектома (каротидная хемодектома) - доброкачественная опухоль, развивающаяся в каротидном гломусе (тельце/синусе), однако в 5-30 % возможна её злокачественная трансформация (метастазирует в шейные лимфатические узлы и во внутренние органы - лёгкие, позвоночник и др.).

Чаще хемодектомы встречаются в возрасте 40-50 лет, вне зависимости от половой принадлежности. Известны семейные (у членов одной семьи) и наследственные случаи. Чаще односторонняя и одиночная, но бывает и двусторонняя и множественная (при наследственной форме).

Достоверная причина возникновения болезни не установлена. Факторы риска: хроническая гипоксия (кислородная/дыхательная недостаточность, нарушение иннервации сонных артерий), генетические нарушения.

Опухоль обычно локализуется в области сонного треугольника шеи, опухоль растёт вокруг наружной или внутренней сонной артерии, стенозируя их (сужая их просвет).

Пациенты могут предъявлять жалобы на наличие пальпируемой пульсирующей безболезненной опухоли в области сонного треугольника шеи (в проекции бифуркации сонной артерии), плотной или плотноэластической консистенции, с гладкой поверхностью, смещаемой в горизонтальном направлении. Характерен медленный рост опухоли.

Симптоматика: синдром каротидного синуса (головокружение, шум в ушах, усиление потоотделения, особенно при поворотах головы), головная боль, боль в зоне опухоли с иррадиацией в височную область, челюсть и надплечье с соответствующей стороны. При сдавлении опухолью черепно-мозговых нервов (чаще всего 10-й пары - блуждающего нерва) возникают жалобы на ощущение кома в горле, осиплость голоса, кашель, затруднение глотания (дисфагия). Дополнительные жалобы: общая слабость, быстрая утомляемость, бессонница.

Диагностика: При аускультации выявляется систолический шум. При надавливании на опухоль возможно кратковременное снижение артериального давления и появления бледности кожи. Основные инструментальные методы визуализации хемодектом шеи являются каротидная ангиография (рентгеновское исследование) и УЗ-допплерография/дуплексное сканирование. Также, применяются МСКТ и МРТ шеи с контрастированием. Биопсия опухоли не проводится из-за угрозы фатального кровотечения.

Ведущий радикальный метод лечения пациентов с каротидными хемодектомами - хирургический: полное удаление опухоли с пластикой/протезированием внутренней сонной артерии и предварительной эмболизацией сосудов опухоли.