Найти в Дзене
AMMIAC. МЕДИА

Мужчина разорвал горло: никогда не сдерживайте чих

Задержка чихания может увеличить давление в дыхательных путях в 20 раз, говорят эксперты. И некто - не стал исключением: мужчина проделал дыру в горле после того, как сдержал свой чих - это первый известный случай такого рода. Безымянный пациент из Шотландии, которому было за тридцать, пытался подавить приступ чиха, зажав нос и закрыв рот во время вождения автомобиля. Давление, вызванное этим естественным позывом, было настолько сильным, что пробило 0,08-сантиметровую дыру в дыхательных путях, после чего ему пришлось срочно ехать в больницу. Он испытывал "мучительную" боль, врачи слышали хрипы при дыхании, но при этом он еще мог говорить, глотать и дышать. Доктор Расадс Нисировс, помогавший неизвестному шотландцу, сказал, что этот случай должен послужить предупреждением для людей, чтобы они не пытались сдержать чих. "Всем стоит посоветовать не подавлять чих, зажав нос и держа рот закрытым, так как это может привести к перфорации трахеи", - сказал Нисировс. Мужчина страдал от аллергичес

Задержка чихания может увеличить давление в дыхательных путях в 20 раз, говорят эксперты. И некто - не стал исключением: мужчина проделал дыру в горле после того, как сдержал свой чих - это первый известный случай такого рода.

Безымянный пациент из Шотландии, которому было за тридцать, пытался подавить приступ чиха, зажав нос и закрыв рот во время вождения автомобиля. Давление, вызванное этим естественным позывом, было настолько сильным, что пробило 0,08-сантиметровую дыру в дыхательных путях, после чего ему пришлось срочно ехать в больницу.

Он испытывал "мучительную" боль, врачи слышали хрипы при дыхании, но при этом он еще мог говорить, глотать и дышать. Доктор Расадс Нисировс, помогавший неизвестному шотландцу, сказал, что этот случай должен послужить предупреждением для людей, чтобы они не пытались сдержать чих. "Всем стоит посоветовать не подавлять чих, зажав нос и держа рот закрытым, так как это может привести к перфорации трахеи", - сказал Нисировс.

Мужчина страдал от аллергического ринита - распространенного заболевания, при котором нос раздражается из-за аллергии, например на пыльцу. Это может вызвать чихание, зуд в носу, насморк или заложенность носа, покраснение и слезотечение глаз, кашель и зуд в области рта. Многие называют это сенной лихорадкой, от которой, страдает около 30% населения всего мира. Чихание вызывает повышение давления в дыхательных путях, а задерживание его может привести к тому, что давление увеличится примерно в 20 раз.

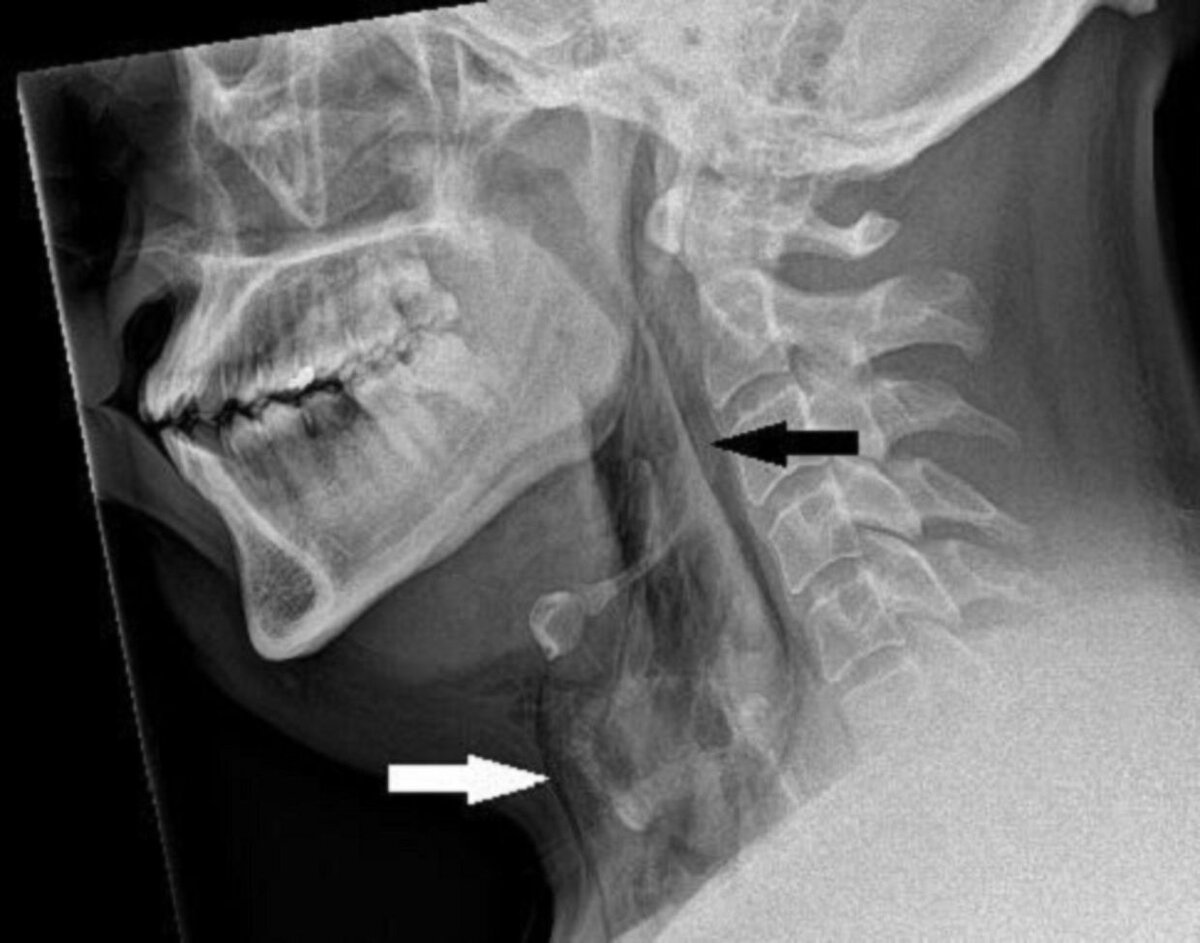
Случай с мужчиной, о котором сообщается в журнале BMJ Case Reports, - единственный известный случай, когда это вызвало разрыв горла. Когда он поступил в отделение неотложной помощи больницы, его шея опухла с обеих сторон, и он с трудом двигал ею. Рентген показал, что у него хирургическая эмфизема - когда воздух задерживается в самых глубоких тканях под кожей.

Компьютерная томография показала, что разрыв находится между третьей и четвертой костями шеи, а воздух скапливается в пространстве между легкими в груди. Врачи решили, что операция ему не нужна, но два дня наблюдали за ним в больнице, чтобы убедиться, что уровень кислорода остается стабильным.

Затем его выписали, назначили обезболивающие и препараты от поллиноза (сенной лихорадки). Разрыв в тканях затянулся за пять недель. "Консервативное лечение разрывов трахеи - это вариант для клинически стабильных пациентов, не нуждающихся в механической вентиляции, с небольшими разрывами. Пациенты должны находиться под тщательным наблюдением в стационаре в течение 24-48 часов на предмет ухудшения состояния", - сказал Нисировс.

В Дзене всё запрещают! Без цензуры мы публикуем у себя в Телеграм-канале!

Еще от Аммиак: