Найти в Дзене
D2D Expert

Хронический ателектаз верхнечелюстной пазухи, сопровождающийся хроническим синуситом.

Хронический ателектаз верхнечелюстной пазухи, известный также как синдром молчащего синуса, сопровождается гипоплазией верхнечелюстной пазухи, прогрессирующим энофтальмом, асимметрией лица.

Впервые клинические симптомы данной патологии описаны W. Montgomery в 1964 г., а сам термин «Silent sinus syndrome» («синдром молчащего синуса») был предложен спустя 30 лет C. Soparkar и соавт.

Заболевание считается достаточно редким. Согласно данным Н. Babar-Craig и соавт. за период с 1961 по 2010 г. в литературе представлено всего 105 наблюдений ателектаза верхнечелюстной пазухи. Возраст описанных пациентов колебался от 26 до 74 лет.

Этиология и патогенез данного состояния пока остаются предметом дискуссий, однако большинство авторов считают, что в случае первичного ателектаза уменьшение объема верхнечелюстной пазухи возникает за счет ее длительной гиповентиляции в результате анатомических нарушений структур остиомеатального комплекса, в частности крючковидного отростка.

Клинический случай:

Пациент Р., 55 лет. Обратился в клинику с жалобами на головную боль.

При проведении МРТ головного мозга было выявлено:

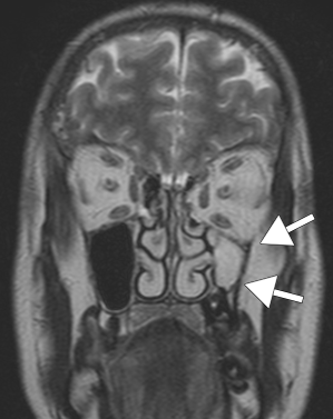
Рис 1. Т2 - ВИ в корональной плоскости. Левая верхнечелюстная пазуха уменьшена в объеме, отмечается втяжение ее передней, нижней и латеральной стенок. Тотальное снижение пневматизации пазухи за счет высокобелкового компонента.
Рис 1. Т2 - ВИ в корональной плоскости. Левая верхнечелюстная пазуха уменьшена в объеме, отмечается втяжение ее передней, нижней и латеральной стенок. Тотальное снижение пневматизации пазухи за счет высокобелкового компонента.
Рис. 2. Т2 - ВИ в корональной плоскости. Внутренняя стенка левой верхнечелюстной пазухи и крючковидный отросток смещены латерально; опущение дна левой глазницы.
Рис. 2. Т2 - ВИ в корональной плоскости. Внутренняя стенка левой верхнечелюстной пазухи и крючковидный отросток смещены латерально; опущение дна левой глазницы.
Рис 3. Т2 - ВИ в аксиальной плоскости. Смещение левого глазного яблока внутрь (энофтальм) в сравнении с правым.
Рис 3. Т2 - ВИ в аксиальной плоскости. Смещение левого глазного яблока внутрь (энофтальм) в сравнении с правым.
Рис. 4. Т2 - ВИ в корональной плоскости. У данного пациента отмечаются сопутствующие варианты развития фациальных синусов: уменьшение размеров левой лобной пазухи (обозначен контур пазухи, указана стрелкой), отсутствие пневматизации правой лобной пазухи.
Рис. 4. Т2 - ВИ в корональной плоскости. У данного пациента отмечаются сопутствующие варианты развития фациальных синусов: уменьшение размеров левой лобной пазухи (обозначен контур пазухи, указана стрелкой), отсутствие пневматизации правой лобной пазухи.

Диагностическими критериями хронического ателектаза верхнечелюстной пазухи являются:

  • уменьшение размера пазухи по сравнению с противоположной стороной,
  • понижение уровня дна орбиты,
  • латерализация внутренней стенки пазухи и решетчатой воронки, латеральное подворачивание средней носовой раковины.

При этом на разных этапах и стадиях заболевания пазуха может содержать патологический секрет или быть временно свободной от отделяемого и заполненной воздухом. Поэтому снижение пневматизации вовлеченной в процесс пазухи не является обязательным условием для постановки диагноза.

Остается пока неясным, когда начинает формироваться ателектаз у взрослых — в зрелом возрасте или ранее, в детстве, на этапе роста и формирования лицевого черепа.

Консервативное лечение при данной патологии неэффективно, инвазивные медицинские процедуры, такие как пункция верхнечелюстной пазухи, опасны вследствие низкого стояния орбитальной стенки и маленького просвета пазухи. В связи с этим, оториноларингологам необходимо соблюдать настороженность в отношении описанной патологии, особенно при выявлении гипоплазии или асимметрии околоносовых пазух.

Как видно из представленного случая, хронический ателектаз верхнечелюстной пазухи может быть диагностирован на МРТ. Также для диагностики данной патологии и выбора способа оперативного лечения широко используется МСКТ придаточных пазух носа.

Список литературы:

-6