Добавить в корзинуПозвонить
Найти в Дзене

Как правильно чистить зубы. Большой разбор щеток, паст, ирригаторов и зубных нитей

Если правильно чистить зубы и регулярно ходить на осмотры к стоматологу, то вам не грозит ни кариес, ни пародонтит, ни другие стоматологические проблемы. Научиться правильно чистить зубы легко, главное — запомнить несколько правил и выбрать подходящие инструменты. Сегодня мы, стоматологи клиники «Белая радуга», расскажем, как выбрать зубную щетку, пасту, ирригатор, нить и ершики, и научим правильно ими пользоваться. Чистка зубов состоит из нескольких этапов: Зубная щетка Для качественной гигиены желательно иметь две щетки: обычную и монопучковую. Первой вы очищаете поверхности зубов, а второй тщательно прорабатываете зубные контакты и труднодоступные места. Какие бывают зубные щетки По принципу действия щетки бывают мануальные и электромеханические. Вторые имеют несколько разновидностей: электрические, звуковые и ультразвуковые. В электромеханических щетках нет ничего плохого, если вы умеете ими пользоваться, а не просто водите по фронтальной поверхности зубов. Некоторые исследования п
Оглавление

Если правильно чистить зубы и регулярно ходить на осмотры к стоматологу, то вам не грозит ни кариес, ни пародонтит, ни другие стоматологические проблемы. Научиться правильно чистить зубы легко, главное — запомнить несколько правил и выбрать подходящие инструменты. Сегодня мы, стоматологи клиники «Белая радуга», расскажем, как выбрать зубную щетку, пасту, ирригатор, нить и ершики, и научим правильно ими пользоваться.

Чистка зубов состоит из нескольких этапов:

  1. Чистка зубов с помощью зубной щетки и пасты
  2. Чистка межзубного пространства с помощью зубной нити или ершика
  3. Удаление налета с помощью специального скребка для языка
  4. Массаж десен и удаление налета из труднодоступных участков с помощью ирригатора
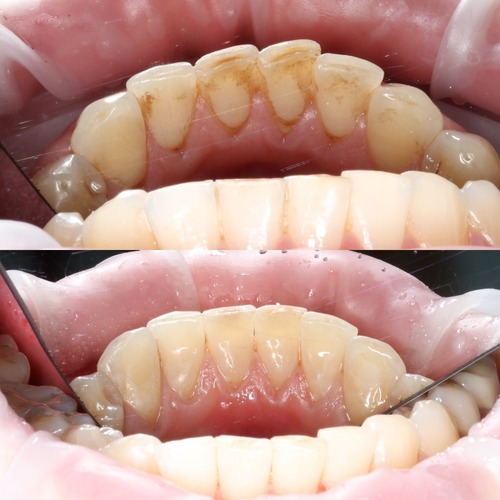
На зубах, деснах и языке скапливается налет из частиц пищи. Этим налетом питаются бактерии. Если налет вовремя не вычищать, то со временем он минерализуется и превращается в зубной камень, а затем провоцирует воспаление и кариес.
На зубах, деснах и языке скапливается налет из частиц пищи. Этим налетом питаются бактерии. Если налет вовремя не вычищать, то со временем он минерализуется и превращается в зубной камень, а затем провоцирует воспаление и кариес.

Зубная щетка

Для качественной гигиены желательно иметь две щетки: обычную и монопучковую. Первой вы очищаете поверхности зубов, а второй тщательно прорабатываете зубные контакты и труднодоступные места.

Монопучковая щетка Curaprox.
Монопучковая щетка Curaprox.

Какие бывают зубные щетки

По принципу действия щетки бывают мануальные и электромеханические. Вторые имеют несколько разновидностей: электрические, звуковые и ультразвуковые. В электромеханических щетках нет ничего плохого, если вы умеете ими пользоваться, а не просто водите по фронтальной поверхности зубов. Некоторые исследования показывают, что электрические зубные щетки удаляют даже больше зубного налета, чем обычные. Это хороший вариант для подростков, которым лень чистить зубы, или для пожилых родственников с ограниченной подвижностью.

Но у таких щеток много ограничений и противопоказаний. Не желательно использовать электрические зубные щетки, если у вас есть:

  • клиновидный дефект,
  • воспалительные процессы в полости рта,
  • повышенная чувствительность и стираемость зубной эмали,
  • кариозные пятна,
  • гингивит,
  • пародонтит,
  • пломбы,
  • ортопедические конструкции.

Как выбрать зубную щетку

Обычные мануальные зубные щетки подходят всем. При выборе щетки смотрите на жесткость, материал ворса, количество щетинок и размер головки.

Жесткость. Жесткость щетки подбирается индивидуально со стоматологом гигиенистом. Но для большинства людей подходят мягкие зубные щетки с одинаковой длиной щетинок — они лучше очищают труднодоступные места и не травмируют десневую ткань.

Материал ворса. Стоматологи рекомендуют использовать щетку из синтетического ворса, так как натуральный ворс является прекрасной средой для размножения патогенных микроорганизмов.

Количество щетинок. Чем больше щетинок — тем лучше. Оптимально, чтобы их было не менее 5000 штук. Одно движение такой щетки может быть эквивалентно по эффекту 4–5 движениям обычной щеткой.

Размер головки. Размер головки зубной щетки для взрослых бывает от 2 до 3,5 см. Лучше выбирать более компактные модели — ими проще доставать до труднодоступных мест.

Как правильно хранить зубную щетку

После применения щетку нужно промыть проточной водой, чтобы смыть остатки зубной пасты и пищи. Необходимости мыть щетку мылом нет. Если очень хочется, можно периодически обеззараживать щетку в растворе хлоргексидина. Главное — не кипятить и не класть в микроволновку.

Зубную щетку нужно хранить вертикально или с небольшим наклоном, чтобы капли воды стекали с щетинок и ручки. Важно, чтобы щетки не соприкасались с щетками других членов семьи и не обменивались бактериальной флорой.

Как часто менять зубную щетку

Обычно зубные щетки меняются раз в три месяца. Еще очень важно менять щетку после профессиональной гигиены у стоматолога: так вы не занесете в рот патогенную микрофлору, от которой так тщательно избавлялись на гигиене. По этой же причине важно менять зубную щетку после ОРВИ и других простудных заболеваний.

Мы в стоматологической клинике «Белая радуга» после каждой профессиональной чистки зубов дарим пациентам комплект из двух щеток Curaprox — обычную и монопучковую.
Мы в стоматологической клинике «Белая радуга» после каждой профессиональной чистки зубов дарим пациентам комплект из двух щеток Curaprox — обычную и монопучковую.

Зубная паста

Как выбрать зубную пасту

При выборе зубной пасты обращайте внимание на абразивность, то есть очищающую способность, которая измеряется в RDA. Чем выше абразивность, тем сильнее паста нарушает зубную эмаль и дентин. Для чувствительных зубов подходит зубная паста с абразивностью 20-50 RDA, для здоровых зубов — 50-80 RDA, для осветления эмали — 80-110 RDA. Грубоабразивная паста может значительно навредить даже здоровой эмали, не говоря уже о чувствительной. По этой причине людям с чувствительными зубами противопоказана отбеливающая зубная паста.

Если у вас есть чувствительность зубов, кровоточивость десен или другие стоматологические проблемы, то абразивность зубной пасты лучше подбирать со стоматологом.

При выборе зубной пасты обращайте внимание на вкус и текстуру. Вкус может быть любым, который вам нравится. Сейчас есть пасты как с нейтральным вкусом, так и самыми необычными — со вкусом шоколада, чая, сладостей и даже алкоголя. Зубные пасты с интересными вкусами выпускает Marvis. Текстура зубной пасты должна быть густая и однородная.

В некоторые зубные пасты добавляют антисептик, например, хлоргексидин — такую зубную пасту стоит использовать только после проведения хирургического вмешательства в полости рта и по назначению стоматолога.

Как правильно чистить зубы

При чистке используйте каплю зубной пасты, размером с горошину. Выдавливать ее на всю поверхность зубной щетки, как в рекламе, не нужно — это маркетинговый ход, чтобы люди тратили больше пасты. Мочить щетку перед нанесением пасты необязательно, так как современные зубные пасты и так хорошо пенятся.

Сейчас существует около двух десятков техник чистки зубов и мы все еще не знаем, какая из них эффективнее. Для взрослых чаще всего рекомендуют чистку зубов по Бассу.

  1. Возьмите щетку как ручку (не в кулак) и поставьте ее под углом 45 градусов к десне по вертикали, чтобы щетина вошла как бы под край десны. Вы это почувствуете. Половина щетки должна быть на коронке зуба, половина — на десне.
  2. Начинайте движения кистью, чтобы получались длинные овалы. Постепенно проходите по всем зубам с передней стороны, работая на краю десны.
  3. Не двигайте щетку локтем или предплечьем, только кистью. Должны получаться очень мягкие и плавные движения.
  4. Внутреннюю сторону зубов чистите так же, но щетку держите вертикально.
  5. После этого сделайте обычные горизонтальные движения по краям зубов и их фронтальным поверхностям.

Зубная нить (флосс)

В межзубном пространстве скапливаются остатки пищи, и если их не вычищать, то бактерии начинают ими питаться и образуется зубной налет, который со временем превращается в зубной камень и кариес. Зубной щеткой очистить межзубное пространство практически невозможно, поэтому нужно использовать зубную нить или ершики.

У зубных нитей есть противопоказания: хронические и острые воспаления десен, обширный кариес, импланты.

Как выбрать зубную нить

Зубная нить и флосс — это одно и то же. Суперфлосс — это зубная нить, которая состоит из трех частей: твердого кончика для чистки труднодоступных мест, фрагмента обычной нити и широкого нейлонового полотна с губчатой текстурой для чистки имплантатов, мостов и широких межзубных промежутков.

При выборе нужно прежде всего обращать внимание на материал и покрытие нити.

  • Материал. Большинство нитей делают из нейлона и синтетических полимеров — такие нити дешевые и бывают разных видов. Самыми прочными считаются зубные нити из тефлона — даже при высокой силе трения они не распадаются на волокна.
  • Покрытие нити. Некоторые зубные нити покрывают воском (вощеные зубные нити) — благодаря такому покрытию нить лучше проскальзывает между зубами. Невощеные зубные нити мягко трут эмаль зубов, из-за чего эффективнее очищают.

Зубные нити бывают тонкие и плотные, гладкие и волокнистые, с полимерным покрытием или без него, с однородным и переменным сечением — выбирайте ту, которая вам нравится или подберите вместе с врачом.

Как использовать зубную нить

Чтобы от флосса был эффект, в идеале пользоваться им нужно после каждого приема пищи. Обязательный минимум — хотя бы раз в день.

Для очищения межзубного пространства нужно вертикальным движением ввести нить в межзубный промежуток, а потом вывести, скользя сначала по одному, а потом по второму зубу. Участки, в которых нить проходит с сопротивлением между зубами, требуют особого ухода — именно они подвержены кариесу. Из-за анатомии зубного ряда зубную нить используют только между центральными зубами.

Ершики для зубов

Для очистки межзубных промежутков используются ершики — это такие маленькие щетки, которые имеют круговой ворс.

Расстояние между зубами у всех разное, поэтому самостоятельно правильно подобрать ершики для зубов не получится. Их подбирает стоматолог под каждую пару зубов с помощью специального зонда. Врач также покажет правильную технику чистки.

✅ Зубные ершики должны подходить по размеру, быть прочными и не вызывать аллергии. Выбирайте ершики Curaprox, Biorepair, Miradent, Pierrot, GUM, R.O.C.S. или Splat.
✅ Зубные ершики должны подходить по размеру, быть прочными и не вызывать аллергии. Выбирайте ершики Curaprox, Biorepair, Miradent, Pierrot, GUM, R.O.C.S. или Splat.

Ирригатор

Ирригатор — это установка, которая через носик подает под давлением тонкую струю воды и вымывает все, что не осилили щетки, зубная нить и ершики. Ирригатор не заменяет чистку зубов, а дополняет ее.

Как выбрать ирригатор

Ирригаторы бывают портативные и стационарные. Стационарные работают от сети, поэтому для их работы нужна розетка рядом с раковиной. Портативные работают на аккумуляторе — они более компактные и их удобно брать в поездку. Некоторые люди перестают пользоваться стационарными ирригаторами, потому что им лень возиться с проводами и резервуаром.

Выбирайте модель, в которой можно регулировать мощность потока. Начинать лучше с минимальной мощности и постепенно ее увеличивать, чтобы десны адаптировались.

Обратите внимание на количество насадок — если их несколько в комплекте, то можно купить один ирригатор на всю семью. А вот разнообразие не так важно — большинство людей пользуются одной классической насадкой.

Как пользоваться ирригатором

Ирригатор вымывает только то, что не прилипло к зубу. Поэтому сначала нужно удалить зубной налет щетками и зубной нитью, а уже все, что осталось, — ирригатором.

Чтобы от ирригатора был эффект, нужно расположить его носик вплотную к обрабатываемой поверхности под углом в 90 градусов. Если расстояние от сопла ирригатора до поверхности будет больше 1 см — эффекта не будет. Также не нужно направлять струю под десну, иначе частицы пищи просто забьются туда водой.

Воду можно использовать любую, даже из крана — главное, чтобы было комфортно по температуре. Для чувствительных зубов используйте теплую воду. Чтобы придать дыханию свежести, можно добавить специальный ополаскиватель для ирригаторов. Обычный использовать не стоит из-за образования пены, которая снижает мощность напора.

При неправильном использовании или слишком сильном давлении водяной струи ирригатор может травмировать слизистую десен. Не используйте ирригатор

  • при куперозе (болезнь, при которой истончаются стенки сосудов),
  • при травмах слизистой и новообразованиях в ротовой полости,
  • при заболеваниях пародонта в острой стадии,
  • при хронической кровоточивости десен,
  • при наличии кардиостимулятора,
  • после инфаркта или инсульта,
  • после операций на деснах.

Скребок для языка

На языке также скапливается патогенная микрофлора и образуется налет. Если не чистить язык, то вся гигиена зубов идет насмарку: микробиота, которую вы усердно очищали с поверхности зубов, быстро вернется обратно.

Язык можно чистить отдельной щеткой или специальной насадкой на щетке. Но из-за небольшой площади водить ими придется чаще, что может вызвать рвотный рефлекс. Скребком для языка пользоваться удобнее и эффективнее.

 ✅Выбирайте двойные скребки для языка от Curaprox или TePe.
✅Выбирайте двойные скребки для языка от Curaprox или TePe.

Скребком лучше пользоваться каждый день после основной чистки, проходя по языку буквально три-четыре раза.

Ополаскиватель для рта

Ополаскиватели для полости рта бывают косметические и лечебные. Косметические ополаскиватели освежают полость рта и оказывают также укрепляющее и профилактическое действие на зубную эмаль. Лечебные ополаскиватели назначает врач для лечения десен, зубов и горла. Пользоваться такими ополаскивателями постоянно нельзя, так как они убивают нормальную микрофлору во рту.

Как выбрать ополаскиватель для рта

Компоненты, содержащиеся в каждом из средств, могут отличаться в зависимости от того, для каких целей изготовлен конкретный ополаскиватель. В состав ополаскивателя могут входить антисептики (триклозан, хлоргексидин), соединения фтора, экстракты растений, подсластитель ксилит. А вот SLS, парабенов и спирта в составе хорошего ополаскивателя для рта быть не должно. Эти вещества повреждают зубы и слизистые.

✅ Выбирайте пенки Water Dent — они восстанавливают среду до слабощелочной.
✅ Выбирайте пенки Water Dent — они восстанавливают среду до слабощелочной.

Как использовать ополаскиватель для рта

Ополаскиватель для рта — это не обязательная программа при чистке зубов, но и вреда он не принесет, его можно использовать каждый день. Он хорош днем после обеда, чтобы избавиться от запаха и восстановить кислотность среды после еды и особенно после кофе.

Полоскать рот обычной водой после ополаскивателя не нужно, так как вода смоет ополаскиватель с поверхности зубов и слизистых в полости рта, что сведет на нет положительный антибактериальный эффект.

Как всем этим пользоваться: техника правильной чистки зубов

Может показаться, что чистка зубов с таким комплектом будет занимать вечность, но это не так — весь цикл занимает по 5 минут утром и вечером, а взамен вы получаете здоровые зубы на всю жизнь. Вот что нужно делать.

  • Утром — обычная и монопучковая щетка, зубная нить, ершики, скребок для языка. Утром зубы лучше чистить после завтрака, чтобы удалить после него остатки пищи и ходить до обеда с чистым ртом и свежим дыханием. Можно предварительно освежить зубы до завтрака щетками, а после — использовать зубную нить и ершики.
  • Вечером — порядок аналогичный, только в конце еще нужно использовать ирригатор, чтобы удалить все, что не получилось вычистить щеткой, нитью и ершиком.

После гигиены нужно хорошо помыть щетки, ершики и скребок от остатков пищи.

-11

Подобрать все инструменты в одиночку достаточно сложно и лучше посоветоваться с врачом-гигиенистом. Он проведет осмотр, подберет подходящие инструменты и отработает с вами технику правильной чистки зубов.

Записаться на прием в стоматологию «Белая радуга» можно на сайте belayaraduga.ru, в приложении или по телефону +7 499 68 16 230.