Найти в Дзене

Экзостоз челюсти – это доброкачественное костное разрастание, возникающее на поверхности челюстной кости. Он представляет собой патологическое увеличение объема костной ткани, которое может проявляться в виде одиночных или множественных образований различной формы и размера. Экзостозы могут развиваться как на верхней, так и на нижней челюсти, чаще всего встречаются в области альвеолярного отростка.

Какие причины возникновения экзостозов?

Причины возникновения экзостозов до конца не изучены, однако существуют несколько основных теорий и факторов, которые могут способствовать их развитию:

1. Генетическая предрасположенность. Некоторые исследования указывают на то, что склонность к образованию экзостозов может передаваться по наследству. Это подтверждается случаями семейного анамнеза, когда у нескольких членов одной семьи наблюдаются подобные костные разрастания.

2. Травмы и повреждения. Повторяющиеся микротравмы или значительные травмы челюсти могут стимулировать избыточный рост костной ткани, что приводит к формированию экзостозов. Например, хроническое давление ортодонтической аппаратуры или неправильная установка зубных протезов может спровоцировать такие изменения.

3. Хронические воспалительные процессы. Длительные воспаления в тканях пародонта (пародонтит), периодонтальные абсцессы или другие инфекционные заболевания ротовой полости могут привести к изменениям в костной структуре, включая образование экзостозов.

4. Дисплазии и аномалии развития. Нарушения нормального роста и развития костей, такие как фиброзная дисплазия или остеома, могут сопровождаться образованием экзостозов. Эти состояния часто связаны с нарушением минерализации костной ткани.

5. Ортопедические факторы. Неправильный прикус, скученность зубов или неправильное положение отдельных зубов могут создавать постоянное механическое воздействие на определенные участки челюсти, что способствует образованию экзостозов.

6. Метаболические нарушения. Дефицит витаминов и минералов, таких как кальций и витамин D, а также эндокринные расстройства (например, гиперпаратиреоз) могут влиять на процесс формирования и ремоделирования костной ткани, способствуя возникновению экзостозов.

7. Воздействие внешних факторов. В некоторых случаях экзостозы могут возникать под влиянием длительного воздействия определенных химических веществ или радиационного облучения. Однако эти случаи достаточно редки.

Важно отметить, что в каждом конкретном случае может действовать комбинация различных факторов, поэтому подход к диагностике и лечению экзостозов должен быть индивидуальным.

Какие методы диагностики экзостозов?

Диагностика экзостозов включает комплекс методов, направленных на выявление наличия костных разрастаний, оценку их размеров, локализации и влияния на окружающие структуры. Основные методы диагностики включают:

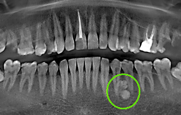
1. Рентгенологическое исследование

· Прицельная рентгенограмма (ортопантомограмма). Позволяет получить обзорную картину обеих челюстей и выявить наличие экзостозов. Этот метод наиболее распространен и доступен в стоматологической практике.

· Компьютерная томография (КТ). Предоставляет трехмерное изображение челюсти, что помогает точно определить размер, форму и расположение экзостоза относительно других структур. КТ особенно полезна при планировании хирургического вмешательства.

· Магнитно-резонансная томография (МРТ). Используется реже, чем КТ, но может быть полезной для оценки мягких тканей вокруг экзостоза, особенно если есть подозрение на воспаление или опухоль.

2. Физикальное обследование. Включает осмотр и пальпацию пораженной области. Врач-стоматолог может обнаружить выступающую часть кости через слизистую оболочку полости рта. Это особенно актуально для крупных экзостозов, которые могут прощупываться под деснами.

3. Лабораторные анализы. В редких случаях, когда есть подозрение на системные заболевания или метаболические нарушения, могут проводиться лабораторные тесты крови для определения уровня кальция, фосфора, витамина D и гормонов щитовидной железы.

4. Биопсия. Если есть сомнения в природе образования (доброкачественная или злокачественная опухоль), может потребоваться биопсия с последующим гистологическим исследованием. Биопсия позволяет подтвердить диагноз и исключить злокачественные новообразования.

5. Консультация специалистов. В зависимости от клинической картины и результатов обследования, пациент может быть направлен к другим специалистам, таким как челюстно-лицевой хирург, онколог или эндокринолог, для дополнительного обследования и консультации.

6. Эндоскопическое исследование. В некоторых случаях, особенно при подозрении на поражение верхнечелюстной пазухи или носовых ходов, может использоваться эндоскопия для визуализации внутренних структур.

В целом, диагностика экзостозов начинается с клинического осмотра и рентгенологического исследования, после чего, при необходимости, назначаются дополнительные методы для уточнения диагноза и планирования лечения.

Как лечить экзостозы?

Лечение экзостозов зависит от их размера, локализации, симптоматики и влияния на качество жизни пациента. В общем подходе выделяют два направления: консервативное наблюдение и хирургическое вмешательство.

1. Консервативное наблюдение. Если экзостоз небольшой, не вызывает дискомфорта и не мешает функциям жевания, речи или дыхания, врач может принять решение за динамическое наблюдение. Пациенту рекомендуется регулярно проходить осмотры у стоматолога для контроля за состоянием экзостоза. Важно следить за тем, чтобы он не увеличивался в размерах и не вызывал осложнений.

2. Хирургическое лечение. Хирургическое удаление экзостоза показано в следующих случаях:

· Симптоматический экзостоз. Если экзостоз вызывает боль, дискомфорт, нарушает функции жевания или речи, препятствует установке зубных протезов или имплантатов, то его удаление становится необходимым.

· Косметический дефект. В случае значительного косметического дефекта, вызванного экзостозом, особенно если он влияет на внешний вид лица, может быть принято решение о его удалении.

· Подозрение на злокачественность. Если есть подозрения на малигнизацию (перерождение в злокачественную опухоль), экзостоз подлежит немедленному удалению с последующей гистологией.

Этапы хирургического удаления экзостоза:

· Подготовка к операции. Перед операцией проводятся все необходимые диагностические процедуры (рентген, КТ, анализ крови). Пациент проходит консультацию анестезиолога для выбора метода обезболивания.

· Операция. Операцию проводят под местной или общей анестезией, в зависимости от сложности и объема вмешательства. Хирург делает разрез слизистой оболочки над экзостозом, обнажая костное образование. Затем экзостоз аккуратно иссекается с помощью специальных инструментов (бормашина, фрезы).

· Закрытие раны. После удаления экзостоза рану ушивают, накладывают швы и, при необходимости, устанавливают дренаж для предотвращения скопления жидкости.

· Послеоперационный уход. Пациенту назначают антибиотики и противовоспалительные препараты для профилактики инфекций и уменьшения отека. Швы снимают через 7-10 дней после операции. В течение этого времени необходимо соблюдать гигиену полости рта и избегать твердой пищи.

3. Реабилитация. После операции пациенту рекомендуется ограничить физические нагрузки, избегать горячих напитков и пищи, а также тщательно следить за чистотой полости рта. Полное восстановление занимает около 2-4 недель, в зависимости от индивидуальных особенностей организма.

4. Профилактика рецидивов. Для предотвращения повторного появления экзостозов следует избегать травм челюсти, своевременно лечить воспалительные заболевания полости рта и контролировать состояние здоровья зубов и десен. Регулярные визиты к стоматологу помогут вовремя выявить возможные проблемы и принять меры для их устранения.

Таким образом, выбор метода лечения экзостозов зависит от многих факторов, и окончательное решение принимается врачом на основе индивидуальной клинической ситуации каждого пациента.

Уважаемые пациенты!

Мы рады пригласить вас в наш стоматологический центр «Лаки Смайл» на Таганке! У нас вы можете пройти полный спектр услуг по диагностике и лечению заболеваний полости рта, включая такое специфическое заболевание, как экзостоз челюсти.

Наши высококвалифицированные специалисты обладают многолетним опытом работы и используют самые современные технологии и оборудование для обеспечения качественного ухода за вашими зубами и полостью рта. Мы предлагаем индивидуальный подход к каждому пациенту, учитывая особенности вашего здоровья и пожелания.

Если вы заметили какие-либо симптомы, связанные с экзостозом челюсти, такие как уплотнение или выпуклость на деснах, дискомфорт при жевании или разговоре, мы настоятельно рекомендуем вам обратиться к нам для консультации и осмотра. Наши врачи проведут тщательную диагностику, включающую рентгенографию и, при необходимости, компьютерную томографию, чтобы точно определить характер и степень поражения.

После постановки диагноза наши специалисты предложат вам оптимальный план лечения, который может включать как консервативные методы наблюдения, так и хирургическое вмешательство. Все процедуры выполняются с использованием современных анестезирующих средств, что гарантирует минимальный дискомфорт и быстрое восстановление.

Не откладывайте заботу о своем здоровье! Запишитесь на прием уже сегодня и убедитесь в профессионализме наших врачей и высоком уровне обслуживания в центре «Лаки Смайл».

Более подробно о наших ценах https://ls-stom.ru/czenyi