Найти в Дзене
Danil Viktorovich Bogomolov

Мигрень и аномалия Киммерли

Аномалия Киммерли (Киммерле) — это анатомическая особенность строения первого шейного позвонка (атланта, C1).

В норме позвоночная артерия проходит по борозде на дуге атланта и свободно входит в полость черепа, ничем не сдавливаясь. При аномалии Киммерли над этой бороздой формируется костная дужка (мостик), которая создает дополнительное костное кольцо или канал для позвоночной артерии.

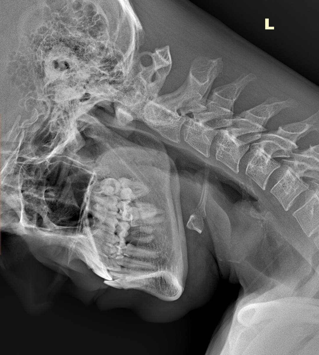
Аномалия Киммерли. Рентген - боковой снимок с согнутой шеей
Аномалия Киммерли. Рентген - боковой снимок с согнутой шеей

Это сужает пространство для артерии и может потенциально приводить к ее сдавлению.

Как аномалия Киммерли может влиять на мигрень и головную боль?

Связь не прямая, а опосредованная через механизм вертебробазилярной недостаточности — ухудшения кровоснабжения в бассейне позвоночных артерий.

1. Синдром позвоночной артерии: Костный мостик создает анатомические предпосылки для сдавления артерии. Это сдавление особенно выражено при:

  · Поворотах и наклонах головы.

  · Длительном неудобном положении шеи (сон, работа за компьютером).

  · Мышечном спазме в шейном отделе.

2. Ухудшение кровотока и микроциркуляции, сдавление артерии приводит к:

  · Снижению притока крови к задним отделам мозга (затылочным долям, мозжечку, стволу мозга).

  · Нарушению венозного оттока.

  · Раздражению нервного сплетения вокруг артерии, что может запускать болевые сигналы.

3. Провокация мигренозного приступа: У людей, предрасположенных к мигрени, указанные выше сосудистые и неврологические нарушения могут выступать триггером (провокатором):

  · Ухудшение кровоснабжения мозговых структур может стать тем "спусковым крючком", который запускает каскад биохимических реакций, ведущих к мигренозной ауре и боли.

  · Часто боль при этом имеет специфический характер.

Характерные черты головной боли при аномалии Киммерли (часто сочетаются с мигренью):

· Локализация: Затылочная область, может распространяться на виски, темя (боль "снимает шлем").

· Характер: Пульсирующая, давящая, распирающая.

· Провокация: Резкие или неловкие движения шеей, длительное статическое напряжение.

· Сопутствующие симптомы (ключевой признак, что дело в позвоночной артерии):

 · Головокружение, неустойчивость (особенно при поворотах головы).

 · Шум, звон в ушах (тиннитус), ощущение заложенности.

 · Мелькание "мушек", "пелены", "искр" перед глазами (зрительные нарушения).

 · Внезапные падения без потери сознания (дроп-атаки).

 · Редко: приступы внезапной слабости в конечностях.

Аномалия Киммерли. Рентген снимок в боковой проекции.
Аномалия Киммерли. Рентген снимок в боковой проекции.

Важно понять: Наличие аномалии Киммерли на снимке еще не означает, что она является причиной вашей мигрени. Это очень распространенная находка (есть у ~30% людей), и у большинства она протекает бессимптомно. Ее влияние нужно доказывать через обследования.

Аномалия Киммерли.
Аномалия Киммерли.

Что делать? Диагностика!!!

· Рентгенография шейного отдела или КТ — собственно, выявляют костную аномалию.

· УЗДГ (УЗДС) сосудов шеи и головы с функциональными пробами — ключевое исследование. Оно покажет, есть ли реальное снижение кровотока в позвоночных артериях при поворотах головы, и насколько оно значимо.

· МРТ головного мозга и шейного отдела — для исключения других причин боли (грыжи, протрузии, которые сами по себе могут быть причиной) и оценки состояния мозговых структур.