Найти в Дзене
Кардиоблог

5 фактов о тромбоэмболии легочной артерии (ТЭЛА)

Возобновляю серию страшилок о человеческих болезнях (как выяснилось, это самая популярная тематика на канале). Итак, сначала - “не академическое” определение.

Тромбоэмболия легочной артерии (ТЭЛА) - это состояние, когда свободно перемещающийся по венозному руслу тромб (тромбэмбол) перекрывает (эмболизирует) ствол или одну из ветвей легочной артерии.

-2

Для того, чтобы осознать, как тромб из вены попадает в артерию, надо понимать, что вены приносят кровь к сердцу, а артерии уносят кровь от сердца. Правый желудочек собирает венозную кровь из большого круга и выталкивает эту же (венозную) кровь в малый круг - то есть в легочную артерию. Если на пути тока крови встает тромбэмбол - в организме запускается ряд реакций, часто заканчивающихся летальным исходом. Переходим к фактам.

У ТЭЛА нет строго специфических клинических признаков, позволяющих без специального обследования сказать, что это вот - оно. Боль в груди, кровохаркание, одышка, учащенное сердцебиение: любой студент 3 курса медицинского колледжа назовет вам штук 5 болезней, при которых есть 1-2 из этих признаков. Отсюда часто - поздняя (иногда - посмертная) диагностика и лечение “масок” ТЭЛА. За 20 лет работы я нашел только одно проявление, специфичное для любой острой патологии сердца и сосудов: это внезапное ограничение переносимости ранее хорошо переносимых физических нагрузок. Вот пациент вчера бегал кроссы, а сейчас задыхается после 10 шагов по ровной местности, значит что-то не так.

ТЭЛА - всего лишь осложнение патологического процесса, протекающего в организме. Для образования тромба необходимо 3 фактора:

  • застой крови (переломы костей с длительной иммобилизацией, долгий постельный режим, опухоль, сдавливающая вену)
  • повышение свертываемости крови (раковая интоксикация, изменение гормонального фона, антифосфолипидный синдром, прием некоторых препаратов)
  • повреждение сосудистой стенки (внутривенные инъекции, опухоли, наследственные аномалии строения)

Надеюсь, обратили внимание на слово “рак” и его синонимы, звучащие практически в каждом пункте. Да, ТЭЛА часто - онкоассоциированное заболевание. В нашем отделении если мы не видим явной обратимой причины ТЭЛА у пациента мы в обязательном порядке проводим минимальный онкопоиск.

-3

То есть, причина у ТЭЛА есть всегда, но не всегда у нас получается выявить ее источник (так называемая криптогенная ТЭЛА) и еще реже получается на этот источник повлиять. Поэтому ТЭЛА делят на “спровоцированные” - когда есть явная и обратимая причина тромбообразования, после устранения которой рецидив ТЭЛА маловероятен (например, нам удалось активизировать длительно лежащего больного) и “не спровоцированные” - при различных наследственных коагулопатиях. Разница в том, что в одном случае лечение длительное, в другом - пожизненное. С соответствующими рисками от применения противосвертывающих препаратов.

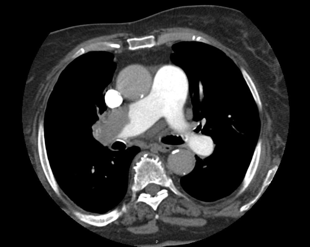
Повышенный Д-димер не говорит ни о чем (анализ, получивший популярность в народе после пандемии COVID-19). А вот нормальный - о том, что в настоящий момент в организме тромбы не образуются. Что не означает, что они не захотят образоваться завтра (или сегодня к вечеру). Поэтому любая ТЭЛА должна быть подтверждена визуализацией. Золотой стандарт - внутривенное болюсное контрастирование легочной артерии (КТ-ангиография). Без этого любое подозрение на ТЭЛА является лишь подозрением (исключение - ургентные случаи, когда больной не в состоянии доехать до обследования, но это отдельная долгая история).

-4

В лечении ТЭЛА главное - вовремя правильно поставить диагноз. В настоящее время существует достаточно препаратов, снижающих свертываемость крови и позволяющих существенно сократить сроки госпитализации, а часть больных невысокого риска лечить амбулаторно. Но ТЭЛА сложно заподозрить (смотри пункт 1), еще сложнее - выявить ее причину, ведь в здоровом организме тромбы образовываться не должны. Если удалось справиться с диагностикой, то ни какая вундервафля не нужна: уменьшение размеров тромбов вплоть до полного их растворения - лишь вопрос времени.

Это были 5 фактов о тромбоэмболии легочной артерии. В настоящее время наше отделение целенаправленно занимается сложными случаями ТЭЛА. Если знаете что-то интересное/спорное о данном заболевании - пишите в комментариях вместе с пожеланиями относительно следующего поста.

Всем здоровья. С уважением, А. В.