Найти в Дзене
Телеканал 360

Новорожденного с редкой грыжей спинного мозга спасли в медцентре Рошаля

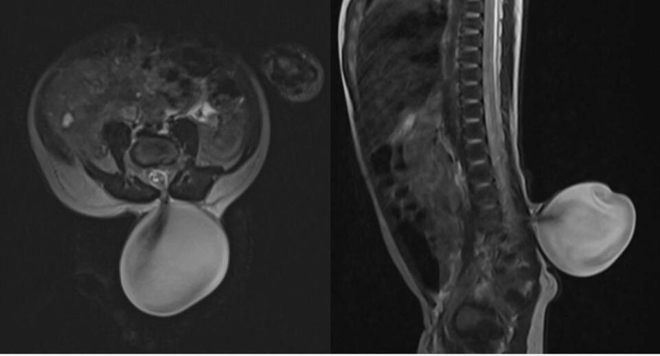
В Детском клиническом центре имени Л. М. Рошаля спасли новорожденного ребенка с редкой грыжей спинного мозга. Юному пациенту провели магнитно-резонансную томографию, которая подтвердила врожденный порок развития позвоночника — менингомиелоцеле.

   Пресс-служба Министерства здравоохранения Московской области
Пресс-служба Министерства здравоохранения Московской области

Патология способна привести к значительному ослаблению мышц ног. Специалисты после обследования ребенка приняли решение о проведении операции.

«Сперва мы убедились, что спинной мозг зафиксирован к куполу грыжи. После аккуратно отделили спинной мозг от грыжевого мешка и восстановили нормальную анатомию позвоночного канала. Операция длилась два часа и прошла успешно, без осложнений», — пояснил заведующий отделением нейрохирургии Аслан Текоев.

Новорожденный быстро восстановился после вмешательства. Уже на седьмые сутки его выписали.

Автор: Елизавета Теличенко