Добавить в корзинуПозвонить
Найти в Дзене

Вейп. Волк в овечьей шкуре

Среди пациентов, приходящих ко мне на приём, приходится видеть людей, которые, употребляя вейп, не считают себя курильщиками. В их понятии вейп – это нечто безобидное, имеющее мало общего с курением обычных сигарет. Ароматный бесцветный дым, приятный запах, иногда даже отсутствие никотина в жидкости – что тут общего с курением? В действительности курение электронных сигарет – это опасная привычка, причём по некоторым параметрам она даже хуже курения обычного табака. Кратко приведу основные аргументы, которые могут заставить вас пересмотреть отношение к вейпам, если вы всё ещё думаете, что они безопасны для здоровья: В медицинской литературе всё чаще появляются сообщения о так называемой болезни вейперов, для неё уже появился термин-аббревиатура – EVALI. Болезнь эта возникает у пациентов, употребляющих вейп, причём патогенез её изучен далеко не полностью. Предполагают, что накопление в лёгочной ткани масляных компонентов от вейпов (а жидкости для них содержат, например, ацетат жирораств

Среди пациентов, приходящих ко мне на приём, приходится видеть людей, которые, употребляя вейп, не считают себя курильщиками. В их понятии вейп – это нечто безобидное, имеющее мало общего с курением обычных сигарет. Ароматный бесцветный дым, приятный запах, иногда даже отсутствие никотина в жидкости – что тут общего с курением?

В действительности курение электронных сигарет – это опасная привычка, причём по некоторым параметрам она даже хуже курения обычного табака.

Кратко приведу основные аргументы, которые могут заставить вас пересмотреть отношение к вейпам, если вы всё ещё думаете, что они безопасны для здоровья:

  • Зависимость от них формируется плавно и незаметно, но, как правило, потребление никотина при использовании вейпов даже больше, чем при курении обычных сигарет. Суммарная суточная продолжительность их использования обычно превышает время курения табака, что связано с отсутствием ограничений по их использованию – вейп можно использовать даже в тех помещениях, где курение табака запрещено. Вторая причина – ароматный кажущийся безобидным пар снижает возможность самоконтроля. Если количество выкуренных сигарет несложно подсчитать, то вейпер просто не отдаёт себе отчёт в количестве потреблённого вещества.
  • Смолы в вейпах действительно отсутствуют, но формальдегид, ацетальдегид, а также тяжёлые металлы могут вызывать поражение органов и систем, вызывая онкологический процесс.
  • Никотин, попадающий в организм из вейпов, ничуть не менее вреден, чем никотин из сигарет. Учитывая, что суточная продолжительность использования вейпов обычно выше, чем сигарет, влияние этих устройств на сердечно-сосудистую систему более выраженное. Это не говоря уже о том, что никотин, содержащийся в вейпах, находится в более доступной форме, что ускоряет его всасывание, а значит, и поражающий эффект.
  • Проведены исследования, которые показали, что нередко жидкости для вейпов содержат больше никотина, чем указанный на этикетке уровень. Это снижает контроль над потреблением этого опасного вещества и в некоторых случаях ускоряет формирование зависимости. Есть случаи выявления никотина в жидкостях, в которых этот компонент не фигурировал на этикетке.
  • Если с табачными изделиями всё понятно (всё-таки их воздействие на организм исследуется много лет), то вейпы в современном виде используются лишь с начала ХХI века. И болезни, возникающие от их использования, лишь начинают изучаться.

Этого вопроса надо коснуться немного подробнее.

В медицинской литературе всё чаще появляются сообщения о так называемой болезни вейперов, для неё уже появился термин-аббревиатура – EVALI.

Болезнь эта возникает у пациентов, употребляющих вейп, причём патогенез её изучен далеко не полностью. Предполагают, что накопление в лёгочной ткани масляных компонентов от вейпов (а жидкости для них содержат, например, ацетат жирорастворимого витамина Е) приводит к образованию очагов в лёгких по типу матового стекла. Именно сходные по виду очаги образуются при пневмонии, осложнившей новую вирусную инфекцию. Так вот, поражение лёгких с формированием таких очагов может вызвать тяжёлую дыхательную недостаточность. Бороться с этой болезнью пока не научились. Есть данные, что отказ от употребления вейпов может улучшить состояние пациентов, но это бывает не всегда. Зафиксированы летальные исходы на фоне этого заболевания, правда, в некоторых случаях помогает введение стероидных гормонов.

Заболевание и так протекает достаточно тяжело, а учитывая плохую информированность врачей, существует немалый риск врачебной ошибки.

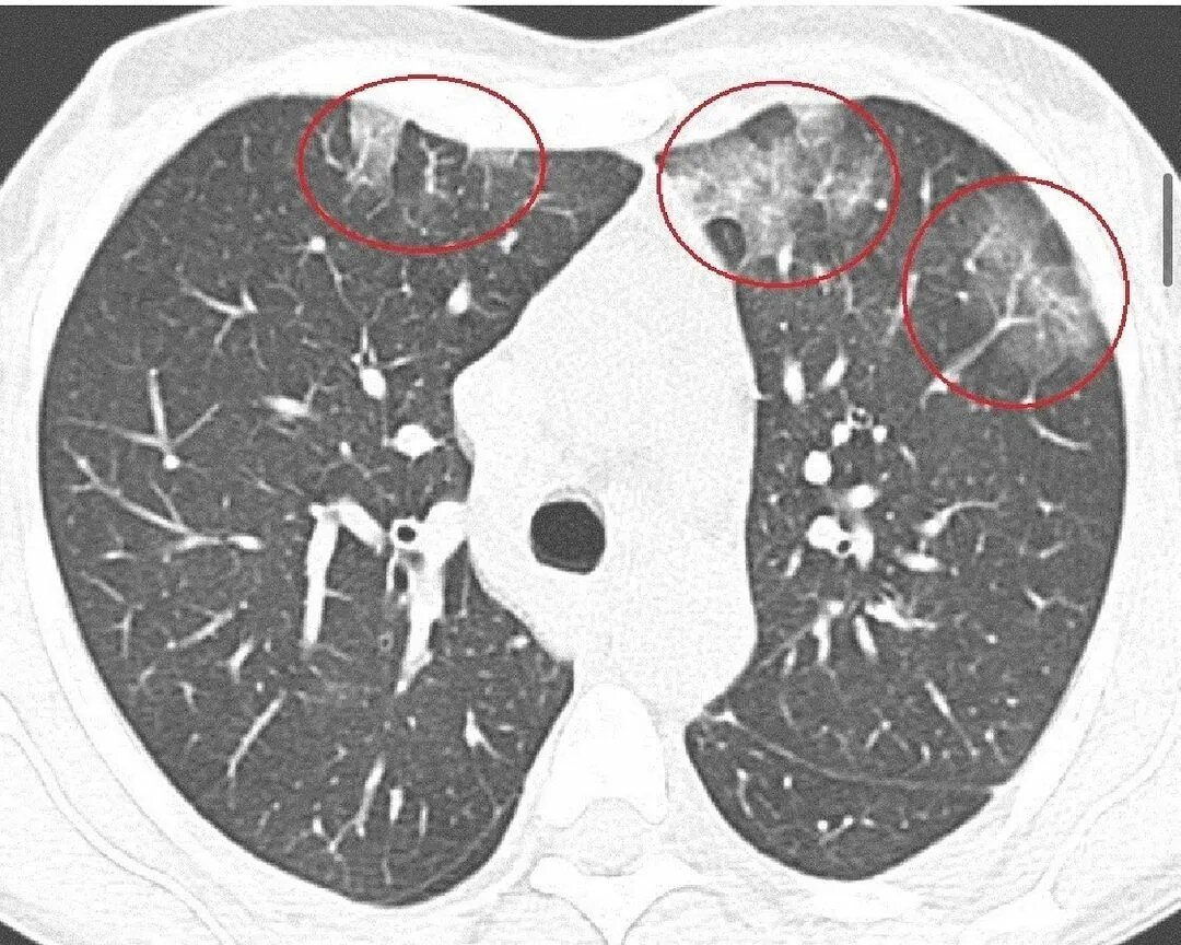
Недавно я был участником конференции, на которой был доложен необычный случай. Молодой пациент поступил в пульмонологическое отделение крупного многопрофильного стационара. Он жаловался на одышку, сухой кашель, боль в груди при глубоком дыхании. Было высказано предположение о пневмонии, но всё же, течение заболевания не было похоже на классическую картину этого заболевания. Тем более, температура тела оставалась нормальной, а в анализах крови не было типичных для инфекционного процесса изменений. Была назначена компьютерная томография органов грудной клетки, которая выявила множественные крупные очаги по типу «матового стекла».

Именно так выглядит пресловутое "матовое стекло", о котором, наверное, слышали практически все.
Именно так выглядит пресловутое "матовое стекло", о котором, наверное, слышали практически все.

По счастливой случайности лаборант забыл предупредить пациента о том, что перед процедурой необходимо снять рубашку, и на снимках можно было увидеть, что у пациента в нагрудных карманах лежит два (!!!) устройства для курения электронных сигарет.

Последующая беседа показала, что пациент страдает тяжёлой зависимостью от вейпа, а значит, диагноз EVALI весьма вероятен. На фоне лечения удалось добиться выздоровления. В какой-то степени пациенту повезло, но задумайтесь – стоит ли сомнительное удовольствие риска заболеть тяжёлой, а главное, малоизученной болезнью.

Подписывайтесь на меня в Телеграм, там я иногда публикую материалы, которых нет в Дзене.t.me/kardiologKrulev

О курении есть ещё одна статья: