Добавить в корзинуПозвонить
Найти в Дзене

ЦЕЛИ И ВИДЫ ХИРУРГИЧЕСКОЙ ОРТОПЕДИИ ПРИ ДЦП

Ортопедическая хирургия занимается ВТОРИЧНЫМИ осложнениями детского церебрального паралича, истинными ортопедическими проблемами: деформациями, контрактурами, подвывихами, вывихами в суставах. Цели, задачи и виды хирургии зависят от степени неврологических расстройств ребенка и его возраста. Среднестатистические возрастные периоды можно определить так: 0 до 5 лет В этом возрасте доминирует СПАСТИЧНОСТЬ мышц, поэтому в этот период ХИРУРГИЯ НЕ ИМЕЕТ ПОКАЗАНИЙ к применению: нет фиксированных контрактур и деформаций. от 5 до 12 лет При естественном течении заболевания в условиях спастичности мышц развивается их ретракция, возникает недостаточная длина, что ведет к фиксированным контрактурам, которые даже при полном расслаблении не позволяют движения в суставах, необходимых для двигательной активности ребенка в соответствии с его функциональным уровнем (GMFCS I-V*). Часто ретракция этих мышц сопровождается торсионными (скрученными) деформациями костей на уровне бедра и голени. И тогда наст

Ортопедическая хирургия занимается ВТОРИЧНЫМИ осложнениями детского церебрального паралича, истинными ортопедическими проблемами: деформациями, контрактурами, подвывихами, вывихами в суставах.

Цели, задачи и виды хирургии зависят от степени неврологических расстройств ребенка и его возраста.

Среднестатистические возрастные периоды можно определить так:

0 до 5 лет

В этом возрасте доминирует СПАСТИЧНОСТЬ мышц, поэтому в этот период ХИРУРГИЯ НЕ ИМЕЕТ ПОКАЗАНИЙ к применению: нет фиксированных контрактур и деформаций.

от 5 до 12 лет

При естественном течении заболевания в условиях спастичности мышц развивается их ретракция, возникает недостаточная длина, что ведет к фиксированным контрактурам, которые даже при полном расслаблении не позволяют движения в суставах, необходимых для двигательной активности ребенка в соответствии с его функциональным уровнем (GMFCS I-V*). Часто ретракция этих мышц сопровождается торсионными (скрученными) деформациями костей на уровне бедра и голени. И тогда настает момент РЕКОНСТРУКТИВНОЙ ОРТОПЕДИЧЕСКОЙ ХИРУРГИИ, направленной на УДЛИНЕНИЕ МЫШЦ и одномоментное УСТРАНЕНИЕ ДЕФОРМАЦИЙ для поддержания правильных параметров, так называемых рычагов движения суставов, оптимального выполнения функции сокращения и движения мышцами, на СТАБИЛИЗАЦИЮ СУСТАВОВ.

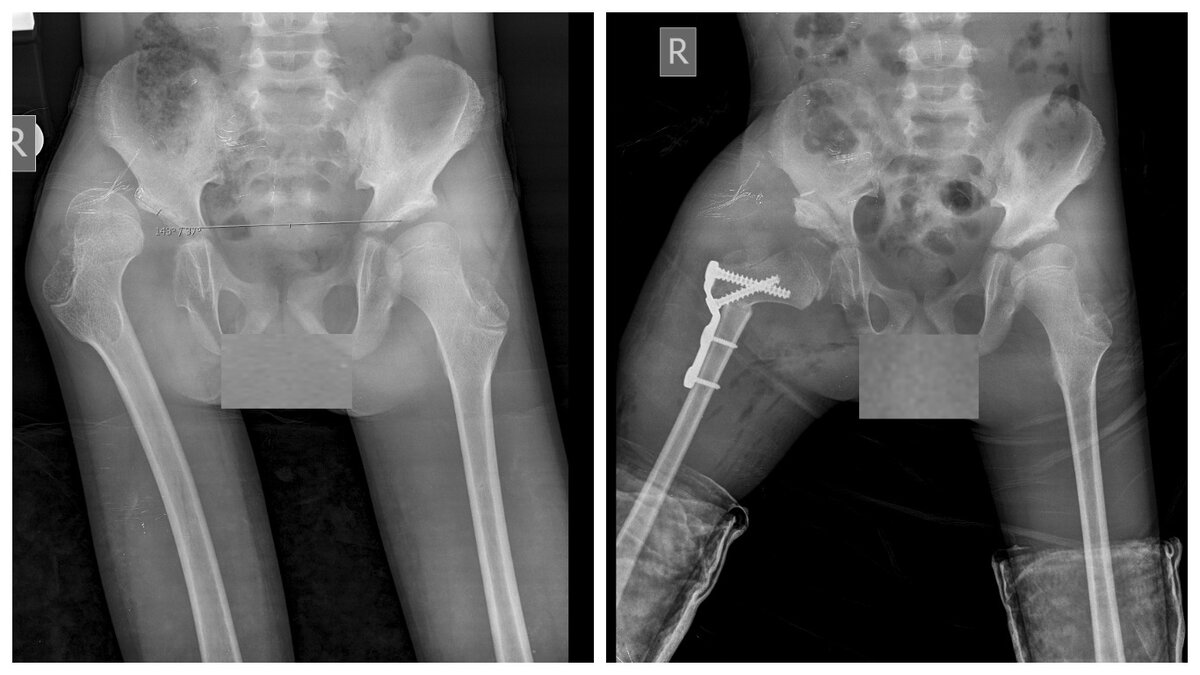
У детей с тяжелыми формами ДЦП в этот возрастной период (оптимально до 8 лет) реконструктивные операции направлены на стабилизацию тазобедренных и голеностопных суставов. Например, у детей с третьим функциональным уровнем двигательных нарушений (GMFCS III*), подтаранный артроэрез по Грайс в сочетании с удлинением ретграгированных мышц позволит стабилизировать стопу, облегчить ортезирование, улучшить условия проведения реабилитации.

Реконструктивная операция на стопе по методике Эванс
Реконструктивная операция на стопе по методике Эванс

от 12 лет и старше

В этот период к костным деформациям и контрактурам начинают присоединяться артрозные изменения в суставах (потеря суставного хряща), восстановить анатомию и функцию суставов абсолютно полноценно уже невозможно.

Как правило, с этим сталкиваемся в двух ситуациях. У детей с «crouch» походкой помимо торсионной деформации и высокой позиции надколенника возникают начальные артрозные изменения в суставах среднего отдела стопы и первого плюсне-фалангового сустава. УСЛОВНО-РЕКОНСТРУКТИВНАЯ ОПЕРАЦИЯ позволит добиться разгибания голени, вертикальной позы, коррекции деформации стопы, однако уже за счет частичной потери адаптации стопы к опоре на наклонной поверхности.

Ситуация сложнее, когда разрушения происходят в тазобедренном суставе, и об условно-реконструктивной хирургии речь уже не идет. Когда головка бедра потеряла суставной хрящ и костные структуры под ним, ее форма больше не округлая, вертлужная впадина деформирована, уплощена, технически можно восстановить взаимоотношения головки бедра и вертлужной впадины, привести их в контакт, но это лишь усилит болевой синдром даже при пассивных движениях. В данной ситуации выполняют ПАЛЛИАТИВНЫЕ ОРТОПЕДИЧЕСКИЕ ОПЕРАЦИИ. В случае, когда бедро находится в состоянии приведенного сгибательного положения, и на фоне выраженного болевого синдрома малейшие движения и минимальные гигиенические процедуры вызывают у ребенка сильные страдания, задача хирургии не восстановление правильных взаимоотношений в тазобедренном суставе, а УСТРАНЕНИЕ БОЛЕВОГО СИНДРОМА И ВОЗМОЖНОСТЬ ПАССИВНЫХ ДВИЖЕНИЙ на отведение и сгибание ноги, пассивной вертикальной позы, комфортной позы сидя.

Цель паллиативных ортопедических операций не анатомическое восстановление сустава, а создание благоприятных условий для пассивной мобилизации ребенка, снижение болевого синдрома и улучшение качества жизни ребенка с ДЦП.

ИТАК, своевременное вмешательство позволит выполнять реконструктивные ортопедические операции, в более старшем возрасте, при начальных артрозных явлениях и костных деформациях выполняется условно-реконструктивные операции и паллиативная хирургия, важно не запускать развитие осложнений до этих этапов.

«Повторим еще раз, что РАННЕЕ ВЫПОЛНЕНИЕ ХИРУРГИЧЕСКИХ ОРТОПЕДИЧЕСКИХ ОПЕРАЦИЙ ПРОТИВОПОКАЗАНО, потому что до возраста 5 лет доминирует спастичность, она маскирует слабость мышц, которые остаются подконтрольны коре головного мозга, и в этой ситуации выполнение любых хирургических вмешательств на мышцах обернется катастрофой через несколько лет», - напоминает Дмитрий Арнольдович Попков, хирург-нейроортопед.

Д. А. Попков, хирург-нейроортопед
Д. А. Попков, хирург-нейроортопед

GMFCS* - Gross Motor Function Classification System, пять уровней развития двигательных возможностей ребенка.