Найти в Дзене

У ребенка не растут зубы? Что нужно знать о врожденной адентии у детей

Одонтомы встречаются достаточно редко, а вот врожденное отсутствие зачатков одного или нескольких зубов — частое явление у детей. Почему так происходит и что делать с отсутствующими зубными единицами? Врожденная адентия — это аномалия развития зубочелюстной системы, при которой у ребенка отсутствуют зачатки одного или нескольких зубов с рождения. Это означает, что такие зубы никогда не прорежутся, поскольку их просто нет в челюсти. Адентия бывает: ⚠️Частичной — отсутствует 1-5 зубов. Чаще всего не хватает вторых резцов, пятерок и, в случае с постоянным прикусом, зубов мудрости. ⚠️Множественной — не сформировались зачатки 6 зубов и более. ⚠️Полной — отсутствуют все молочные и постоянные зубы. У ребенка могут отсутствовать зачатки молочных зубов. Тактика лечения в этом случае зависит от количества отсутствующих зубных единиц. Если речь идет о частичной адентии и отсутствии зачатков 1-2 зубов, скорее всего, делать ничего не придется. При множественной адентии из-за отсутствия молочных зуб
Оглавление

Одонтомы встречаются достаточно редко, а вот врожденное отсутствие зачатков одного или нескольких зубов — частое явление у детей. Почему так происходит и что делать с отсутствующими зубными единицами?

Адентия

Врожденная адентия — это аномалия развития зубочелюстной системы, при которой у ребенка отсутствуют зачатки одного или нескольких зубов с рождения. Это означает, что такие зубы никогда не прорежутся, поскольку их просто нет в челюсти.

Адентия бывает:

⚠️Частичной — отсутствует 1-5 зубов. Чаще всего не хватает вторых резцов, пятерок и, в случае с постоянным прикусом, зубов мудрости.

⚠️Множественной — не сформировались зачатки 6 зубов и более.

⚠️Полной — отсутствуют все молочные и постоянные зубы.

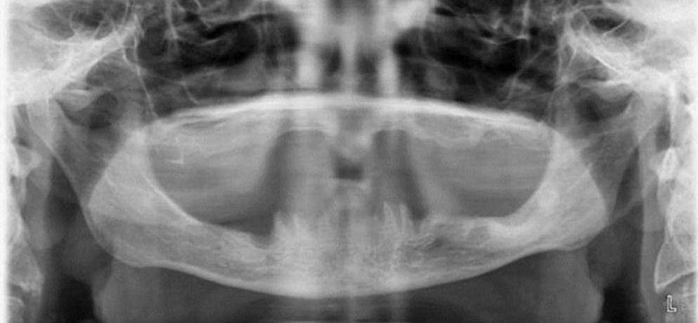
Полная адентия на снимке
Полная адентия на снимке

Отсутствие молочных зубов

У ребенка могут отсутствовать зачатки молочных зубов. Тактика лечения в этом случае зависит от количества отсутствующих зубных единиц. Если речь идет о частичной адентии и отсутствии зачатков 1-2 зубов, скорее всего, делать ничего не придется.

При множественной адентии из-за отсутствия молочных зубов у ребенка может происходить:

❌Нарушение жевательной функции.

❌Задержка развития речи.

❌Деформация или недостаточный рост челюсти.

❌Проблемы с пищеварением.

В этих случаях отсутствующие зубные единицы заменяются временными съемными протезами. Ортопедические конструкции позволяют сохранить эстетику и жевательную функцию, избежать проблем с работой ЖКТ и способствуют формированию правильного постоянного прикуса.☝️

Съемные протезы молочных зубов
Съемные протезы молочных зубов

Диагноз «адентия молочных зубов» не говорит о том, что с постоянными зубами также будут проблемы.

Отсутствие постоянных зубов

Адентия коренных зубов встречается чаще, чем молочных и требует обязательного лечения. Если в случае с молочными зубами можно просто дождаться их смены, то новые постоянные точно не вырастут. Без лечения в подростковом и взрослом возрасте пациент столкнется с:

⚠️Нарушением прикуса и асимметрией лица.

⚠️Перегрузкой и ранней стираемостью зубов, которые примут на себя нагрузку, вместо отсутствующих.

⚠️Нарушением дикции и эстетическими проблемами.

Отсутствие постоянных зубов 1.2 и 2.2, на места которых перемещаются зубы 1.3 и 2.3.
Отсутствие постоянных зубов 1.2 и 2.2, на места которых перемещаются зубы 1.3 и 2.3.

В случае с адентией коренных зубов существует несколько вариантов лечения.

Ортодонтическое. Если не хватает одного или двух зубов, ортодонт может предложить переместить соседние зубы так, чтобы закрыть промежутки. Это наиболее простой, но наименее эффективный вариант лечения. Зубной ряд будет уже, чем должен быть, зубы верхней и нижней челюстей будут смыкаться неправильно, «клыки» вместо «двоек» будут заметны в линии улыбки.

Ортодонтия с последующим ортопедическим лечением. Правильный вариант — ортодонтическое лечение с сохранением места для отсутствующих зубных единиц. С момента прорезывания постоянных зубов ребенку фиксируют брекеты, которые позволяют сформировать и сохранить место для отсутствующих зубов. До окончания роста челюсти для восстановления жевательной функции используют съемные или мостовидные протезы. После 18 лет пациентам с адентией проводят имплантацию отсутствующих зубов.

Что делать, если не хватает зубов мудрости?

Зубы мудрости — это рудиментарные органы, их отсутствие не считается проблемой. У многих людей они либо не прорезаются, либо не закладываются вовсе. Это эволюционный процесс: со временем челюсти стали меньше, и зубы мудрости просто становятся ненужными.

🏥 Центр семейной стоматологии

Задать вопрос ✍️ WhatsApp

Позвонить 📞 +7 (495) 104-53-16

Мы рядом 🏥 Москва, ул. Барышиха, 12к1

📚 Читайте также

История пациента: воспаление пульпы под коронками из металлокерамики
Центр семейной стоматологии в Митино7 февраля 2025
История пациента: съемная пластина не помогла, расширяем челюсть аппаратом Марко Росса и выравниваем зубы частичной брекет-системой ребенку
Центр семейной стоматологии в Митино3 января 2025
История пациента: возвращаем зуб на место девочке 8-ми лет
Центр семейной стоматологии в Митино29 ноября 2024
История пациента: как выровнять зубы брекетами в 50 лет
Центр семейной стоматологии в Митино15 ноября 2024
История пациента: восстановление всех зубов при стоматофобии
Центр семейной стоматологии в Митино8 ноября 2024
История пациента: тотальное протезирование All-on-6 женщине в 42 года
Центр семейной стоматологии в Митино6 декабря 2024