Найти в Дзене
Мedical Insider

В эксперименте на мышах выяснили, что фактор роста кровеносных сосудов облегчает тревожное поведение

Сычуаньский университет провел исследование, которое может открыть новые перспективы в лечении тревожных расстройств. Ученые обнаружили связь между этими расстройствами и нарушением функционирования гематоэнцефалического барьера (ГЭБ) — защитного слоя, регулирующего обмен веществ между кровотоком и мозгом.

Результаты исследования опубликованы в журнале Translational Psychiatry. Они показывают, что ангиогенный фактор роста адреномедуллин 2 (ADM2) может облегчать тревожно-подобное поведение у мышей, способствуя восстановлению целостности ГЭБ.

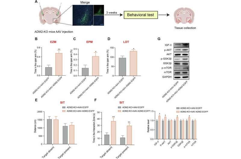
Научный сотрудник Дениан Ванг и его коллеги из Сычуаньского университета изучили влияние ADM2 на поведение мышей. В ходе экспериментов мыши проходили различные тесты, связанные с взаимодействием с другими особями, исследованием новых объектов и навигацией.

Исследователи использовали различные методы, включая фармакологические, вирусные, биохимические и оптогенетические подходы, чтобы изучить мозг мышей и понять, как ADM2 влияет на ГЭБ и тревожно-подобное поведение.

«Наши результаты подчеркивают ключевую роль фактора роста ADM2 в поддержании целостности защитного слоя ГЭБ», — отметил Дениан Ванг.

Научный сотрудник Чжи Ян и его коллеги обнаружили, что ADM2 способствует экспрессии инсулиноподобного фактора роста 2 (IGF-II), который запускает активацию сигнального пути AKT-GSK3β-mTOR. Это, в свою очередь, способствует восстановлению целостности ГЭБ и снижению тревожно-подобного поведения у мышей.

Исследователи также выявили, что ADM2 предотвращает утечку IGF-II из ГЭБ, что может способствовать росту клеток и функции мозга.

«В исследованиях in vitro введение ADM2 способствовало экспрессии VE-кадгерина и снижению утечки IGF-II через эндотелиальный барьер в модели ГЭБ», — говорится в исследовании.

Первоначальные результаты предполагают, что ADM2 может быть перспективной терапевтической мишенью для облегчения тревожных расстройств. Однако для подтверждения этих выводов и разработки новых методов лечения необходимы дальнейшие исследования.

Дальнейшие исследования должны проверить влияние ADM2 на поведение, подобное тревоге, у людей и определить, играет ли он аналогичную роль.

Литература:
Denian Wang et al, Adrenomedullin 2 attenuates anxiety-like behaviors by increasing IGF-II in amygdala and re-establishing blood–brain barrier,
Translational Psychiatry (2025). DOI: 10.1038/s41398-025-03229-2.