Найти в Дзене

Насколько опасно делать флюорографию? И правда ли, что она запрещена в развитых странах?

Флюорография — метод выявления туберкулеза у людей, которые пока не знают, что болеют. В нашей стране эта болезнь все еще встречается настолько часто, что можно говорить об эпидемии. Именно поэтому каждому взрослому человеку раз в один-два года имеет смысл обследоваться на туберкулез. Для диагностики заболевания у взрослых людей подходит и цифровая флюорография, и цифровой рентген грудной клетки, которые можно сделать бесплатно по полису ОМС. Для детей до 14 лет предусмотрен внутрикожный диагностический тест — проба Манту или диаскинтест. Статью написал медицинский журналист Даниил Давыдов Сходите к врачу Наши статьи написаны с любовью к доказательной медицине. Мы ссылаемся на авторитетные источники и ходим за комментариями к докторам с хорошей репутацией. Но помните: ответственность за ваше здоровье лежит на вас и на лечащем враче. Мы не выписываем рецептов, мы даем рекомендации. Полагаться на нашу точку зрения или нет — решать вам. Что такое флюорография Флюорография — вариант рентге
Оглавление

Флюорография — метод выявления туберкулеза у людей, которые пока не знают, что болеют.

В нашей стране эта болезнь все еще встречается настолько часто, что можно говорить об эпидемии. Именно поэтому каждому взрослому человеку раз в один-два года имеет смысл обследоваться на туберкулез.

Для диагностики заболевания у взрослых людей подходит и цифровая флюорография, и цифровой рентген грудной клетки, которые можно сделать бесплатно по полису ОМС. Для детей до 14 лет предусмотрен внутрикожный диагностический тест — проба Манту или диаскинтест.

Статью написал медицинский журналист Даниил Давыдов

Сходите к врачу

Наши статьи написаны с любовью к доказательной медицине. Мы ссылаемся на авторитетные источники и ходим за комментариями к докторам с хорошей репутацией. Но помните: ответственность за ваше здоровье лежит на вас и на лечащем враче. Мы не выписываем рецептов, мы даем рекомендации. Полагаться на нашу точку зрения или нет — решать вам.

Что такое флюорография

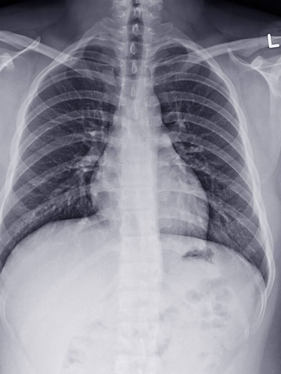
Флюорография — вариант рентгеновского исследования, который в основном используют для диагностики болезней легких.

Как и при обычном рентгене, во время флюорографии рентгеновские лучи проходят сквозь тело пациента. Мышцы и ребра задерживают некоторое количество рентгеновских лучей. Но легкие — это просто воздушные мешки, так что рентгеновское излучение они почти не поглощают.

В результате детекторы улавливают разницу и позволяют получить пленочную фотографию или цифровое изображение. Врачам удобнее работать с негативным вариантом снимка, на котором легкие выглядят темными, а кости и мышцы — более светлыми. Так лучше видно патологии.

Зачем нужна флюорография. Ее применяют для скрининга, то есть массового обследования бессимптомных людей, на туберкулез легких. Но на изображении могут быть заметны признаки и других заболеваний — например, пневмонии или сердечной недостаточности.

Чем флюорография отличается от рентгена. У изображения, полученного при помощи флюорографии, ниже разрешение, чем у рентгеновского изображения. Проще говоря, изображения легких, полученные при помощи флюорографии, получаются не такими четкими и информативными, как при рентгеновском исследовании.

Флюорографию изобрел бразильский врач Маноэль де Абреу в 1936 году. Главная цель, для которой она была нужна, — борьба с эпидемией туберкулеза. Бактерии туберкулеза передаются от человека к человеку при чихании и кашле, так что люди с открытой формой туберкулеза могут легко заразить окружающих.

Чтобы остановить эпидемию, нужно было как можно раньше выявлять зараженных туберкулезом людей. В первой половине 20 века единственным эффективным способом диагностики этой болезни был рентген легких.

Поскольку для изготовления рентгеновской пленки требуется серебро, она стоит дорого, так что ее стараются экономить. А еще важно проводить исследования как можно быстрее, чтобы успеть обследовать побольше людей.

Чтобы удешевить и ускорить обследование на туберкулез, рентгеновское изображение легких начали фотографировать на рентгеновскую фотопленку в катушках шириной 10 см. Для сравнения, пленка для рентгеновского аппарата, которую чаще всего используют для получения изображений легких, обычно шириной около 40 см.

«Врач сказала терпеть и молиться»: сколько я потратила на лечение туберкулеза

Полученные во время флюорографии снимки можно проявлять как старую добрую фотопленку, то есть прямо в катушке. Рентгеновские же снимки нужно проявлять по одному в специальном устройстве.

И хотя готовые флюорографии легких получаются маленькими и не такими детальными, как рентгенограммы, этот метод массового обследования обходится дешевле. Кроме того, оборудование для флюорографии можно разместить в небольшом автомобиле — это позволяет обследовать людей не только в городе, но и в отдаленных деревнях и закрытых государственных учреждениях.

В наши дни пленочную флюорографию используют все реже. На смену ей пришла цифровая флюорография. При этом методе исследования рентгеновское изображение не фотографируют на пленку: оно переносится на цифровую матрицу, а с нее передается на компьютер. По такому же принципу основана работа цифрового рентгеновского аппарата.

________________

Что лучше — цифровая флюорография или рентген легких

Врач лучевой диагностики, младший научный сотрудник Центра диагностики и телемедицины ДЗМ Анна Хорунжая
Врач лучевой диагностики, младший научный сотрудник Центра диагностики и телемедицины ДЗМ Анна Хорунжая

В отличие от пленочного флюорографа, на цифровом сейчас изображение получается почти такого же размера и качества, как и на рентгеновском аппарате, за счет математической обработки изображения. При этом за счет разницы в устройстве излучателя и детектора дозовая нагрузка излучения, которое получает пациент во время цифровой флюорографии, немного меньше, чем при облучении на рентгеновском аппарате.

В Центре диагностики и телемедицины ДЗМ мы занимаемся клиническими испытаниями медицинского программного обеспечения на основе искусственного интеллекта и недавно тестировали сервис искусственного интеллекта по обработке флюорограмм. Для этого нужно было собрать набор данных, содержащих эти снимки.

Но в процессе набора экспертная группа из опытных врачей-рентгенологов пришла к заключению, что разницы в качестве цифровых рентгенограмм и цифровых флюорограмм нет, поэтому сервис с одинаковой точностью может анализировать и те, и другие изображения легких.

________________

Вредна ли флюорография

Флюорография практически безвредна. Чтобы понять почему, нужно сказать пару слов о том, как рентгеновское излучение влияет на организм.

Рентгеновское излучение — это невидимые лучи с большим запасом энергии, которые могут запустить в клетке ненужные фотохимические реакции.

Некоторые из этих реакций, например те, что разрушают генетический материал, то есть молекулы ДНК, могут навредить живым клеткам. В итоге из-за долгого регулярного воздействия рентгеновских лучей повышается риск развития лейкемии.

Однако фотохимические реакции начнутся в клетках, только если количество энергии, которое рентгеновское излучение передает в ткани, будет достаточно высоким или станет действовать на человека достаточно долго.

И в нашей стране, и за рубежом большинство занимающихся радиационной безопасностью организаций считают, что если доза рентгеновского излучения не превышает 1 мЗв в год, фотохимические реакции в тканях не возникают. То есть это безопасно для здоровья.

Во время флюорографии человек получает 0,01—0,10 мЗв. Это в 10—100 раз меньше безопасной дозы в 1 мЗв.

Как часто можно делать флюорографию. Человек может делать до десяти флюорографий в год, не опасаясь вреда для здоровья. Но взрослому здоровому жителю России, который не входит в группу риска по туберкулезу, для скрининга достаточно всего одной флюорограммы в год.

Правда ли, что флюорография запрещена в развитых странах. За рубежом флюорография как метод скрининга не применяется. Но отказ от этого метода не связан с потенциальным вредом для здоровья.

В развитых странах туберкулез встречается относительно редко. Например, в США в 2019 году распространенность этой болезни составляла 2,7 на 100 000 человек — всего в этом году заразились 8904 американца. Если болезнь встречается относительно редко, искать ее у бессимптомных людей бессмысленно.

Скрининг на туберкулез у взрослых — международный справочник для врачей Uptodate

В США на туберкулез проверяют только врачей, туристов, вернувшихся из неблагополучных по туберкулезу стран, людей, контактировавших с пациентами с туберкулезом, и пациентов с симптомами, похожими на туберкулез. Им назначают анализы мокроты и кожную пробу на туберкулез. Человека направляют на цифровое рентгеновское исследование легких, только если результаты анализов окажутся положительными.

В нашей стране туберкулез до сих пор встречается достаточно часто. По данным Минздрава, в 2019 году распространенность этой болезни в среднем по России составляла 41,2 на 100 000 человек — всего заразились 60 531 человек. Поэтому в нашей стране рентгенологический скрининг на туберкулез, в том числе при помощи флюорографии, входит в профилактический осмотр для людей старше 17 лет.

Об утверждении порядка проведения профилактических медицинских осмотров граждан в целях выявления туберкулеза — приказ Минздрава от 21.03.2017 № 124н

Детям в возрасте от 15 до 17 лет либо делают флюорографию, либо проводят внутрикожный диагностический тест — делают укол туберкулезного аллергена и смотрят, будет ли реакция. На таком же принципе основана проба Манту. Чтобы провести скрининг на туберкулез, детям младше 15 лет делают только внутрикожный диагностический тест. Флюорографию проводят только в особых случаях, о которых мы поговорим в следующем разделе.

Как проверяют на туберкулез людей разного возраста в России

-3

Как еще можно провериться на туберкулез. Согласно приказу Минздрава № 124н, вместо флюорографии во время медицинского осмотра можно пройти цифровую рентгенографию грудной клетки. Этот метод считается более информативным, чем флюорография, так как изображение получается более качественным и четким. При этом метод почти такой же безопасный: за один раз человек получает 0,05—0,3 мЗв, то есть в 3—20 раз меньше безопасной дозы в 1 мЗв.

________________

Как провериться на туберкулез без рентгеновских исследований

-4

Анна Хорунжая

врач лучевой диагностики, младший научный сотрудник Центра диагностики и телемедицины ДЗМ

Способов провериться на туберкулез самостоятельно, а не в ходе государственной диспансеризации, много.

Это и бактериоскопия, то есть исследование мокроты на микобактерии туберкулеза, и бактериологические исследования, то есть посевы мокроты на микобактерию, и туберкулинодиагностика. Во время последней процедуры под кожу вкалывают немного белка, характерного для микобактерии. В случае классического теста, который называется проба или реакция Манту, это очищенный туберкулезный аллерген, а в случае более современного диаскинтеста — рекомбинантный.

Если речь идет о взрослых людях, принципиальной разницы между пробой Манту и диаскинтестом нет. При этом детям туберкулинодиагностику проводят бесплатно, а взрослым нужно будет проходить это исследование в частной клинике за деньги.

________________

Сколько раз в год нужно делать флюорографию

Согласно приказу Минздрава № 124н, это зависит от того, где именно живет человек, и от состояния его здоровья. У людей, которые живут в регионе с заболеваемостью выше 40 человек на 100 000 населения, у тех, кто не получил прививку от туберкулеза в детстве, и у пациентов с хроническими заболеваниями, например с сахарным диабетом, риск заразиться выше, чем у привитых и здоровых людей из регионов, где эта болезнь встречается реже.

Посмотреть заболеваемость туберкулезом в вашем регионе можно в статье «Как часто россияне болеют туберкулезом». Например, заболеваемость туберкулезом в Москве — 19 на 100 000 жителей, а на Чукотке — 127 на 100 000 жителей.

Сколько стоит вылечить туберкулез

Как часто нужно проходить флюорографию

-5
-6