Найти в Дзене
MadMed Media

6 исследований о COVID-19: КТ эффективна на 98% и откуда брать мазки (не только из зева)

Оглавление

Пока новый коронавирус, вызывающий COVID-19, «шествует» по планете, а ВОЗ объявила пандемию. Мы продолжаем публиковать исследования ученых, биологов и врачей об этой инфекции: от диагностики до реальной опасности заражения. Самое пугающее в этом выпуске: метод ОТ-ПЦР эффективен только до 71% случаев, и мазок из зева будет отрицательным, а анализ кала — положительным.

BMJ: великая опасность ждет пожилых пациентов.

Согласно международной группе экспертов в области здравоохранения, действующее руководство по коронавирусу «в значительной степени игнорирует» последствия для общественного здравоохранения и клинических реакций тех, кто подвергается наибольшему риску.

В статье BMJ исследователи делают призывы к включению возрастной перспективы болезни в национальном и глобальном планировании на COVID-19, а также срочное формирование группы экспертов по пожилым людям для поддержки с руководством стран и своевременного реагирования на вирус.

Наибольшее количество смертей будет приходить на пожилых людей в странах с низким и средним уровнем дохода. В этих странах — 69% населения мира в возрасте 60 лет и старше, а системы здравоохранения плохи и в меньшей степени ориентированы на потребности пожилых людей, чем в странах с высоким уровнем дохода.

«Глобальный ответ на коронавирус должен быть направлен на те группы, которые столкнутся с самыми разрушительными последствиями. Пока этого не произошло. Мы сталкиваемся с беспрецедентной и огромной волной смертей среди пожилых людей в этих странах».
Профессор Ллойд-Шерлок, профессор социальной политики и международного развития в UEA

В этих странах риск инфицирования пожилых людей будет наиболее высоким, поскольку условия жизни часто ограничены и их дома переполнены. Все больше пожилых людей живут в домах престарелых или аналогичных учреждениях, где условия зачастую плохие, а регулирование — слабое. Эти люди могут столкнуться с препятствиями в получении продовольствия и других предметов первой необходимости, если условия карантина станут более жесткими.

Pediatric Infectious Disease Journal: COVID-19 наименее тяжел у детей

Исследователи пишут в статье в Pediatric Infectious Disease Journal, что дети, как и взрослые, с такой же вероятностью могут заразиться вирусом, но с меньшей вероятностью будут плохо себя чувствовать или у них появятся серьезные симптомы. Тем не менее, важность детей в передаче вируса остается неопределенной на данный момент.

У детей наблюдаются более легкие клинические симптомы, чем у взрослых, и они подвержены значительно более низкому риску серьезных заболеваний, что также справедливо для эпидемий атипичной пневмонии и MERS. Но дети с COVID-19 могут быть более склонны к развитию желудочно-кишечных симптомов.

По китайским данным за февраль 2020 года, дети и подростки составляли только 2% госпитализаций SARS-CoV-2. Тем не менее, поскольку у детей реже наблюдаются симптомы и их реже проверяют, что может привести к недооценке истинного числа инфицированных. Кроме того, дети реже подвергаются воздействию основных источников передачи.

Большинство зараженных детей выздоравливают через одну-две недели после появления симптомов, и к февралю 2020 года не было зарегистрировано ни одной смерти. 

Radiology: КТ грудной клетки превзошла лабораторные исследования в диагностике COVID-19

В исследовании более 1000 пациентов, опубликованном в журнале Radiology, КТ грудной клетки превзошла лабораторные исследования в диагностике новой коронавирусной инфекции. Исследователи пришли к выводу, что КТ следует использовать в качестве основного инструмента скрининга COVID-19.

Согласно последним рекомендациям, опубликованным правительством Китая, диагноз COVID-19 должен быть подтвержден полимеразной цепной реакцией с обратной транскрипцией (ОТ-ПЦР) или секвенированием генов для образцов дыхательных путей или крови, как основного индикатора для госпитализации. Тем не менее, с учетом ограничений по сбору и транспортировке образцов, а также производительности комплектов, общий положительный показатель ОТ-ПЦР для образцов мазка из зева был примерно от 30% до 60%.

В текущей чрезвычайной ситуации в области общественного здравоохранения низкая чувствительность ОТ-ПЦР означает, что большое количество пациентов с COVID-19 не будут быстро идентифицированы и могут не получить надлежащего лечения. Кроме того, учитывая высокую контагиозную природу вируса, они несут риск заражения большей части населения.

КТ грудной клетки, обычный диагностический инструмент для диагностики пневмонии, быстр и относительно прост в выполнении. Недавние исследования показали, что чувствительность КТ к инфекции COVID-19 составила 98%, а чувствительность ОТ-ПЦР — 71%.

В исследование были включены 1014 пациентов, которые с 6 января по 6 февраля 2020 г. проходили как КТ грудной клетки, так и ОТ-ПЦР-тесты. С помощью ОТ-ПЦР в качестве эталонного стандарта была проведена оценка эффективности КТ грудной клетки при диагностировании COVID-19. Для пациентов с множественными анализами ОТ-ПЦР динамическое преобразование результатов теста ОТ-ПЦР (отрицательное в положительное и положительное в отрицательное, соответственно) также анализировалось по сравнению с серийными КТ грудной клетки.

Результаты показали, что у 601 пациента (59%) были положительные результаты ОТ-ПЦР, и у 888 (88%) были положительные КТ грудной клетки. Чувствительность КТ грудной клетки при предположении применения COVID-19 составила 97%, основываясь на положительных результатах ОТ-ПЦР. У пациентов с отрицательными результатами ОТ-ПЦР 75% (308 из 413 пациентов) имели положительные результаты КТ грудной клетки. Из них 48% были отнесены к наиболее вероятным случаям, а 33% — к вероятным случаям. Посредством анализа серийных ОТ-ПЦР-анализов и КТ-сканирования интервал между исходными отрицательными и положительными результатами ОТ-ПЦР составлял 4-8 дней.

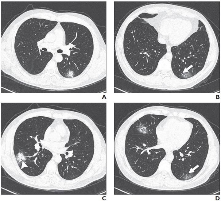
AJR: Подробное описание КТ грудной клетки при пневмонии при коронавирусной болезни (COVID-19)

Многоцентровое исследование (n = 101) взаимосвязи между результатами КТ грудной клетки и клиническими состояниями ишемической болезни сердца (COVID-19), опубликованное в AJR, определило, что большинство пациентов с пневмонией COVID-19 имели очаговые изменения по типу матового стекла (GGO) (86,1%) или смешанные изменения, консолидацию (64,4%) и расширение сосудов в очаге поражения (71,3%).

Кроме того, поражения, присутствующие на КТ-изображениях, с большей вероятностью имели периферическое распределение (87,1%) и двустороннее вовлечение (82,2%) и были преобладающими в нижних отделах легких (54,5%) и мультифокальными (54,5%).

Пациент имел лихорадку (38°C) и кашель. КТ была выполнена в день поступления. На изображениях AD, CT показаны двусторонние мультифокальные помутнения по типу матового стекла (GGO) и смешанные повреждения, и консолидации. Тракционный бронхоэктаз (наконечник стрелки, C) и расширение сосудов (стрелка, B и D) также присутствуют. КТ вовлеченность 5 баллов.
Пациент имел лихорадку (38°C) и кашель. КТ была выполнена в день поступления. На изображениях AD, CT показаны двусторонние мультифокальные помутнения по типу матового стекла (GGO) и смешанные повреждения, и консолидации. Тракционный бронхоэктаз (наконечник стрелки, C) и расширение сосудов (стрелка, B и D) также присутствуют. КТ вовлеченность 5 баллов.

101 пациента разделили на две группы: легкое или обычное течение и неотложное (тяжелое/смертельное) течение. Большая часть когорты (70,2%) — 21-50 лет, и у них была лихорадка в качестве начального симптома. Вторая когорта была старше.

«Архитектурные искажения, бронхоэктазы и выпот в плевральной полости, которые могут отражать вирусную нагрузку и вирулентность COVID-19, статистически различались между двумя группами и могут помочь нам идентифицировать экстренный тип заболевания».
Wei Zhao, Zheng Zhong — авторы статьи

Американцы проводят первое тестирование противовирусного препарата — ремдесивира. Результаты обнадеживают

Команда ученых и отраслевых исследователей сообщает о новых результатах, касающихся того, как именно исследуемый антивирусный препарат останавливает коронавирусы. Ремдесивир используется в первом в стране клиническом испытании экспериментального лечения COVID-19.

Предыдущие исследования на клеточных культурах и на животных моделях показали, что ремдесивир может блокировать репликацию различных коронавирусов. Он блокирует определенный фермент, необходимый для репликации вируса. Об этом пишут в Journal of Biological Chemistry.

Коронавирусы реплицируются путем копирования своего генетического материала с использованием фермента, известного как РНК-зависимая РНК-полимераза. Вскоре после добавления ремдесивира фермент перестает быть способным добавлять больше субъединиц РНК. Это останавливает репликацию генома.

Ремдесивир, который выпускается американской компанией Gilead Sciences, не был одобрен в качестве препарата еще нигде в мире. Согласно Gilead, результаты клинического испытания с пациентами с COVID-19 в Китае ожидаются в апреле.

IED: Обнаружение нового коронавируса методом ОТ-ПЦР в образце стула у ребенка без симптомов

Исследователи сообщили о бессимптомном ребенке, у которого был обнаружен новый коронавирус методом ПЦР с обратной транскрипцией в образце стула через 17 дней после последнего воздействия вируса. Ребенок был инфицирован вирусом в образцах стула в течение по крайней мере последних 9 дней. Образцы из дыхательных путей были отрицательными методом обратной транскрипции ПЦР.

Письмо было опубликовано в Emerging Infectious Desiase. Десять лабораторно подтвержденных случаев и несколько бессимптомных случаев COVID-19 были выявлены в Чжоушане, Китай с 19 января 2020 года. Исследователи сообщили об эпидемиологических и диагностических признаках для одного случая у ребенка без симптомов.

30 января 2020 года определили 10-летнего мальчика, у которого не было лихорадки или кашля, но у него был тесный контакт с двумя подтвержденными пациентами с лабораторно подтвержденным COVID-19. Мальчик был учеником начальной школы, который жил со своими родителями в квартире колледжа. В течение 19–31 января в комплексе было подтверждено несколько пациентов с COVID-19.

С 9 января он состоял в контактах с инфицированными. Исследователи собрали образцы мазка из носоглотки и мокроты у мальчика через 15 дней после последнего тесного контакта и проверили эти образцы на SARS-CoV-2 с помощью ОТ-ПЦР.  Однако 1 февраля (через 17 дней после его последнего контакта) образец стула был положительным для SARS-CoV-2 с помощью ОТ-ПЦР. В течение 9–31 января у мальчика не было никаких признаков или симптомов.

В больнице обычный анализ крови, проведенный 2 февраля, показал количество клеток в контрольных диапазонах, а компьютерная томография 5 февраля не показала никаких отклонений. Ранние симптомы у большинства пациентов с COVID-19 включают лихорадку, миалгию, кашель и боль в горле, которые часто встречаются при других острых респираторных вирусных инфекциях.