Найти в Дзене
Нейроновости

Микробные корни болезни Альцгеймера

Мы уже писали о некоторых доказательствах связи болезни Альцгеймера и инфекций.  Сегодня мы решили рассказать о более ранней работе, в которой устанавливается ассоциация этого с вирусом герпеса человека 1 типа, бактерией Chlamydia pneumoniae и несколькими видами спирохет. К таким выводам пришла группа исследователей, в которую вошли ученые из Оксфордского и Кембриджского университетов. Посвященная этой связи статья опубликована в журнале Journal of Alzheimer’s Disease.

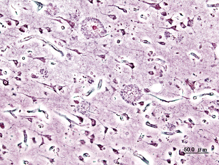
Гистопатология болезни Альцгеймера

Один из характерных признаков болезни Альцгеймера – накопление в мозге амилоидных бляшек и клубков тау-белка. Это препятствует передаче сигналов между нейронами, что приводит к ухудшению памяти и другим когнитивным нарушениям. В настоящее время многие ученые пытаются отыскать методы, способные предотвратить этот процесс.

Исследователи предположили, что причиной образования бляшек и нейрофибриллярных клубков могут быть инфекции. Проанализировав 25 работ, в которых изучалась связь болезни Альцгеймера с инфекционными заболеваниями, ученые установили: заражение спирохетами связано с ростом частоты случаев болезни Альцгеймера более чем в 10 раз. Chlamydia pneumoniae повышала риск более чем в 5 раз.

Герпесный энцефалит, вызываемый ВПГ-1, приводил к повреждениям в отдельных областях центральной нервной системы, связанных с лимбической системой, которая управляет памятью, когнитивными и аффективными процессами.

В экспериментах на мышах и с культурами клеток выяснилось, что после инфицирования описанными инфекциями в тканях мозга образуются амилоидные бляшки и скопления тау-белка. При этом использование антибактериальных или противовирусных средств позволяет остановить их образование.

«Мы считаем, что есть неопровержимые доказательства того, что у болезни Альцгеймера имеется скрытый микробный компонент. Мы больше не можем игнорировать все имеющиеся свидетельства», — говорит Дуглас Келл (Douglas Kell), один из авторов работы.

Кроме того, ученые отмечают, что определенная мутация гена APOE, которая делает каждого пятого уязвимым к болезни Альцгеймера, еще и увеличивает подверженность инфекционным заболеваниям.

«Болезнь Альцгеймера приносит больным множество эмоциональных и физических страданий. Мы хотим выразить нашу озабоченность недостаточным вниманием, которое уделяется этому аспекту заболевания. Многие исследования, в том числе на людях, указали на особую роль ВПГ-1, Chlamydophila pneumoniae и нескольких типов спирохет. Мы считаем оправданными дальнейшие исследования роли микроорганизмов в развитии болезни Альцгеймера», — пишут авторы работы.

Исследователи надеются, что новые данные позволят найти более эффективные способы борьбы с болезнью Альцгеймера. Также они предполагают, что результаты могут повлиять на будущие методы лечения болезни Паркинсона и других нейродегенеративных заболеваний.

Текст: Алла Салькова

Microbes and Alzheimer’s DiseasebyItzhaki, Ruth F.,Whittum-Hudson, Judith A. et al. in Journal of Alzheimer’s Disease.

doi:10.3233/JAD-160152

Читайте материалы нашего сайта в FacebookВКонтактеЯндекс-Дзен, Одноклассниках и канале в Telegram, а также следите за новыми картинками дня в Instagram.