Найти в Дзене

🦷 Стоматологический детектив : Загадка идеального прикуса.

На этот раз расследование ведёт ортодонт Зудилин Александр Юрьевич, а на кону — трансформация улыбки всего за 8 месяцев с помощью элайнеров!

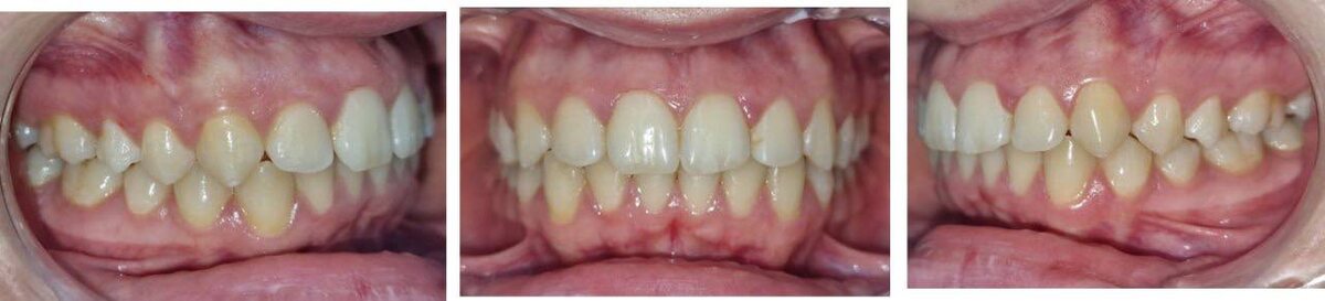
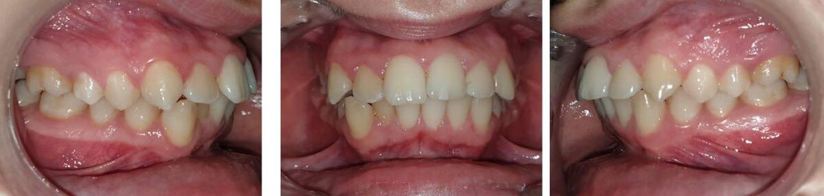
Начало истории

В кабинет заходит пациент с классическим «делом»: нарушение прикуса, скученность зубов, и большой запрос — пройти лечение быстро и комфортно. Врач внимательно собирает «улики»: осмотр, слепки, компьютерная модель — и выдвигает план особой операции под кодовым названием «элайнер»!

Ход лечения

Пациент получает набор прозрачных кап, носит их строго по расписанию, и каждую неделю сообщает врачу о любых «непонятных» ощущениях. Александр Юрьевич следит за прогрессом, как истинный детектив — не упустит ни одной детали! Движение каждого зуба контролируется: за 2 месяца — заметные изменения, за 4 — улыбка становится шире.

Но в расследовании есть и «подозреваемые»: порой хочется снять капу раньше срока, появляется «соблазн» забыть про инструкции. Но наш ортодонт всё держит под контролем — время от времени корректирует план, отвечает на вопросы и мотивирует не бросать лечение на полпути.

Разгадка

Финал — через 8 месяцев! Все зубы на своих местах, прикус правильный, пациент улыбается шире, чем когда-либо. Дело раскрыто — операция «Элайнер» прошла идеально. Врач торжественно вручает пациенту ретейнер и памятку по уходу.

-2

Улыбка больше не загадка! А если вдруг появятся «новые тайны» — команда нашего ортодонта всегда готова к работе и новым детективным историям.

Следите за нашими кейсами — стоматология тоже умеет удивлять!