Найти в Дзене
Наука

Десяткам людей впервые вернули зрение с помощью нейроимпланта

Представьте, что вы снова можете читать книгу или видеть улыбку близкого человека после многих лет слепоты. Ученые приблизили эту мечту к реальности, разработав крошечный имплантат, который помогает людям с возрастной макулярной дегенерацией (ВМД) вернуть зрение. Это устройство вживляется в глаз и частично восстанавливает способность видеть. Исследование, опубликованное в New England Journal of Medicine, показывает, как эта технология меняет жизнь людей.

Что такое ВМД и как она крадет зрение

Возрастная макулярная дегенерация — одна из главных причин слепоты у пожилых людей. Она поражает центральную часть сетчатки — тонкой ткани в задней части глаза, которая работает как пленка в фотоаппарате, улавливая свет и превращая его в сигналы для мозга. При ВМД, особенно в ее «сухой» форме, светочувствительные клетки (палочки и колбочки) в центре сетчатки постепенно отмирают. В результате человек теряет центральное зрение — читать, водить машину или узнавать лица становится невозможно, хотя боковое зрение сохраняется. Около 5 миллионов человек по всему миру страдают от этой формы ВМД, и до сих пор она считалась неизлечимой.

Как работает имплантат

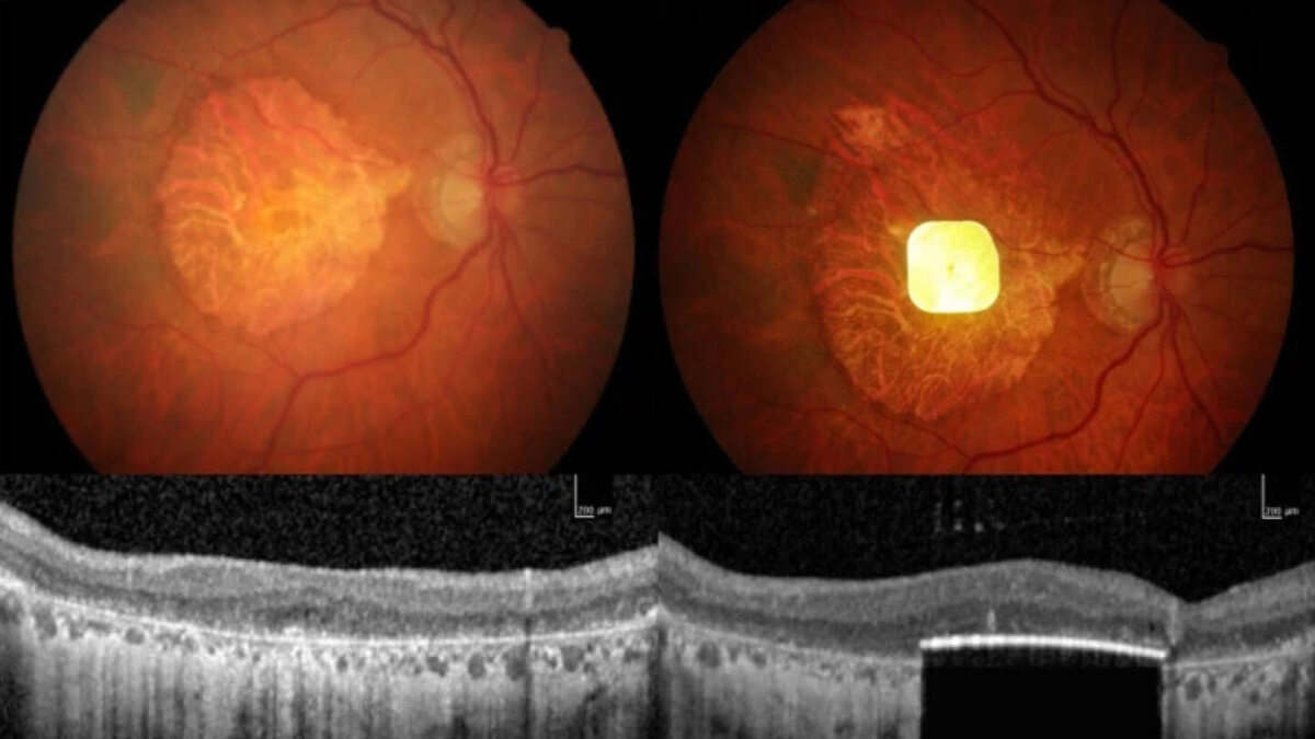
Имплантат PRIMA, разработанный изначально компанией Pixium Vision и теперь принадлежащий Science Corporation из Сан-Франциско, — это устройство размером 2х2 мм и толщиной всего 30 микрометров, тоньше человеческого волоса. Его хирургически размещают под сетчаткой, где он заменяет погибшие светочувствительные клетки. PRIMA работает как миниатюрная солнечная панель: свет, попадающий на него, превращается в электрические сигналы, которые стимулируют оставшиеся нейроны сетчатки, передавая информацию в мозг.

Устройство действует в паре с очками, оснащенными камерой. Очки захватывают изображение, преобразуют его в инфракрасные сигналы и отправляют на имплантат. Пользователи могут настраивать увеличение, яркость и контрастность, словно регулируя экран смартфона. Но освоить эту систему непросто — требуется несколько месяцев тренировок.

«Там, где эта мертвая сетчатка была полностью слепым пятном, зрение восстанавливалось. Пациенты могли читать буквы, читать слова и вести привычную жизнь», — говорит Франк Хольц, офтальмолог из Боннского университета и руководитель исследования
-2

Результаты, которые вдохновляют

В исследовании участвовали 38 человек с тяжелой формой сухой ВМД из пяти европейских стран. Через год после имплантации 80% из них (26 из 32 обследованных) показали заметное улучшение зрения. В среднем они могли читать на две строки дальше по стандартной таблице для проверки зрения — это как если бы человек, видевший только размытые очертания, начал различать буквы на странице. Большинство участников использовали PRIMA дома для чтения текстов или цифр, и 22 из 32 выразили удовлетворенность результатами.

«Я считаю, что это захватывающее и значимое исследование, тщательно спланированное и проанализированное. Оно дает надежду на восстановление зрения у пациентов, для которых это было скорее „научной фантастикой“, чем реальностью», — говорит Франческа Кордейро, офтальмолог из Имперского колледжа Лондона.

Ограничения и надежды

Несмотря на успех, у технологии есть свои слабые места. PRIMA имеет всего 381 пиксель, из-за чего зрение остается черно-белым, а чтение — медленным, как будто вы листаете книгу с крупным шрифтом под тусклым светом.

«Этот первый серьезный прорыв — отправная точка для дальнейшего совершенствования», — подчеркивает Хольц.

В июне 2025 года Science Corporation подала заявку на сертификацию устройства в Европе, что может сделать его доступным для продажи.

Ученые, включая физика из Стэнфорда Дэниела Палинкера, создателя устройства, уже работают над версией с большим числом пикселей и возможностью цветного зрения. Будущие модели обещают сделать зрение четче и естественнее. Кроме того, технология может помочь не только при ВМД, но и при других заболеваниях, таких как пигментный ретинит, где также погибают светочувствительные клетки.

Имплантаты — не единственный путь. Другие ученые исследуют стволовые клетки для восстановления сетчатки или оптогенетику, вводящую светочувствительные белки в клетки глаза. Есть даже идеи вживления чипов прямо в зрительную кору мозга.

«Это огромное динамичное пространство, и сейчас существует множество подходов. Что из этого получится в итоге, никто не знает», — говорит Хольц.

Создан глазной чип, который возвращает зрение минуя поврежденную роговицу

Пациент, которому имплантировали в мозг чип Neuralink, восстановил речь

Подписывайтесь и читайте «Науку» в Telegram