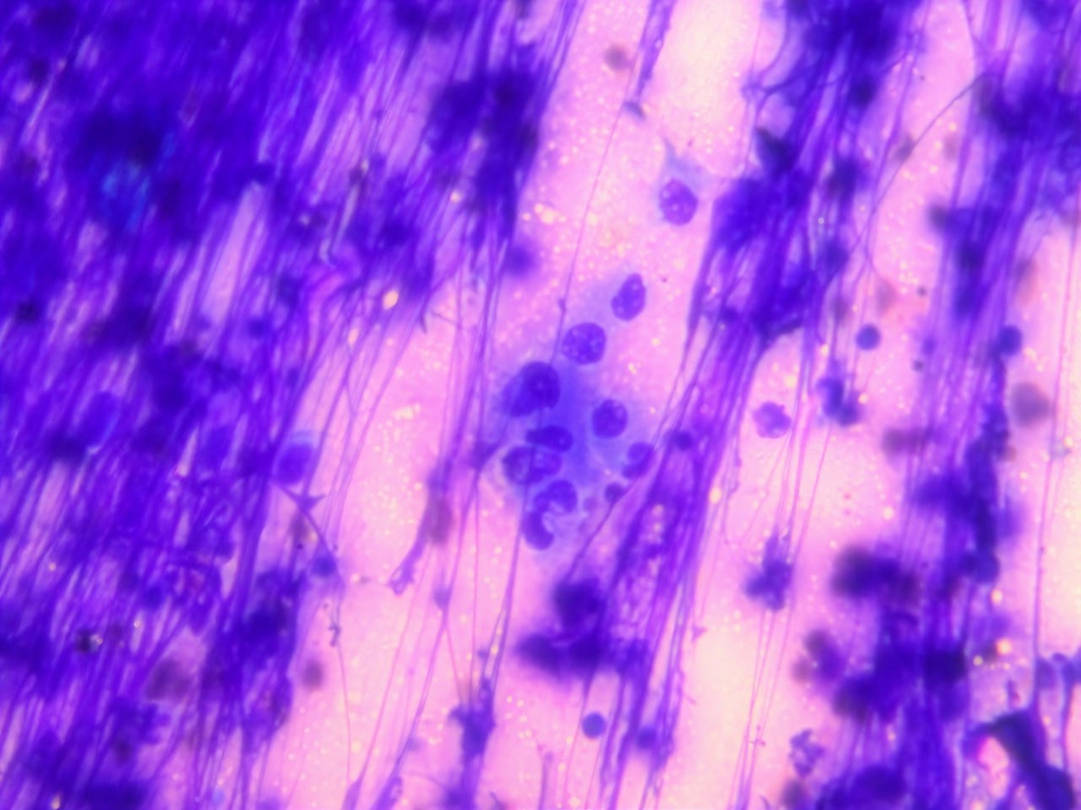
Неэпителиальная опухоль легкого (мазок-отпечаток). Окрашивание МГГ. Объективы 40x, 100x.
#цитология #легкое