Найти в Дзене
Некогда бегать

Ставить ли брекеты в 40 лет: жизнь после исправления прикуса

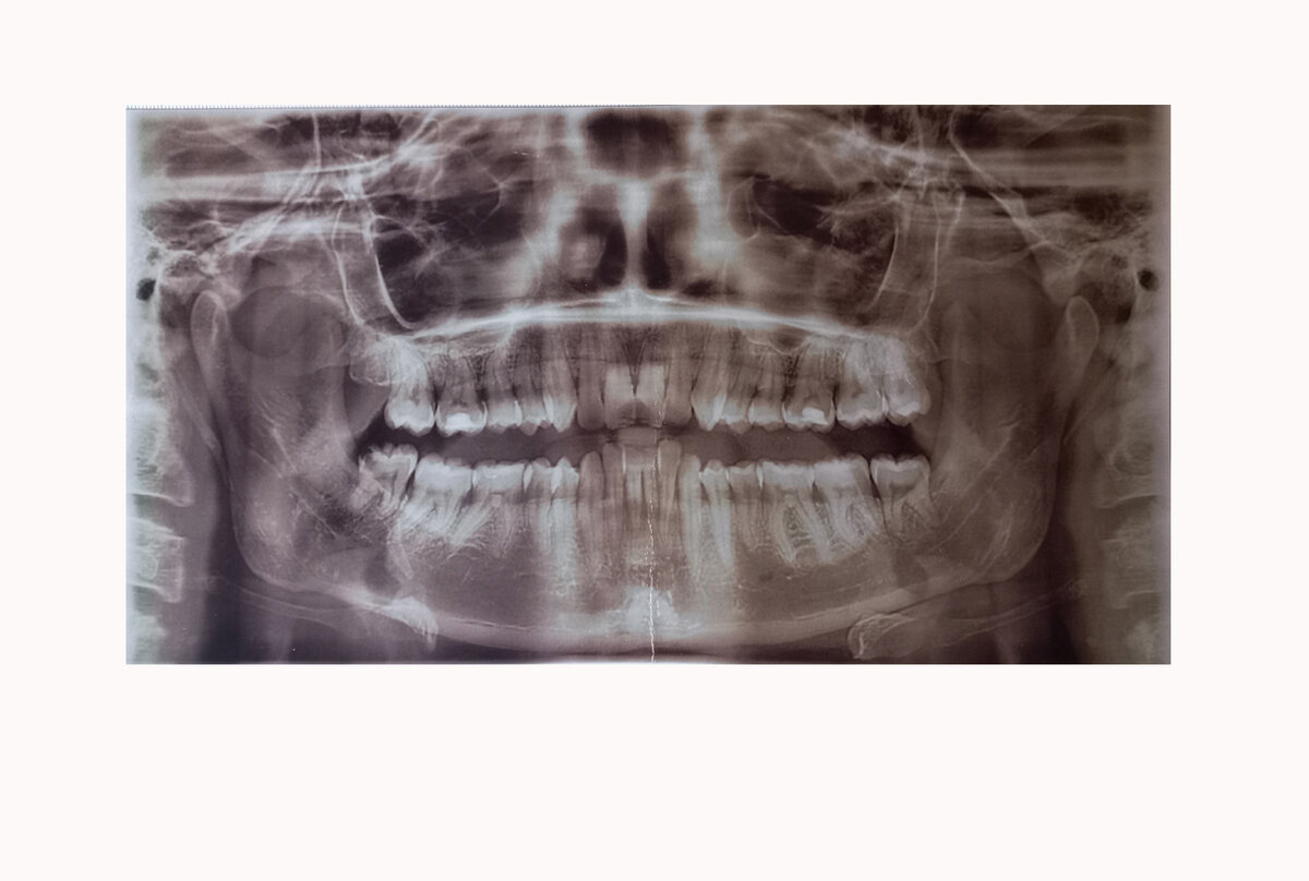
Давно не писала про жизнь после брекетов, а между делом прошло больше семи лет после установки и пять лет после снятия. В свое время я по крупицам искала отзывы тех, кто установил систему в возрасте сорока лет. Поэтому периодически пишу о своих впечатлениях. *Ссылки на предыдущие статьи дам в конце. В двух словах – я довольна! И сейчас даже думаю, что хорошо сэкономила. Во-первых, потратив большое количество денег и сделав идеальный рот, у меня очень изменилось отношение к профилактике, и это не только стоматологии касается, но и всего организма в целом. У меня теперь целый график посещений врачей, когда и что проверять и какие меры профилактики соблюдать. Так сказать, диспансеризация в расширенном формате. Пока получается тратить деньги только на обследования, витамины и проф. чистку зубов, без лечения и лекарств. На примере зубов получилось очень показательно. Пять лет ежегодно хожу на чистку, зато нет кариеса. Удалены только восьмерки из-за брекетов, остальные на месте. Единственное

Давно не писала про жизнь после брекетов, а между делом прошло больше семи лет после установки и пять лет после снятия. В свое время я по крупицам искала отзывы тех, кто установил систему в возрасте сорока лет. Поэтому периодически пишу о своих впечатлениях.

*Ссылки на предыдущие статьи дам в конце.

В двух словах – я довольна!

И сейчас даже думаю, что хорошо сэкономила.

Во-первых, потратив большое количество денег и сделав идеальный рот, у меня очень изменилось отношение к профилактике, и это не только стоматологии касается, но и всего организма в целом.

У меня теперь целый график посещений врачей, когда и что проверять и какие меры профилактики соблюдать. Так сказать, диспансеризация в расширенном формате.

Пока получается тратить деньги только на обследования, витамины и проф. чистку зубов, без лечения и лекарств.

На примере зубов получилось очень показательно. Пять лет ежегодно хожу на чистку, зато нет кариеса. Удалены только восьмерки из-за брекетов, остальные на месте. Единственное, брекеты не избавили меня от клиновидных дефектов, а может даже поспособствовали их развитию, но тут никакой гарантии нет, тем более я была уже возрастным пациентом.

Во-вторых, меня не зря пугали, что возникнут возрастные проблемы, если не лечить десна. А нормально пролечить десна при скученных зубах невозможно, так как нарушено кровообращение.

Сейчас наблюдаю такую картину у ровесников, людей чуть старше и даже младше. Конечно, в рот я не заглядываю, но в моем окружении многие жалуются на кисты, отсутствующие зубы, убыль костной ткани и проблемы с установкой имплантов.

У некоторых, почему-то чаще у мужчин, в 40+ отсутствуют по 2-3 зуба подряд. Годами! Весь зубной ряд едет, так как протезирование очень дорогое. Все это отражается на лице и на здоровье.

В-третьих, те, кто пошел путем установки виниров и сделал это уже некоторое время назад, решает этот квест уже во второй раз. Никто не хочет менять, когда было сказано, продолжают ходить десятками лет и получают оголение корней или кисту.

Моя сестра сейчас в шоке, врачи не хотят браться за ее старый случай. Говорят, ходите пока держится, а потом все передние зубы под удаление. А ей всего сорок девять лет!

Может быть сейчас делают все гораздо лучше, не знаю. Но вопрос скученности зубов никуда не денется все равно. Десна страдает и что будет с зубами – вопрос.

В общем, брекеты это конечно некоторый риск последствий, но с каждым годом я все больше радуюсь, что решилась на установку.

Зубы у меня самые обыкновенные, челюсть маленькая, типичная для коренных жителей болот Петербурга, но сейчас я чувствую себя уникальным экземпляром, умудрившимся сохранить к сорока семи годочкам все свои.

В-четвертых, правильный прикус теперь является хорошим каркасом для лица. Конечно, овал уже не идеальный, но критичных проблем нет.

Невольно прикидываю, сколько я еще сэкономила на пластике. Тем более знаю об этом из первых уст, от Н., жены мужниного брата. Правда, с тех пор как я начала бегать, стала относиться к своей внешности совсем не критично. Мне все нравится, и я всем довольна. Однако хорошие, ровные зубы придают уверенности на двести процентов!

Поэтому, если есть средства, гоните сомнения! В сорок лет совершенно не поздно для такой процедуры.

В моем случае, зубы красиво и ровно встали очень быстро, за несколько месяцев! В общей сложности я носила брекеты 2.5 года, как и обещали. Там уже шло идеальное выставление моляров и притирка жевательной поверхности.

***

Надеюсь, кому-то мой опыт будет полезен.

Удачи и терпения!