Добавить в корзинуПозвонить
Найти в Дзене
Parodoctor

Ответьте себе на вопрос - вам так лечат кариес? Если нет, то не удивляйтесь тому, что случаются рецидивы и осложнения

Проще лечения кариеса может быть только профгигиена. Можно и нужно экономить на этих процедурах - 20 минут и готово, что там делать-то. Дырку залепили, камни сбили. Красота. А потом пульпиты и периодонтиты лечит терапевт, сокрушаясь, что зуб не остался живым. Я удивляю пациентов тем, что качественная чистка корней зубов творит чудеса. Да, избавляет от крови в 85% случаев за один раз. Но за 20 минут мало что в мире можно вылечить качественно. Сегодня об этом и поговорим - о важных тонкостях. Прочитайте статью и ответьте себе на вопрос - вас так лечат? Если нет, то не удивляйтесь тому, что зубы "летят" в трам-тарарам и не видно конца и края постоянным переделкам. Больше 50 % первичных удалений нервов и перелечиваний каналов зубов наверняка можно было бы избежать, относись люди к лечению КАРИЕСА чуть ответственнее. Что может быть интересного в скучном кариесе? А давайте я вам приоткрою этот мир, он интересен и полон нюансов. Грузить сильно не буду) Разберём 2 клинических случая. Чёрные
Оглавление

Проще лечения кариеса может быть только профгигиена. Можно и нужно экономить на этих процедурах - 20 минут и готово, что там делать-то. Дырку залепили, камни сбили. Красота.

А потом пульпиты и периодонтиты лечит терапевт, сокрушаясь, что зуб не остался живым. Я удивляю пациентов тем, что качественная чистка корней зубов творит чудеса. Да, избавляет от крови в 85% случаев за один раз.

Но за 20 минут мало что в мире можно вылечить качественно. Сегодня об этом и поговорим - о важных тонкостях. Прочитайте статью и ответьте себе на вопрос - вас так лечат? Если нет, то не удивляйтесь тому, что зубы "летят" в трам-тарарам и не видно конца и края постоянным переделкам.

Лечение неосложнённого кариеса

Больше 50 % первичных удалений нервов и перелечиваний каналов зубов наверняка можно было бы избежать, относись люди к лечению КАРИЕСА чуть ответственнее.

Что может быть интересного в скучном кариесе? А давайте я вам приоткрою этот мир, он интересен и полон нюансов. Грузить сильно не буду)

Разберём 2 клинических случая.

Лечение кариеса первого верхнего моляра

Зуб 1.6
Зуб 1.6

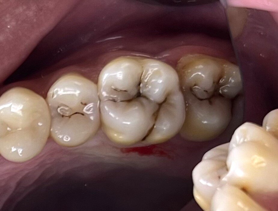
Чёрные полосы многих смутят - точно кариес. Но посмотрите на зуб 1.7, который на фото находится правее 6-ки. Тоже полосы. Но это 100% не кариес, зуб здоров.

Для того, что бы не "лечить" любую пигментированную фиссуру (бороздку) как кариес или не пропускать реальные проблемные места и огромные скрытые полости, снимки делаем обязательно.

  • Кариес НЕ БОЛИТ! Жалоб не будет даже при глубоком процессе кариозном.
  • Болит? Ну тогда это уже не кариес.
Кариес первого моляра - зуб 1.6
Кариес первого моляра - зуб 1.6

А вот и процесс во всей своей красе - боковая и контактная поверхность поражены. Полость очень большая и глазами такое не увидишь.

В основном, именно такая локализация и характерна для кариеса - межзубные промежутки чистить качественно довольно затруднительно для многих. Помним, что такое МИКРОБНАЯ БИОПЛЁНКА и понимаем, что справиться с ней самостоятельно очень трудно. Вот и страдают зубы годами, никак не показывая хозяину проблему.

Итоговое препарирование - зуб 1.6
Итоговое препарирование - зуб 1.6

А вот и результат "просто просверлить" - что проще может быть?

Но если кругом слюна, кровь (и такое бывает), влажное дыхание - капут. Ничего не видно в достаточной для качества мере. Вот такая банальщина.

ИЗОЛЯЦИЯ обязательна!

Вам, как пациентам, интересна теория CID и CAD дентина? Сомневаюсь. Вам нужно, что бы зуб остался с вами живым и невредимым на долгие годы. Что бы не беспокоил.

Убрать весь кариес - это 50% успеха. Но если где-то что-то останется незамеченным, то вся работа никуда не годится - процесс пойдёт дальше, нанося урон зубу и ухудшая его судьбу.

Почему после лечения кариеса случаются рецидивы - а вот поэтому и случаются. Смотри выше.

Итоговое восстановление - зуб 1.6
Итоговое восстановление - зуб 1.6

Качество материалов, используемых при лечении кариеса

Хорошие ли материалы были использованы в той или иной стоматологии? Если плохие, то пиши пропало. Верно?

Сейчас все материалы хорошие и "хорошесть" практически не играет роли, если мы говорим о КОМПОЗИТЕ светового отверждения.

Важен не сам материал, а его:

  • прилегание;
  • послойное внесение;
  • адаптация к стенкам дефекта;
  • формирование базовой анатомии зуба.

Важна ФУНКЦИЯ - не просто закрыть пломбой дефект, а восстановить его природное предназначение. И тут необходима ПОЛНАЯ СУХОСТЬ. Будет влага в рабочей зоне, не будет герметичности. А без неё не будет хорошего результата.

Готовая работа, зуб 1.6
Готовая работа, зуб 1.6

После восстановления зуба наступает этап введения его в прикус и полировки.

Проще всего не заморачиваться и спилить всю красоту за пару движений - плоская пломба не будет мешать, потому что не будет в прикусе.

Долго, муторно - а что делать?

Ещё нужно проверить гладкость и плотность контактного пункта между зубами - нить должна заходить в межзубный промежуток с небольшим усилием и легко, со щелчком, из него выходить.

Рвётся и расползается на волокна зубная нить? Значит, остались нависающие края - постоянное воспаление десны обеспечено, гингивит и пародонтит прилипнут гарантированно.

Всё вышенаписанное - обязательная БАЗА, на которой построен успех лечения. Никакой лишней информации, что бы не перегружать мозг читателей.

Сколько такое лечение занимает времени? Смотрим дальше.

Время, необходимое для качественного лечения кариеса - клинический случай

Зуб 1.4 - первый премоляр, кариес
Зуб 1.4 - первый премоляр, кариес

Жалобы на застревание еды между зубами, разрушение 1.4 и 1.5 зубов, кратковременную реакцию на температурные раздражители.

Зуб 1.5 уже депульпирован, нуждается в перелечивании канала и установке коронки.

Зуб 1.4 проверен холодом - фриз тест. Живой, значит спасаем его в первую очередь!

10 минут - анестезия, очистка зуба и прочая подготовка.

Препарирование зуба 1.4, предварительная изоляция
Препарирование зуба 1.4, предварительная изоляция

14 минут - кариес убран, коффердам установлен. Проведены все необходимые проверки, скосы сделаны, сглаживание - это нужно для того, что бы будущая реставрация прослужила максимально долго.

Окончательная изоляция, зуб 1.4
Окончательная изоляция, зуб 1.4

14 минут - заняла окончательная изоляция. Зуб разрушен глубоко, на уровне десны, дефект выходит на щёчную и нёбную поверхности. Соседний зуб с разрушенной стенкой, поэтому конструкция из матриц была подобрана доктором вот такая индивидуальная.

Восстановлена стенка - зуб 1.4
Восстановлена стенка - зуб 1.4

9 минут - медикаментозные обработки, внесение адгезивных систем и восстановление стенки. Быстро, так как стенка одна, а сухость и адаптация матриц делает этот этап действительно быстрым и комфортным.

Довосстановление жевательной поверхности
Довосстановление жевательной поверхности

5 минут - восстановление жевательной поверхности. Зуб маленький, быстро.

Финиш
Финиш

11 минут - введение в прикус, шлифовка и полировка готовой работы. Благодаря точной адаптации матричной системы, тайминг тоже небольшой.

  • Считаем: 10+14+14+9+5+11 = 63 минуты.

На приём было запасено 75 минут, иногда побольше - нужно же поговорить. Не забываем про уборку и подготовку кабинета между пациентами.

Жаль, что большее количество случаев, процентов 80, относятся к уровням сложности "выше среднего", "сложный", "очень сложный". Всего этого можно было избежать.

Ранняя диагностика, адекватное своевременное лечение, хорошая домашняя гигиена и качественная гигиена профессиональная в индивидуальные сроки - и вы на 90% уменьшаете шансы на встречу с имплантологом и ортопедом.

Цените своих терапевтов, которые возятся с каждым зубом, спасая его всеми силами! Не "посверлить и залепить" - это не про качество.