Добавить в корзинуПозвонить
Найти в Дзене

Чтение мыслей - уже реальность?

Привет, наши дорогие подписчики и гости канала! На связи вновь команда Lie To Me, которая, как ранее и обещала - начинает более подробно и точечно рассматривать все наши имеющиеся на данный момент итоги! В прошлой статье, где были расписаны наши достижения за последние полгода, мы упомянули о выходе статьи ВАК, посвящённый, как бы это не было удивительно - чтению мыслей. Научная статья ВАК уже доступна к прочтению по этой ссылке. Однако - разбираться в терминологии с утра за кружкой чая кому-то вряд ли хочется. Поэтому - мы решили объяснить всю эту сложную и непонятную научную тематику простыми словами. А главное - объяснить, как же это относится к нам и что сулит человечеству. Будущее наступило, поэтому - пора наступить в него(Простите). Ну что же - полетели! Наука В наше время наука развивается с огромной скоростью, и многие открытия, которые раньше казались фантастическими, сегодня стали реальностью. Одной из таких технологий является фМРТ (функциональная магнитно-резонансная томогр
Оглавление

Привет, наши дорогие подписчики и гости канала! На связи вновь команда Lie To Me, которая, как ранее и обещала - начинает более подробно и точечно рассматривать все наши имеющиеся на данный момент итоги!

В прошлой статье, где были расписаны наши достижения за последние полгода, мы упомянули о выходе статьи ВАК, посвящённый, как бы это не было удивительно - чтению мыслей. Научная статья ВАК уже доступна к прочтению по этой ссылке. Однако - разбираться в терминологии с утра за кружкой чая кому-то вряд ли хочется. Поэтому - мы решили объяснить всю эту сложную и непонятную научную тематику простыми словами. А главное - объяснить, как же это относится к нам и что сулит человечеству.

Будущее наступило, поэтому - пора наступить в него(Простите). Ну что же - полетели!

Наука

В наше время наука развивается с огромной скоростью, и многие открытия, которые раньше казались фантастическими, сегодня стали реальностью. Одной из таких технологий является фМРТ (функциональная магнитно-резонансная томография), которая позволяет изучать работу мозга в реальном времени и декодировать мысли человека(об этом чуть дальше ;))

Декодирование мыслей через фМРТ

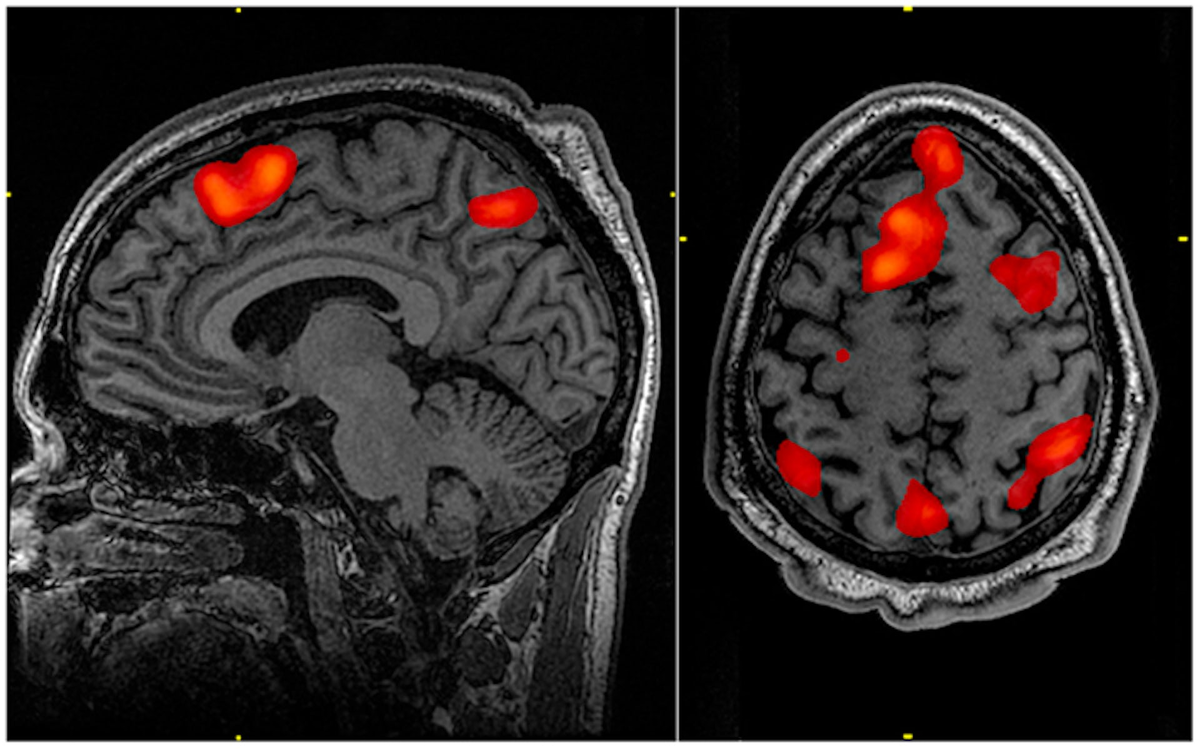
ФМРТ - это метод медицинской визуализации, который позволяет получать изображения мозга с высоким разрешением. Этот метод использует магнитные поля для создания изображений мозга, которые затем могут быть обработаны нейросетями для декодирования мыслей человека.

Нейросети - это алгоритмы машинного обучения, которые используются для обработки данных и выявления закономерностей. Они могут использоваться для декодирования мыслительных процессов человека, таких как распознавание образов, понимание языка и принятие решений.

Одним из примеров использования фМРТ и нейросети является исследование, проведенное в Университете Торонто и Техаса. В этом исследовании ученые использовали фМРТ для измерения активности мозга человека и распознавания его мыслей. Затем эти данные были переданы нейросети, которая смогла выделить закономерности в работе мозга и декодировать мысли. Однако - тогда это было декодирование исключительно в текст.

Общие результаты эксперимента представлены далее:

-точность «чтения мыслей» 72-84%. Воспринимаемая речь (испытуемые слушали запись);

-точность «чтения мыслей» 41-74%. Мысленная речь (испытуемые про себя рассказывали историю длительностью не более минуты);

-точность «чтения мыслей» 21-45%. Декодинг субъективной интерпретации ранее запечатлённого зрительными анализаторами (ролики Pixar без звука).

-2

Учёные из Японского Университета Осака вышли на совершенно иной уровень - в этот раз декодирование подразумевало собой перевод полученных сигналов коры головного мозга в текст. Этот текст получилось преобразовать в картинку, посредством Stable Diffusion 2.0(с дополнительным этапом обучения, конечно же).

Исследователи из Нидерландов смогли произвести перевод полученных в результате обследования сигналов коры в портреты с поразительным сходством. Для этого испытуемым специально показывались портреты людей, которых они видели впервые в жизни, после чего проводилось исследование и происходило декодирование. Точность порой доходила до 98%.

Это исследование показало, что нейросети могут использоваться для изучения работы мозга и понимания того, как люди думают и принимают решения. Кроме того, это исследование также показало, что фМРТ может быть использована для изучения различных аспектов работы мозга, таких как память, внимание и мышление.

Что значит для человечества?

Вариантов применения полученной технологии - множество. Начиная от банального изучения когнитивных способностей человека и заканчивая противодействием терроризму и выработке новых гипотез в педагогике, психологии и маркетинге. И это - лишь то, что мы смогли представить себе за минуту.

Психиатрия - изучение причин отклонения и особенностей мышления людей, страдающих психическими расстройствами. Произведение декодирования мыслей в случае проведения собеседования или судебной экспертизы.

Медицина. Возможность взаимодействия с пациентами, утратившими способность к механической передаче информации посредством слов, звуков, жестов и т.д.

Изучение поведения животных.

-3

Что значит для нас?

Т.К. наша команда в первую очередь занимается детекцией лжи - мы будем развивать данную технологию исключительно в целях внедрения в практическую деятельность. Судебная экспертиза, способная вытащить из преступника сами его мысли. Собеседование, где замечается не только факт лжи - но и сама её суть без дополнительных расспросов и уловок.

Значит ли это, что мы не сможем проводить дополнительные исследования по этой теме и выполнять функции оператора? Конечно же - нет.

Команда Lie To Me состоит из людей, не только направленных идеей извлечения прибыли. Мы понимаем, насколько важна подобная технология в современной действительно и какую пользу она может принести человечеству. А везде, где есть польза - польза должна быть для всех. Поэтому - команда пусть и будет заниматься таковыми разработками с целью внедрения в свою прямую деятельность, но - она ни в коем случае не отказывается от исследований в смежных областях и оперантном обеспечении подобных исследований.

Заключение

Таким образом, фМРТ и нейросети могут быть использованы для декодирования мыслей и изучения работы мозга. Эти технологии могут помочь нам лучше понять, как работает наш мозг и как мы принимаем решения. Однако, перед тем как использовать эти технологии для декодирования мыслей, необходимо учитывать этические аспекты и не нарушать конфиденциальность и права человека.

Также мы предлагаем вам несколько статей с углублением в отдельные темы:

Мимические признаки в психологии: как они помогают понять человека и его эмоции

Микровыражение страха

Как с помощью невербалики наладить отношения с людьми

Кого по теме психологии эмоций можно изучить?

Lie To Me Team - What It Is?

На этом мы закончим этот пост. Надеемся, что вам было интересно. Скорее подписывайтесь, дабы не пропустить ещё уйму полезной и важной информации из области "Языка тела"!

Хотите задать свой вопрос? Комментарии под постом всегда открыты!

Наш TG: https://t.me/psdppsdpdssd

Наш Яндекс.Дзен: https://dzen.ru/psdppsdpdssd

Наш VK: https://vk.com/psdppsdpdssd

А с вами была команда "Lie To Me". До новых встреч!