Найти в Дзене
Аркада-Мед

Альвеолит после удаления зуба: как распознать и избежать осложнений

Оглавление

Введение

Важно вовремя распознать проблему, поскольку альвеолит не только вызывает сильный дискомфорт, но и может привести к серьезным осложнениям. Нарастающая боль, отек и неприятный запах изо рта — это первые признаки, которые нельзя игнорировать. Чем быстрее вы обратитесь к стоматологу, тем проще будет решить проблему и избежать тяжелых последствий, таких как инфекция костной ткани или хронические воспалительные процессы.

В этой статье мы подробно расскажем, как вовремя распознать симптомы альвеолита, какие формы заболевания бывают, какие осложнения возможны при отсутствии лечения и что нужно делать, чтобы защитить себя от этого неприятного состояния. Вы найдете практические советы, реальные истории пациентов и экспертные рекомендации стоматологов. Наши материалы помогут вам не только избежать проблем, но и обсудить их с друзьями и близкими.Альвеолит — это воспалительное заболевание лунки зуба, которое развивается
после его удаления. Обычно лунка, где находился зуб, заживает естественным образом, но в некоторых случаях этот процесс может быть нарушен. Причина кроется в том, что вместо защитного кровяного сгустка, который должен формироваться в лунке, он либо вовсе не образуется, либо разрушается под воздействием внешних факторов. В результате ткани остаются незащищенными и подверженными инфекциям.

Почему же альвеолит возникает именно после удаления зуба? Это связано с нарушением регенерации тканей в месте операции. Основными провоцирующими факторами являются:Недостаточный уход за ротовой полостью после процедуры;
Курение, которое замедляет заживление;
Механическое повреждение лунки, например, при использовании зубочисток или чрезмерном полоскании;
Наличие хронических заболеваний, ослабляющих иммунитет;
Сложное
удаление зуба, которое оставляет травмированные ткани.

Краткое содержание

  • Альвеолит: причины и факторы риска — нарушение процесса заживления лунки после удаления зуба из-за разрушения кровяного сгустка, инфекций или травм тканей.
  • Как распознать альвеолит — усиливающаяся боль, отек, неприятный запах изо рта и повышение температуры — ключевые симптомы, которые нельзя игнорировать.
  • Формы альвеолита: от серозного до хронического — важно вовремя диагностировать и лечить, чтобы избежать перехода в более сложные стадии заболевания.
  • Ошибки в уходе за полостью рта после удаления зуба — курение, механическое повреждение и неправильное полоскание могут ускорить развитие альвеолита.
  • Раннее обращение к врачу помогает избежать осложнений — своевременная диагностика и лечение альвеолита предотвращают серьезные последствия, такие как остеомиелит.

Причины развития альвеолита: что приводит к воспалению лунки после удаления зуба

Альвеолит (сухая лунка зуба) — одно из самых распространенных осложнений после удаления зуба. Его появление связано с рядом факторов, которые нарушают процесс заживления лунки. Понимание причин помогает пациентам избегать риска и принимать меры предосторожности.

Основные причины альвеолита

Развитие альвеолита происходит из-за сочетания внешних факторов и особенностей организма пациента. Среди основных причин можно выделить следующие:

Разрушение кровяного сгустка

После удаления зуба в лунке образуется кровяной сгусток, который выполняет защитную функцию. Если этот сгусток смещается или разрушается, лунка остается незащищенной от воздействия внешних факторов, что приводит к воспалению.

Что может вызвать разрушение сгустка?

Использование соломинок для питья.

Инфицирование лунки

Если в лунку попадают бактерии, они провоцируют развитие воспалительного процесса. Причины инфицирования включают:

  • Неполное удаление корня зуба.
  • Остатки пищи в ране.

Несоблюдение гигиены полости рта после операции.

Ошибки при удалении зуба

Неправильная техника удаления зуба может привести к травмам тканей или кости, что затрудняет заживление. Это особенно актуально при сложных случаях, таких как удаление зубов мудрости.


Пример: Врач случайно оставляет в лунке фрагмент кости или зуба, что становится очагом инфекции.

Особенности организма пациента

Не всегда причины альвеолита связаны с действиями врача или пациента. Важную роль играют особенности организма, такие как:

  • Ослабленный иммунитет.
  • Хронические заболевания (например, диабет).
  • Склонность к плохой свертываемости крови.

Как неправильные действия пациента увеличивают риск альвеолита

Поведение пациента после удаления зуба играет ключевую роль в предотвращении осложнений. Многие недооценивают важность соблюдения рекомендаций врача. Например, курение сразу после операции создает вакуум в ротовой полости, что разрушает кровяной сгусток.

Сравнение: Представьте, что вы пытаетесь зарастить рану на коже, но постоянно снимаете защитную повязку. Подобное происходит с лункой, если игнорировать рекомендации стоматолога.

Пример из практики: как пациент допустил развитие альвеолита

Иван П., 35 лет, обратился к стоматологу с жалобами на сильную боль и неприятный запах изо рта через три дня после удаления зуба. Как выяснилось, после операции он проигнорировал советы врача и продолжил курить. Разрушение кровяного сгустка привело к инфицированию лунки и развитию гнойного альвеолита.

Почему важно учитывать причины развития альвеолита

Знание причин возникновения альвеолита помогает пациентам избегать распространенных ошибок. Соблюдая рекомендации врача и уделяя внимание гигиене, можно значительно снизить риск осложнений.

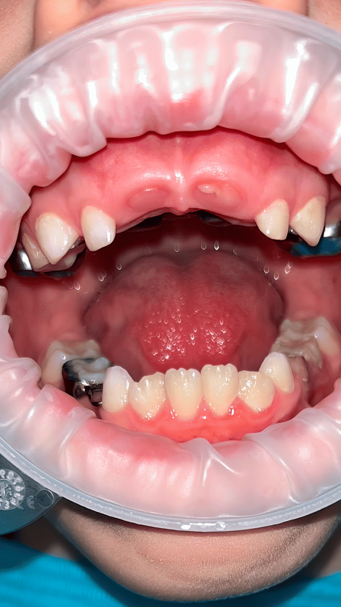
Симптомы альвеолита

-2

Фото «Альвеолит»: Шкурат Ольга Владимировна Кейс № 18

Альвеолит — это заболевание, которое часто начинается незаметно, но может быстро перерасти в серьезную проблему, если его вовремя не распознать. Многие пациенты после удаления зуба испытывают дискомфорт, но важно понимать разницу между нормальными послеоперационными ощущениями и тревожными сигналами, которые указывают на воспаление.

Типичные симптомы альвеолита

Первым и главным признаком альвеолита является усиливающаяся боль в области удаленного зуба. Если нормальная послеоперационная боль обычно стихает через 2–3 дня, то при альвеолите она становится более интенсивной и может распространяться на соседние участки челюсти, ухо или висок. Другие характерные симптомы включают:

  • Отек и покраснение тканей вокруг лунки. Пораженная область может выглядеть воспаленной, а прикосновение к ней вызывает сильный дискомфорт.
  • Неприятный запах изо рта. Это связано с инфекцией в лунке и накоплением бактерий.
  • Повышение температуры тела. В некоторых случаях организм реагирует на воспаление лихорадкой, что указывает на развитие инфекции.
  • Отсутствие кровяного сгустка в лунке. Если внимательно осмотреть лунку, можно заметить, что она кажется сухой, без характерного защитного сгустка крови.

Почему пациенты путают альвеолит с обычными послеоперационными ощущениями

После удаления зуба многие ожидают боли и дискомфорта, что иногда затрудняет своевременное распознавание альвеолита. Например, умеренная боль в первые дни считается нормой, особенно если зуб был сложным в удалении. Однако важно обращать внимание на то, как боль меняется: если она усиливается вместо того, чтобы уменьшаться, это тревожный сигнал.

Также пациенты могут игнорировать отек, считая его естественным следствием хирургического вмешательства. Но если отек сопровождается пульсирующей болью или увеличивается с каждым днем, это может быть признаком воспаления.

Как отличить нормальный дискомфорт от признаков альвеолита

Чтобы помочь пациентам различить нормальные послеоперационные ощущения и симптомы альвеолита, можно использовать простую аналогию:

  • Нормальная боль после удаления зуба — это как ушиб: она постепенно уходит, особенно если соблюдать рекомендации врача.
  • Боль при альвеолите — это как сильный ожог, который только становится хуже, если его не лечить.

Появление неприятного запаха изо рта или повышение температуры — это дополнительные индикаторы, которые не характерны для обычного заживления.

История пациента: как своевременное обращение помогло избежать осложнений

Мария, 34 года, обратилась к стоматологу через три дня после удаления зуба мудрости. Она заметила, что боль в области лунки не утихала, а стала сильнее, особенно ночью. Кроме того, появился неприятный запах, и ей стало трудно жевать. Сначала Мария решила, что это нормальные последствия сложного удаления, но обратилась к врачу на всякий случай.

Стоматолог обнаружил начальную стадию альвеолита и провел очищение лунки. Благодаря раннему вмешательству удалось избежать осложнений, и уже через несколько дней Мария почувствовала значительное облегчение.

Этот случай показывает, насколько важно прислушиваться к своему организму и не игнорировать подозрительные симптомы. Если вы заметили, что боль усиливается, а общее состояние ухудшается, лучше перестраховаться и обратиться к специалисту. Помните: чем раньше начать лечение, тем проще и быстрее пройдет восстановление.

Формы зубного альвеолита

Альвеолит, несмотря на общую причину возникновения, может проявляться в разных формах, каждая из которых имеет свои симптомы и особенности течения. Разделение на формы помогает стоматологам быстрее диагностировать заболевание и назначить эффективное лечение. Давайте рассмотрим основные виды альвеолита и их характеристики.

Серозный альвеолит: начало воспаления

Серозный альвеолит — это начальная форма воспалительного процесса. Он проявляется легкими симптомами, которые часто игнорируются пациентами, так как они могут быть схожи с обычными послеоперационными ощущениями.

Признаки серозного альвеолита:

  • Боль слабая или умеренная, усиливается только при приеме пищи или надавливании на область лунки.
  • Легкий отек тканей вокруг лунки.
  • Сохранение кровяного сгустка, хотя его структура может быть нарушена.

Эта форма может сохраняться в течение нескольких дней и при отсутствии лечения легко перейти в более тяжелую стадию.

Гнойный альвеолит: выраженные симптомы и опасность

Гнойный альвеолит — это осложненная форма, которая развивается при отсутствии лечения серозного воспаления. Он характеризуется ярко выраженными симптомами, которые доставляют пациенту значительный дискомфорт и требуют немедленного медицинского вмешательства.

Признаки гнойного альвеолита:

  • Сильная, пульсирующая боль, которая не проходит даже после приема обезболивающих.
  • Выраженный отек и покраснение тканей. Отек может распространяться на соседние области, включая щеку и губы.
  • Появление неприятного запаха изо рта из-за скопления гноя в лунке.
  • Повышение температуры тела, общее ухудшение самочувствия.
  • Гнойные выделения из лунки.

На этом этапе инфекция уже активно распространяется, и задержка в лечении может привести к тяжелым осложнениям, включая остеомиелит или заражение крови.

Хронический альвеолит: запущенное воспаление

Хронический альвеолит развивается, если гнойная форма заболевания не была своевременно вылечена. Эта стадия характеризуется вялотекущим воспалением и требует длительного и сложного лечения.

Признаки хронического альвеолита:

  • Постоянная, но менее интенсивная боль, которая может усиливаться при жевании.
  • Умеренный, но стойкий отек и покраснение.
  • Признаки интоксикации организма: слабость, утомляемость.
  • Рубцевание тканей вокруг лунки.

Хроническая форма часто приводит к необратимым изменениям в костной ткани и может требовать хирургического вмешательства.

Сравнение форм альвеолита: как прогрессирует болезнь

Если серозный альвеолит можно сравнить с легким воспалением, которое легко устранить при правильном уходе, то гнойная и хроническая формы представляют собой гораздо более серьезные стадии.

-3

История пациента: последствия игнорирования симптомов

Андрей, 42 года, заметил легкую боль в области удаленного зуба через два дня после операции. Поначалу он не придал этому значения, считая, что это нормальная реакция. Однако через неделю боль стала пульсирующей, а десна сильно опухла. Вместо того чтобы обратиться к врачу, Андрей продолжал принимать обезболивающие.


Когда он все же посетил стоматолога, гнойный альвеолит уже распространился, вызвав повреждение соседних тканей. Лечение потребовало чистки лунки, курса антибиотиков и длительного восстановления.

Этот случай показывает, насколько важно не откладывать визит к стоматологу при появлении первых симптомов. Чем раньше начнется лечение, тем проще и быстрее пройдет выздоровление.

Возможные осложнения альвеолита

Альвеолит — это не просто временный дискомфорт после удаления зуба. Если воспаление остается без лечения, оно может привести к серьезным последствиям, затрагивающим не только ротовую полость, но и весь организм. Давайте разберем, какие осложнения могут возникнуть и почему так важно вовремя обратиться за помощью.

Распространение инфекции: опасность для всей ротовой полости

Одним из первых осложнений нелеченного альвеолита становится распространение инфекции на соседние участки. Воспаление может затронуть:

  • Десны, вызывая гингивит или пародонтит.
  • Соседние зубы, что может привести к их расшатыванию или необходимости удаления.
  • Щеки, губы и даже слюнные железы.

Инфекция в ротовой полости быстро распространяется из-за благоприятной среды для роста бактерий. Это можно сравнить с тем, как искра в сухой траве разгорается в пожар.

Остеомиелит: разрушение костной ткани

Одно из самых серьезных осложнений — остеомиелит, воспаление костной ткани челюсти. Бактерии проникают глубже, разрушая структуру кости и приводя к необратимым изменениям.

Симптомы остеомиелита:

  • Постоянная, сильная боль, которая не снимается даже обезболивающими.
  • Опухание челюсти, затрудненное открывание рта.
  • Высокая температура тела, свидетельствующая о распространении инфекции.

Лечение остеомиелита включает хирургическое вмешательство и длительный курс антибиотиков, а также может потребовать реконструкции кости.

Общие инфекционные осложнения: риск для всего организма

Если инфекция распространяется за пределы ротовой полости, могут развиться общие осложнения, такие как сепсис — заражение крови.

Сепсис проявляется:

  • Резким ухудшением общего состояния.
  • Повышением температуры до критических значений.
  • Слабостью, головокружением, учащенным сердцебиением.

Сепсис требует немедленной госпитализации, так как он угрожает жизни пациента.

Почему важно обратиться к стоматологу вовремя

Игнорирование первых симптомов альвеолита — это как закрывать глаза на медленно разгорающийся пожар. Что кажется небольшой проблемой сегодня, может стать причиной серьезных осложнений завтра.

Ранняя диагностика и лечение альвеолита позволяет предотвратить развитие инфекции и сохранить здоровье не только
зубов, но и всего организма.

История пациента: печальные последствия промедления

Марина, 35 лет, почувствовала легкую боль после удаления зуба мудрости. Спустя неделю боль усилилась, а десна начала опухать. Вместо визита к стоматологу она решила подождать, надеясь, что симптомы пройдут сами.

Когда Марина наконец обратилась за помощью, воспаление уже перешло в остеомиелит. Лечение включало хирургическую чистку лунки, удаление части поврежденной кости и длительный курс антибиотиков. На восстановление ушло несколько месяцев, а здоровье челюсти так и не удалось полностью вернуть.

Этот случай подчеркивает, насколько важно не откладывать визит к врачу при первых признаках альвеолита. Забота о своем здоровье всегда начинается с своевременных действий.

Профилактические меры: как предотвратить развитие альвеолита

Альвеолит — это состояние, которого можно избежать, если уделить внимание профилактике. Правильное поведение до и после удаления зуба, а также регулярная забота о здоровье полости рта помогут минимизировать риски воспаления.

Рекомендации до и после удаления зуба

Профилактика альвеолита начинается еще до посещения стоматолога. Соблюдение правил гигиены, отказ от вредных привычек и выполнение всех рекомендаций врача помогут создать оптимальные условия для заживления.

Что делать до операции?

  • Сообщите врачу о своих заболеваниях. Хронические болезни, такие как диабет или проблемы с иммунитетом, могут замедлить заживление.
  • Соблюдайте гигиену рта. Перед операцией важно тщательно почистить зубы и использовать антисептический ополаскиватель.
  • Подготовьтесь морально. Сниженный стресс и расслабленное состояние улучшают общий процесс восстановления.

Поведение после операции

  • Следуйте рекомендациям врача. Если стоматолог назначил полоскания, антибиотики или обезболивающие, важно строго придерживаться указаний.
  • Избегайте горячих напитков, алкоголя и курения. Это увеличивает риск разрушения кровяного сгустка в лунке, что может привести к альвеолиту.
  • Не трогайте лунку языком или предметами. Механическое воздействие препятствует правильному заживлению.

Правильный уход за полостью рта

После удаления зуба необходимо поддерживать идеальную чистоту ротовой полости. Это включает:

  • Использование мягкой зубной щетки.
  • Избегание полоскания в первые сутки, чтобы не смыть кровяной сгусток.
  • Применение специальных антисептических растворов на вторые сутки.

Регулярная гигиена предотвращает накопление бактерий и способствует быстрому заживлению.

Регулярные визиты к стоматологу

Даже если кажется, что лунка заживает нормально, посещение стоматолога через несколько дней после операции — обязательная мера. Врач сможет оценить состояние тканей и исключить начало воспалительного процесса.

"Самый эффективный способ избежать осложнений после удаления зуба — это строгая гигиена и четкое выполнение рекомендаций врача. Если вы чувствуете малейший дискомфорт, лучше лишний раз проконсультироваться," — говорит доктор Сергей Викторович стоматолог-хирург

Какие меры профилактики вы считаете наиболее эффективными?

Мы перечислили основные рекомендации, которые помогают предотвратить альвеолит. А какие профилактические меры были наиболее полезны в вашем случае? Поделитесь своим опытом в комментариях! Ваши советы могут помочь другим читателям избежать подобных проблем.

Заключение

Альвеолит — это серьезное осложнение, которое может возникнуть после удаления зуба, но его можно избежать, если вовремя распознать симптомы и следовать рекомендациям стоматолога. Мы обсудили основные признаки воспаления, формы альвеолита и возможные осложнения, а также меры профилактики, которые помогут минимизировать риски. Помните: раннее обращение к врачу — залог успешного лечения и предотвращения серьезных последствий. Берегите свое здоровье и не забывайте делиться своими мыслями и опытом в комментариях!

Источник: https://arkada-med.ru/alveolit-posle-udaleniya-zuba