Найти в Дзене

Увеличение селезенки: причины и возможные проявления

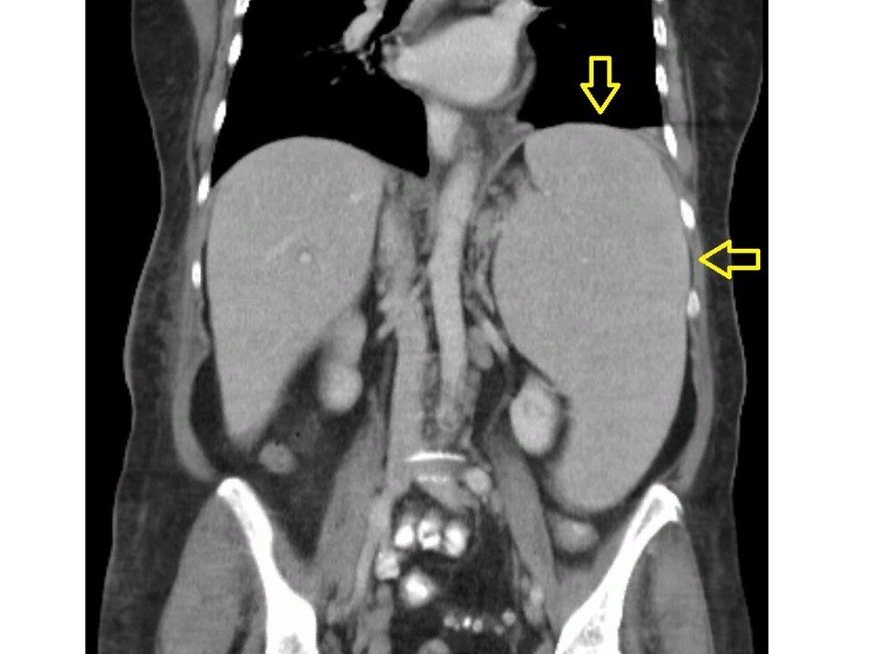
Всем здравствуйте! Помню те неистовые ощущения, когда будучи студентом впервые прощупал селезенку. Честно говоря, это смог бы сделать даже простой человек с улицы, потому что ее продольный размер тянулся от левого подреберья до малого таза. Это был пациент с хроническим лимфолейкозом - онкологическим заболеванием крови. С тех времен прошло немало времени, но таких огромных селезенок мне больше не попадалось, а вот с умеренным увеличением органа встречаться приходилось. Напомню, что селезенка находится в области левого подреберья, и она выполняет ряд важных функций: очищение крови от старых клеток, участие в поддержании иммунитета, а также в ней находится резерв крови, который может высвобождаться и при необходимости поступать в кровеносное русло, например при интенсивной физической нагрузке или кровопотере. Причины увеличения селезенки Хочу сказать, что они крайне разнообразны, но по своей сути являются серьезными заболеваниями. Поэтому выяснение причинного фактора спленомегалии стан
Оглавление

Всем здравствуйте!

Помню те неистовые ощущения, когда будучи студентом впервые прощупал селезенку. Честно говоря, это смог бы сделать даже простой человек с улицы, потому что ее продольный размер тянулся от левого подреберья до малого таза. Это был пациент с хроническим лимфолейкозом - онкологическим заболеванием крови.

С тех времен прошло немало времени, но таких огромных селезенок мне больше не попадалось, а вот с умеренным увеличением органа встречаться приходилось.

Напомню, что селезенка находится в области левого подреберья, и она выполняет ряд важных функций: очищение крови от старых клеток, участие в поддержании иммунитета, а также в ней находится резерв крови, который может высвобождаться и при необходимости поступать в кровеносное русло, например при интенсивной физической нагрузке или кровопотере.
Стрелками отмечена гигантская селезенка
Стрелками отмечена гигантская селезенка

Причины увеличения селезенки

Хочу сказать, что они крайне разнообразны, но по своей сути являются серьезными заболеваниями. Поэтому выяснение причинного фактора спленомегалии становится важнейшей диагностической задачей.

К увеличению селезенки могут приводить:

  • Цирроз печени;
  • Вирусные, бактериальные и паразитарные заболевания, например инфекционный мононуклеоз, сепсис, лейшманиоз или малярия;
  • Хроническая сердечная недостаточность;
  • Онкологические заболевания крови или по простому лейкозы;
  • Аутоиммунные заболевания: ревматоидный артрит, системная красная волчанка;
  • Болезни, сопровождающиеся накоплением продуктов обмена веществ, что бывает при болезни Гоше;

Как вы могли заметить, в приведенном списке нет болезней, которые бы можно было сравнить с легкой прогулкой.

Симптомы увеличения селезенки

Спленомегалия - это серьезный симптом, с которым нужно обязательно разбираться. Правда большая проблема в том, что нередко человек не подозревает о том, что у него увеличивается орган.

-3

Иногда люди могут отмечать дискомфорт или тянущие боли в области левого подреберья. Реже бывает так, что человек начинает быстрее наедаться. Это связано со сдавливанием желудка увеличенной селезенкой.

Ну и в некоторых случаях люди, особенно худощавого телосложения, могут самостоятельно прощупать увеличенный орган. Установить же точные размеры помогают УЗИ и другие более дорогостоящие методы исследования.

Заключение

В случае увеличения селезенки всегда нужно действовать исключительно на причинный фактор, и лишь только тогда орган начнет принимать исходные размеры. А установить его может только врач, поэтому вовремя обращайтесь за медицинской помощью и регулярно проходите профилактические осмотры.

Будьте здоровы!

-4