Добавить в корзинуПозвонить
Найти в Дзене
Лечащий Врач

Как мозг может перестраиваться после удаления его половины

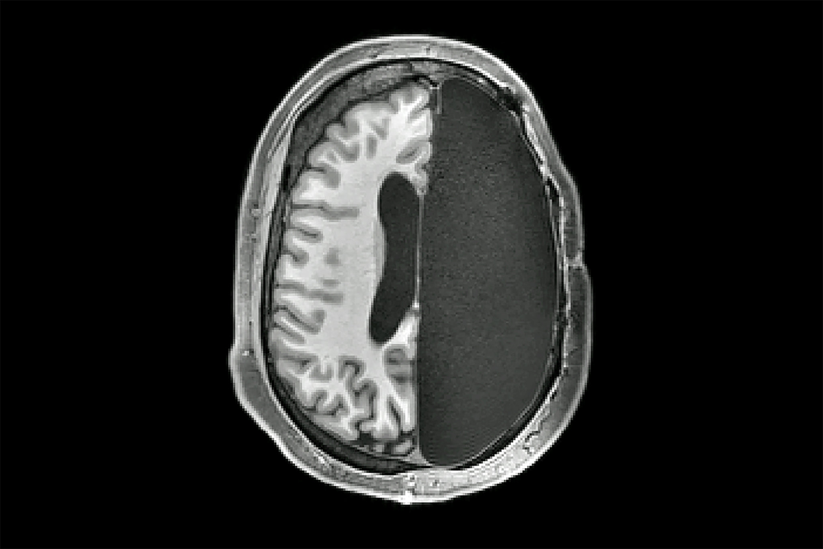
Гемисферэктомия – операция по удалению половины мозга, была изобретена еще в 1920-ых годах для лечения злокачественных опухолей мозга. Со временем показания для операции были расширены и в настоящее время они применяется у многих детей при различных тяжелых припадках и пороках развития, причиной которой является одна из половин мозга. После этой хирургической процедуры многие дети остаются способны ходить, разговаривать и выполнять множество различных задач. Примерно 20% из них даже находят оплачиваемую работу уже будучи взрослыми. В научном журнале Cell Reports была опубликована статья о последствиях операции и поразительном уровне пластичности мозга. Ученые обнаружили группы нейронов, которые реагируют на удаление симметричной ткани и начинают функционировать в универсальном режиме, выполняя работу "за двоих". Исследование было проспонсировано некоммерческой организацией с целью улучшить понимание родителей тех детей, которым показана эта операция. Многие специалисты, работающие на М

Гемисферэктомия – операция по удалению половины мозга, была изобретена еще в 1920-ых годах для лечения злокачественных опухолей мозга. Со временем показания для операции были расширены и в настоящее время они применяется у многих детей при различных тяжелых припадках и пороках развития, причиной которой является одна из половин мозга.

После этой хирургической процедуры многие дети остаются способны ходить, разговаривать и выполнять множество различных задач. Примерно 20% из них даже находят оплачиваемую работу уже будучи взрослыми.

В научном журнале Cell Reports была опубликована статья о последствиях операции и поразительном уровне пластичности мозга. Ученые обнаружили группы нейронов, которые реагируют на удаление симметричной ткани и начинают функционировать в универсальном режиме, выполняя работу "за двоих".

Источник: Caltech Brain Imaging Center и NYT
Источник: Caltech Brain Imaging Center и NYT

Исследование было проспонсировано некоммерческой организацией с целью улучшить понимание родителей тех детей, которым показана эта операция.

Многие специалисты, работающие на МРТ, видят пациентов, перенесших гемисферэктомию, и не могут найти никаких внешних отличий: обычный человек заходит в комнату для обследования, здоровается, ведет беседу. И только позже по результатам МРТ-сканов диагносты могут сильно удивиться.

"Каждый раз, глядя нас сканы этих пациентов, я думаю: ого, такой мозг никак не может функционировать", – делится впечатлениями нейрофизиолог из Калифорнийского института технологий. "Если взять любую другую систему, состоящую из множества функциональных единиц, связанных между собой, и удалить ее половину – она перестанет работать. Будь это сердце человека или ноутбук – результат одинаков". Но только не в случае с мозгом.

В нормальных условиях разные половины мозга ответственны за разные функции: правое полушарие контролирует движения левой части тела, а левое полушарие отвечает за правую половину. Некоторые функции, например, распознавание лиц, работают за счет обоих полушарий.

В мозге пациентов с перенесенной операцией многие нейронные связи начинают работать активнее, приспосабливаясь обрабатывать различную сенсомоторную и зрительную информацию, внимание и социальные сигналы с усиленной мощностью.

В настоящее время при наличии показаний операцию рекомендуется проводить в очень раннем возрасте, до того, как ребенок достигнет 4-5 лет. В этом случае у мозга будет больше времени и возможностей для последующей перестройки, т.к. феномен нейропластичности работает куда более эффективно в раннем детстве. Возраст наблюдаемых в актуальном исследовании детей – от 3 месяцев до 11 лет.

Операция показана при полной неэффективности медикаментозной терапии. Эта сложная хирургическая процедура длится около 8 часов, но, к сожалению, даже она не всегда может гарантировать излечение от тяжелых припадков. После операции значительно ослабевает возможность контролировать противоположные части тела, выпадает часть поля зрения и слуха, но достойный уход и реабилитационные меры могут качественно улучшить исход операции.

-2

Журнал Лечащий Врач