Найти в Дзене
Все о КТ и МРТ

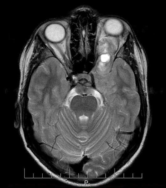
ВСЕ О МРТ СЛЕЗНЫХ ЖЕЛЕЗ

Заболевания слезной железы относят к офтальмологическим патологиям. По данным статистики Всемирной организации здравоохранения около 285 миллионов человек во всем мире страдает от различных заболеваний глаз, и порядка 80 процентов из них - это люди возраста после 50 лет. Иногда в зрительном аппарате может выйти из строя на первый взгляд безобидная слезная железа. Причинами расстройства ее функции
Оглавление

Заболевания слезной железы относят к офтальмологическим патологиям. По данным статистики Всемирной организации здравоохранения около 285 миллионов человек во всем мире страдает от различных заболеваний глаз, и порядка 80 процентов из них - это люди возраста после 50 лет. Иногда в зрительном аппарате может выйти из строя на первый взгляд безобидная слезная железа. Причинами расстройства ее функции может быть стеноз слезного канала, окклюзия, инфекции, онкологические заболевания в пазухах носа, дефект носовой перегородки, возрастные изменения.

-2

ЧТО ПОКАЖЕТ МРТ СЛЕЗНОЙ ЖЕЛЕЗЫ

Наиболее часто врачам-окулистам в медицинских центрах Санкт-Петребурга приходится иметь дело со следующими патологиями слезной железы: Дакриоцистит или воспаление слезного мешочка.

Слезы без причины - это может быть признак не плаксивости, а болезни. Они возникают, когда нарушен отток по слезно-носовому каналу. Этот канал соединяет глаз с носом, поэтому когда слёзы стоят в глазах, ребенок хлюпает носом. Слезы так оттекают из глазной области через нос. Но бывают ситуации, когда слезный мешочек, который накапливает слезу, воспаляется. Тогда, кроме спонтанных слез, у больного появляется боль во внутреннем уголке глаза. Дакриоцистит обычно поражает только один глаз. Внешним признаком этого заболевания является красный отек у носа. В группу риска заболеть этим недугом входят люди, которые работают в пылевом окружении, где частички пыли могут закупорить канал, и тогда воспаление разрастется. В практике врачей медицинских центров СПб часто встречаются случаи, когда у детей наблюдается такое воспаление и нагноение слезно-носового канала, особенно этим страдают новорожденные младенцы.

Диагностикой и лечением этой патологии занимается врач офтальмолог. Обычно визуального осмотра врача достаточно, чтобы судить о болезни. Если врач обнаружил сильный воспалительный процесс с нагноением, он может назначить МРТ глазных орбит, чтобы оценить зону распространения абсцесса.Лечение дакриоцистита - это мероприятия по восстановлению дренажа и антибактериальная терапия. У хронических больных дакриоциститом проводят операцию по формированию нового слезного канала. На самотек дакриоцистит оставлять не следует. Слеза у человека вырабатывается в слезной железе. Она обладает бактерицидным действием, омывая глазное яблоко. Далее слезная жидкость через верхнюю и нижнюю слезные точки, которые локализуются у внутреннего угла глаза на веках, стекает в слезно-носовой канал и уходит в полость носа. Если не восстановить баланс притока и оттока жидкости, может развиться сухой кератоконъюнктивит - это хроническое воспалительное заболевание конъюнктивой роговицы.

Болезнь Шегрена. Если у человека происходит воспаление слезных каналов, есть конъюнктивит, затем возникает воспаления носоглотки, то врач может заподозрить хроническое системное аутоиммунное заболевание - болезнь Шегрена. Основным симптомом этого заболевания является сухость разнообразных слизистых, в первую очередь полости рта и слезных желез. Это серьезный недуг, требующий длительного гормонального лечения медикаментозными средствами.

МРТ ГЛАЗНЫХ ОРБИТ ПРИ ЗАБОЛЕВАНИЯХ СЛЕЗНОЙ ЖЕЛЕЗЫ

В медицинских центрах СПб исследование МРТ слезной железы делают как часть магнитно-резонансного обследования глаза. Как самостоятельное обследование МРТ слезных желез не существует. Для информативной диагностики заболеваний этого органа необходимо сделать магнитно-резонансное исследование на высокопольном томографе мощностью не менее 1,5 Тесла. Направление на МРТ глазных орбит, как правило, дает врач окулист. МРТ - это метод диагностики, который использует магнитное поле и радиоволны для получения изображения, восстановленного математическими методами. За несколько десятков лет существования МРТ данный метод медицинской визуализации претерпел бурное развитие и на сегодня является доминирующим видом диагностики для большинства заболеваний.

Современное оборудование в десятки раз быстрее осуществляет сканирование и обработку данных. Это происходит со значительным улучшением качества визуализации. Особенно ценят офтальмологии МРТ за ее высокую разрешающую способность и межтканевой контраст. С помощью магнитно-резонансной томографии глазных орбит и пазух носа врач получает все необходимые данные, сопоставимые по точности с анатомическими срезами в любых плоскостях. Для пациента этот метод привлекателен тем, что он неинвазивен. Для обследования глаз и мышечных структур вокруг них не используются никакие препараты, которые нужно закапывать в глаза, или иное механическое вмешательство. Также полностью отсутствует лучевая нагрузка на пациента. МРТ глазных орбит показывает:

  • состояние тканей глазного яблока, зрительного нерва;
  • аномалии в размерах и положении слезной железы;
  • повреждение мышечной ткани;
  • дистрофию жировой прокладки;
  • расширение, сужение, мальформации глазных артерий и вен.

ПРОТИВОПОКАЗАНИЯ

Наличие в теле металлических предметов может стать противопоказанием для МРТ глаз. К этим металлсодержащим предметам относятся несъёмные имплантанты, такие как: сосудистые клипсы, кардиостимулятор, ушные аппараты, пластины, осколки и скобы. Если вам назначили МРТ глазных орбит с контрастированием, нужно помнить, что контраст не рекомендуют применять во время беременности и при сильной почечной недостаточности.