Найти в Дзене
Ormco Россия

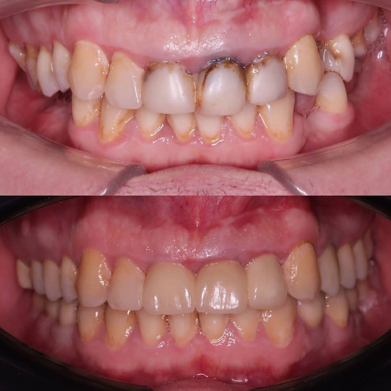
Дорогие коллеги! В рубрике #клиническая_среда делимся амбициозным кейсом Ильдарова Дмитрия Темирлановича @ildarov.ortho

Дорогие коллеги! В рубрике #клиническая_среда делимся амбициозным кейсом Ильдарова Дмитрия Темирлановича @ildarov.ortho

💙Клиническая ситуация: Подготовка к имплантации и протезированию.

План лечения:

• Внедрение боковых зубов с опорой на мини-имплантаты

• Выравнивание зубных рядов

• Коррекция наклона передних зубов для последующего протезирования

• Установка брекет-системы Damon Q2

• Срок лечения: 2 года

✨ Результат:

Благодаря комплексному подходу удалось подготовить пациента к успешной имплантации и протезированию, обеспечив стабильный и эстетически выверенный результат.

💬 Задавайте вопросы и делитесь своим опытом — вместе делаем клиническую практику сильнее!

-2
-3
-4
-5
-6